Alright, let's get straight to the point. You're probably sitting there, staring at your dentist's recommendation for a "deep cleaning" (they call it scaling and root planing), and your mind is racing with one big, scary question: how painful is a deep gum cleaning going to be?
I get it. Completely. The very phrase "deep cleaning" sounds invasive. It sounds like someone is going to be digging around under your gums with sharp tools. And to be perfectly honest with you, the idea freaked me out too before I had it done. I'm not a dentist, but I've been through the process myself and have talked to enough people and professionals to give you a no-nonsense, realistic picture.
So, let's unpack this. The short, somewhat annoying answer is: it depends. It depends on you, your gums, your dentist, and a bunch of other factors. But that's not helpful, is it? You want to know what YOU might feel. So let's break it down piece by piece, from why you even need it to what happens during and after.
Why You're Even in This Situation: It's Not Just a Cleaning
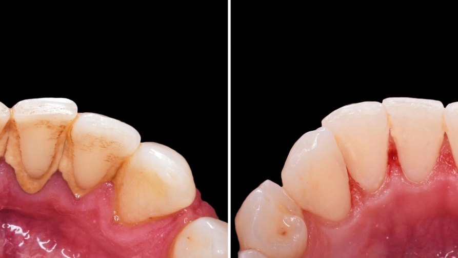
First, understanding the "why" helps frame the "how painful." A regular dental cleaning polishes the surfaces of your teeth above the gumline. A deep gum cleaning is a different beast entirely. It's a therapeutic procedure for treating early-stage gum disease, called periodontitis.
Here’s what happens: plaque and tartar (calculus) build up not just on your teeth, but below your gumline, in pockets that form between your gum and tooth. Your body fights this bacterial invasion with inflammation. Left alone, this process destroys the bone holding your teeth in. Not good.
The real pain you should be worried about isn't the 1-2 hours in the dental chair. It's the long-term, silent pain of losing bone and potentially teeth. I know that sounds dramatic, but it's the truth. The American Academy of Periodontology has clear resources on the consequences of untreated gum disease. The deep cleaning is the solution to stop that worse pain.
A regular hygienist can't reach that sub-gum gunk. That's why a deep cleaning is necessary. The procedure involves two main parts:
- Scaling: Scraping off the plaque and tartar from the tooth surface both above and below the gumline.
- Root Planing: Smoothing out the tooth root to help your gums reattach to the tooth and make it harder for bacteria to stick in the future.
So, when you ask "how painful is a deep gum cleaning," you're really asking about the sensation of having these things done on sensitive, inflamed tissue. Let's get into that.
The Numbing Truth: What You Feel During the Procedure
This is the core of it. My personal experience? The anticipation was 90% of the battle.
They will almost always use a local anesthetic to numb the areas they're working on. This isn't optional for a proper, thorough job. The injection itself is the classic pinch and burn you get with any dental numbing. It lasts about 10-15 seconds per area. Once you're numb, the profound sensation of pain is gone.
What Sensations Remain?
Even numbed up, you're not a block of wood. You will feel pressure and vibration. Lots of it. The hygienist or dentist uses handheld scalers and often an ultrasonic device that vibrates and sprays water. It feels weird. It can feel like a lot of pushing and prodding. Sometimes, if a pocket is very deep, they might need to get the tool way down there, and you'll feel pressure at the very base of your tooth root. It's not sharp pain if you're properly anesthetized, but it's an intense, deep pressure that can be unsettling.
You'll hear scraping sounds. You'll smell… well, it's a unique smell. The water spray keeps things cool and washes debris away. You're suctioning a lot.
It's a sensory experience, for sure. But is it painful? With good anesthesia, no.
The Big Variables in Discomfort
This is where the "it depends" comes alive. Your personal experience of "how painful is a deep gum cleaning" hinges on:
- The Severity of Your Inflammation: Ironically, the more inflamed and sore your gums are to start with (because of the disease), the more anesthetic they might need, and the more tender the area might be overall. Healthy gums barely need cleaning; diseased gums are the problem.
- Your Dentist/Hygienist's Technique: A gentle, experienced hand makes a world of difference. Someone who is rushed or heavy-handed can cause more pressure and potential spot pain.
- Your Anatomy: Some areas are just more sensitive. The front teeth often have thinner bone and gum tissue. Molars in the back can be trickier to access.
- Your Pain Tolerance & Anxiety Level: This is huge. If you're white-knuckling the chair, every sensation is amplified. Your brain interprets pressure as impending pain. Managing anxiety is half the fight.
Your Pain Management Toolkit: Before, During, and After
You are not a passive participant. You have options to make the answer to "how painful is a deep gum cleaning?" a lot more positive.
Before the Appointment
- Talk About Anxiety: Tell your dental team you're nervous. A good practice will accommodate you. They might schedule a longer appointment to go slower.
- Consider Pre-medication: For high anxiety, ask about an oral anti-anxiety medication (like a low-dose benzodiazepine). You'll need a prescription and someone to drive you.
- Topical Numbing Gel: Insist on it! Before the needle, they should apply a flavored gel to your gums. This makes the needle pinch much less noticeable.
During the Procedure
- Communication is Key: Agree on a hand signal (like raising your left hand) for "I need a break" or "I feel something sharp." They can stop and give you more anesthetic.
- Distraction: Wear headphones. Listen to a podcast, an audiobook, or a calming playlist. Don't just sit there focusing on every scrape.
