Let's talk about that throbbing toothache that won't quit. You know the one – it feels like a tiny, angry construction worker is using a jackhammer on the root of your tooth, especially when you bite down. If you've been searching for "periapical abscess treatment," chances are you're past the point of hoping it'll just go away. You're in the thick of it, looking for real answers.
I get it. I've been there myself, years ago, thinking a couple of ibuprofen would do the trick. Spoiler alert: they didn't. A periapical abscess is your body's dramatic way of saying the nerve inside your tooth is dead or dying, and the infection has marched right out the end of the root into your jawbone. It's a serious dental emergency, but the good news is, it's almost always treatable. The goal isn't just to stop the pain; it's to save your natural tooth if we can. This guide is going to walk you through everything – from what you can do right this second at home to the nitty-gritty of what happens in the dentist's chair.
What Exactly Is a Periapical Abscess? (It's More Than Just a Bad Toothache)
You might hear "abscess" and think of a pimple on your gums. That's usually a periodontal abscess, which starts in the gums. A periapical abscess is different. It starts on the inside. Here’s the play-by-play:
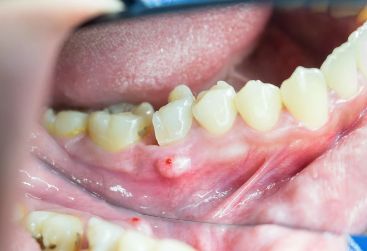
It all begins with a deep cavity, a crack in the tooth, or an old injury. Bacteria sneak past the enamel and dentin, invade the pulp chamber (that's the soft center with nerves and blood vessels), and throw a massive party. The pulp gets inflamed (that's the horrible pain of pulpitis), and if it's not treated, it dies. Once the pulp is necrotic, the bacteria have a free pass down the root canals and out the tiny hole at the tip of the root (the "apex" – hence "periapical"). Now they're in the bone. Your immune system fights back, and the resulting battle creates a pocket of pus – the abscess – at the root's tip. That pressure on your bone and ligaments is what causes that intense, persistent, throbbing pain, especially when you tap the tooth.
Ignoring this is a terrible idea. The infection doesn't just sit there. It can burrow through the bone to create a draining pimple on your gums (a "sinus tract"), or worse, spread into your soft tissues (cellulitis), your jaw, or even your bloodstream.
Top 3 Signs You're Dealing With More Than a Cavity
- A throbbing, constant pain that feels deep in the jawbone. It often gets worse when you lie down.
- Pain when biting or chewing. Even gentle pressure can send a sharp jolt. The tooth might even feel "high" or elevated.
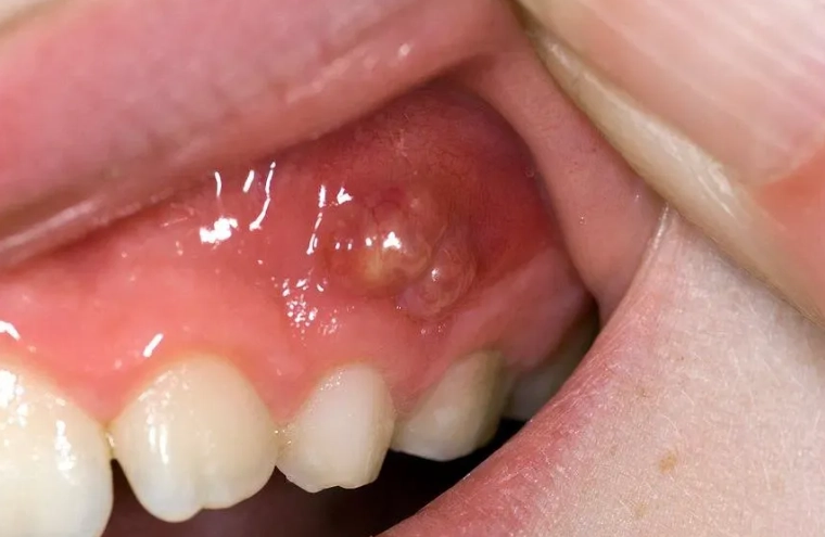
- Swelling and tenderness in the gums around the tooth, which can sometimes spread to your face or neck.
You might also have a bad taste in your mouth, sensitivity to hot and cold (though sometimes the tooth becomes numb once the nerve dies), and general malaise or a slight fever. If your cheek is swelling up, that's your cue to drop everything and call a dentist.
Step-by-Step: What to Do Before You See the Dentist (The "Hold the Fort" Plan)
Okay, so it's 10 PM on a Sunday and your tooth is screaming. The dentist's office opens in 12 hours. What now? The aim of periapical abscess treatment in this phase is pain and infection management, not a cure.
What actually helps:
- Over-the-counter pain relief: Ibuprofen (Advil, Motrin) is usually better than acetaminophen (Tylenol) for this because it reduces both pain and inflammation. Follow the package directions. Don't place the pill directly on the gum—it can burn the tissue.
- Warm salt water rinses: Dissolve half a teaspoon of salt in a cup of warm water. Swish gently for 30 seconds, then spit. Do this several times a day. It helps draw out some fluid, soothe the gums, and is a mild disinfectant.
- Cold compresses: Hold an ice pack or bag of frozen peas wrapped in a thin cloth against the outside of your cheek for 15-minute intervals. This helps reduce swelling and can numb the area a bit.
- Keep your head elevated: Prop yourself up with extra pillows when you sleep. Lying flat can increase blood pressure in the area and intensify the throbbing.
What to avoid at all costs:
- Applying heat directly to your face (it can make swelling worse).
- Poking or trying to "pop" any gum bump.
- Chewing on that side of your mouth.
- Consuming very hot, cold, or sugary foods/drinks that might aggravate it.
Let's be clear: these measures won't fix the abscess. The bacteria are sealed inside your tooth and bone. No mouthwash can reach them there. This is just about making the hours until your appointment bearable.
The Professional Periapical Abscess Treatment Pathway: What Your Dentist Will Actually Do
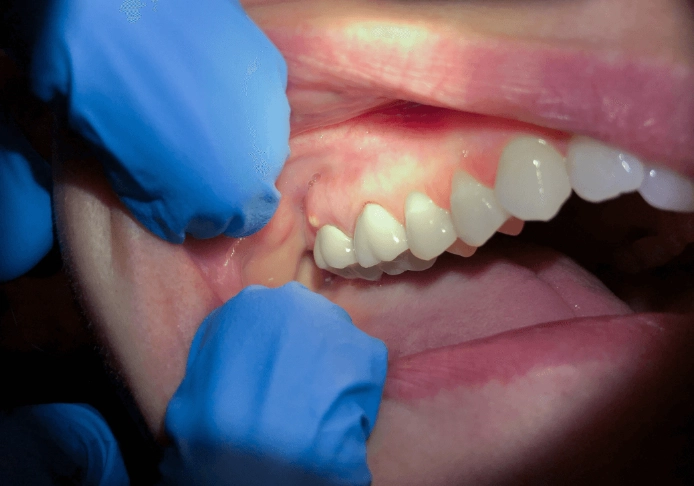
This is where real periapical abscess treatment happens. The core principle is simple: remove the source of the infection and drain the pus. How we get there depends on a few things: Can the tooth be saved? Is the infection contained or spreading? Your dentist will take an X-ray (a periapical radiograph) to see the extent of the bone loss around the root tip – that dark area around the root is the abscess.
The Gold Standard: Root Canal Treatment (RCT)
If the tooth's structure is still sound, a root canal is almost always the best first-line periapical abscess treatment. The goal is to save your natural tooth. Contrary to the horror stories, a modern root canal is no more uncomfortable than getting a large filling, especially since the tooth's nerve is often already dead.
Here’s how it works:
- Access: The dentist numbs the area thoroughly (yes, even though the nerve is dead, the tissues around it are very much alive and sensitive!). They create a small opening in the top of the tooth.
- Cleaning and Shaping: Using tiny instruments, they remove the dead or diseased pulp tissue, bacteria, and debris from inside the pulp chamber and root canals. This is the critical step – it physically removes the source of the infection.
- Disinfection and Filling: The now-empty, clean canals are disinfected and then filled with a biocompatible material (usually gutta-percha) to seal them off.
- Restoration: The access hole is sealed with a temporary or permanent filling. Almost always, a tooth that has had a root canal needs a crown afterward. Why? The process removes the tooth's internal moisture, making it more brittle and prone to cracking under chewing forces. A crown protects it, allowing you to use it normally for decades to come.
After a successful root canal, the body's immune system can usually heal the bone around the root tip over several months. A follow-up X-ray will show the dark area filling in with new, healthy bone.
When Root Canal Isn't Enough or Isn't Possible: The Alternatives
Sometimes, the standard periapical abscess treatment hits a snag. Maybe the root canals are too curved or blocked (calcified) to clean fully. Maybe there's a persistent infection at the root tip even after a root canal. Maybe the tooth is too broken down to restore. Here are the other players in the game:
Apicoectomy (Root-End Surgery): Think of this as surgery from the outside. If a routine root canal didn't fully resolve the infection, an oral surgeon or endodontist (root canal specialist) might recommend this. They numb you, make a small incision in the gum to access the bone, remove the infected tissue and the very tip of the root, then seal the end of the root with a tiny filling. It's a more precise way to tackle a persistent problem. The American Association of Endodontists provides a good overview of this procedure.
Tooth Extraction: This is the definitive treatment – remove the tooth, and you remove the problem. It's considered when the tooth is too damaged (e.g., a vertical crack deep under the gum), there's severe bone loss making the tooth unstable, or a patient's overall health or budget makes saving the tooth impractical. It's a faster, cheaper solution upfront. But then you have a missing tooth, which can lead to shifting of other teeth, chewing problems, and bone loss in the jaw. You'll need to discuss replacement options like implants, bridges, or partial dentures.