- Sedation Options: For severe anxiety or extensive work, ask about nitrous oxide (laughing gas) or even IV sedation. These are game-changers for comfort.
Let's put the pain control methods in a quick comparison table, because why not?
| Method | What It Does | Best For | My Personal Take |
|---|---|---|---|
| Local Anesthetic (Injections) | Blocks pain signals in specific nerves. The gold standard. | Everyone. Non-negotiable for a proper deep clean. | Makes the procedure itself a pressure fest, not a pain fest. Essential. |
| Topical Numbing Gel | Numbs the surface tissue before the needle. | Anyone scared of the initial pinch. | A small courtesy that makes a big psychological difference. Always ask for it. |
| Nitrous Oxide (Laughing Gas) | Induces relaxation and mild euphoria; wears off fast. | Moderate anxiety. You can drive yourself home. | Takes the edge off beautifully. You feel detached but aware. |
| Oral Sedation (Pill) | Strong anti-anxiety medication. You're awake but very relaxed. | High anxiety. You NEED a driver. | Didn't use it, but friends swear by it for getting through the door. |
| Headphones & Distraction | Engages your brain elsewhere. | Everyone, especially over-thinkers. | This was my #2 tool after the anesthetic. Podcasts saved me. |
The Aftermath: What Does Recovery Feel Like?
Okay, the procedure is done. You're numb. You feel triumphant. Then the numbness wears off in a few hours.
Here's the honest scoop: You will be sore. How painful is a deep gum cleaning afterwards? More than during, for most people. Your gums have been through a therapeutic trauma. They are healing. For 2-5 days, expect:
- A generalized soreness or tenderness, like a muscle ache in your gums.
- Sensitivity to hot and cold, especially at the gumline.
- Possible minor bleeding when brushing gently.
- A feeling of "looseness" or spaces between teeth (this is temporary as swelling goes down).
It's manageable. Think of it like a good workout for your gums—they're sore because they needed the work. Your dentist will likely recommend over-the-counter pain relievers like ibuprofen (Advil) or acetaminophen (Tylenol). Ibuprofen is often better as it tackles both pain and inflammation.
A negative note: The first night, especially if you had a lot of work done on one side, the soreness can peak. It's not excruciating for most, but it's a persistent, dull ache that makes you aware of your mouth. Have your pain meds ready and take them before the numbness fully wears off as directed.
Soft foods are your friend for a day or two. Yogurt, soup, mashed potatoes. Avoid anything crunchy, spicy, or extremely hot. Be gentle but thorough with your new cleaning routine—they just did the hard work, your job is to maintain it.
Frequently Asked Questions (The Stuff You're Really Wondering)
Can I just get a regular cleaning instead?
No. If your dentist has diagnosed periodontal pockets (usually 4mm or deeper with bleeding), a regular cleaning only addresses the surface. It's like cleaning the outside of a infected wound without treating the infection inside. The disease will continue to progress. The American Dental Association outlines the clear criteria for when scaling and root planing is the appropriate treatment.
How painful is a deep gum cleaning without anesthesia?
Very. I would not recommend it, and no ethical provider should do a full, proper deep cleaning without it. The areas under the gums are extremely sensitive. It would be sharply painful. The local anesthetic is there for a reason—to allow the clinician to do a thorough job without causing you undue suffering.
Is one side more painful than the other?
Not inherently, but if one side of your mouth has deeper pockets or more inflammation, that side might be more tender during and after. They often split the mouth into quadrants and do 2-4 separate appointments, which helps limit the soreness to one area at a time.
How long does the pain last?
The significant soreness typically peaks within 24-48 hours and subsides noticeably within 3-5 days. Any sharp pain after a week should prompt a call to your dentist, as it could indicate a problem.
What's the biggest mistake people make after a deep cleaning?
Going back to their old brushing and flossing habits, or worse, avoiding the area because it's sore. The soreness is a sign to be gentle, not to stop. Proper home care is what prevents you from needing this again soon. The CDC emphasizes that gum disease is largely preventable with good oral care.
Putting It All Together: A Realistic Expectation
So, let's circle back to the burning question: How painful is a deep gum cleaning?
On a scale of 1 (a breeze) to 10 (unbearable), here's a realistic breakdown:
- The Idea & Anxiety (Before): This can feel like a 7 or 8. Your imagination is powerful.
- The Numbing Injection: A quick 3 or 4 (with topical gel, more like a 2).
- The Procedure Itself (With Numbing): A 2 or 3. It's pressure, vibration, weirdness—but not sharp pain if properly anesthetized.
- The Recovery Soreness (First 1-3 days): A consistent 4 or 5, manageable with OTC meds.
- The Long-Term Pain of NOT Doing It: A slow, creeping 10 that results in tooth loss.
The bottom line isn't just about pain. It's about perspective. You're trading a relatively short period of managed discomfort for a long-term gain in your oral health. The procedure itself is designed to be tolerable with modern pain control. The recovery is like healing from any minor medical intervention—it's there, but it passes.
My final, personal piece of advice? Don't let the fear of "how painful is a deep gum cleaning" stop you from getting it done if you need it.
The fear is almost always worse than the reality. Find a provider you trust, communicate your fears, use the pain management tools available, and get it over with. Your future self, with healthier gums and stronger teeth, will thank you for being brave. It's one of those adulting things that sucks in the moment but is profoundly worth it. And honestly, after the first appointment, you'll realize you can handle it just fine, and the next one is much less scary.
Take a deep breath. You've got this.
Leave a Reply