Comparing Your Main Treatment Options for a Periapical Abscess
| Treatment | What It Is | Best For | Pros | Cons / Considerations |
|---|---|---|---|---|
| Root Canal Therapy (RCT) | Removing infected pulp, cleaning canals, sealing tooth. | Teeth with sound structure, first-time infections. | Saves your natural tooth. Preserves jawbone. Normal function after crown. | Requires a crown afterward (added cost). Small risk of re-infection. Multiple appointments. |
| Tooth Extraction | Complete removal of the tooth. | Hopelessly damaged teeth, severe bone loss, patient choice. | Definitively removes infection source. Lower upfront cost. Single procedure. | Leaves a gap. Can cause shifting teeth, bone loss, chewing issues. Requires replacement (implant/bridge) for full function. |
| Apicoectomy | Surgical removal of root tip and infected tissue. | Persistent infection after a root canal, complex root anatomy. | Saves a tooth that otherwise might be extracted. Targets problem area directly. | More invasive than RCT. Requires a specialist (endodontist/oral surgeon). Longer recovery than simple RCT. |
Choosing between these is a conversation. A good dentist will show you the X-rays, explain the prognosis for each option, and discuss costs. My personal bias? If it's salvageable, saving the tooth with a root canal is almost always worth the investment for your long-term oral health. But I've also seen cases where an extraction was clearly the only sensible choice.
Recovery and Aftercare: What to Expect After Treatment
Your periapical abscess treatment doesn't end when you leave the chair. Here's the real-world recovery timeline:
First 24-48 hours: Some tenderness and mild swelling around the treated area is normal. Stick to soft foods (yogurt, mashed potatoes, smoothies). Use over-the-counter pain meds as directed. For an extraction or apicoectomy, follow the specific instructions about rinsing (often gentle rinsing after 24 hours) and avoiding disturbing the blood clot.
The first week: Discomfort should steadily decrease. You can gradually reintroduce firmer foods, but avoid chewing directly on the treated area, especially if you have a temporary filling or are healing from an extraction. Complete the full course of any prescribed antibiotics.
Long-term: If you had a root canal, you'll need to return for the permanent crown. That crown is non-negotiable for protecting the tooth. Maintain excellent oral hygiene around the treated tooth. Even though the nerve is gone, the surrounding gum and bone still need care to stay healthy.
Red Flags During Recovery (Call Your Dentist)
- Severe, increasing pain not helped by medication.
- Swelling that gets worse after 2-3 days.
- Fever, chills, or nausea.
- A bad taste or pus coming from the site.
- For extractions: dislodgement of the blood clot ("dry socket") – intense, radiating pain a few days later.
Can You Prevent a Periapical Abscess?
Most of the time, absolutely. Since the main cause is bacteria reaching the tooth's pulp, prevention is all about keeping your teeth intact and healthy.
The boring-but-true advice is the best: brush twice daily with fluoride toothpaste, floss once a day to clean between teeth where cavities often start, and see your dentist for cleanings and check-ups every six months (or as recommended). A small cavity caught early with a filling is a world away from the drama and cost of a full-blown abscess and root canal.
Also, wear a mouthguard if you play sports. A traumatic injury to a tooth can damage the pulp even if the tooth doesn't break, setting the stage for problems years later.
Look, I know dental visits aren't anyone's idea of fun. But waiting until you have a throbbing periapical abscess to see a dentist turns a manageable problem into a painful, expensive, and urgent one. A check-up and cleaning are a bargain compared to the cost of a root canal and crown.
Your Burning Questions About Periapical Abscess Treatment, Answered
I've heard these questions a million times. Let's tackle them head-on.
How long can I wait to treat a periapical abscess?
Not long. It's not something to "wait and see" about. The infection is active and can spread, potentially becoming dangerous. Seek treatment within days, not weeks. Pain is your body's alarm system – don't ignore it.
Is a root canal really painful?
Modern dentistry has made this procedure very manageable. You'll be numb. You might feel pressure, but not sharp pain. The pain from the abscess itself before treatment is almost always far worse than the procedure. Post-op soreness is common but mild.
Can antibiotics alone cure it?
No. They can help control the spread of a severe infection, but they cannot eliminate the source trapped inside your tooth. The American Dental Association emphasizes the importance of appropriate antibiotic use. Definitive periapical abscess treatment requires a dental procedure.
What happens if I just pull the tooth to save money?
You solve the immediate problem but create a new one. A missing tooth can cause adjacent teeth to tilt into the space, opposing teeth to over-erupt, and lead to bone loss in your jaw. This can affect your bite, your appearance, and make future tooth replacement more complicated and expensive. Saving a healthy tooth root is almost always better for your oral architecture.
How successful is periapical abscess treatment with a root canal?
Very. Success rates for initial root canal treatment are over 90%. When performed by an endodontist (a specialist), the success rate is even higher. The key is proper cleaning, sealing, and final restoration with a crown.
Dealing with a periapical abscess is stressful and painful, but it's a well-understood problem in dentistry. The path for effective periapical abscess treatment is clear. The most important step is the first one: picking up the phone and making an appointment. Get a professional diagnosis, understand your options, and get rid of the pain for good. Your future self, eating an apple without a second thought, will thank you.
Leave a Reply