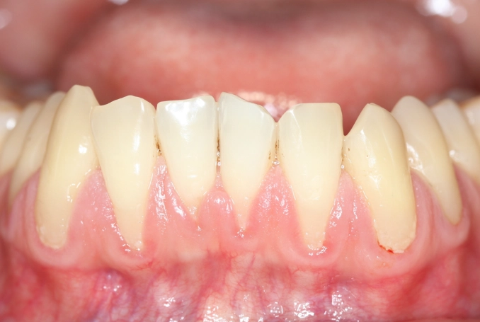
You're brushing your teeth, and you notice something feels different. Maybe a tooth looks longer, or you feel a notch near the gumline. A quick search later, and you're staring at this big question: can I regenerate receding gums? It's a worry that pops up for a lot of us. I remember freaking out the first time I saw a pink triangle of emptiness between my molars. The internet was full of wild promises—special toothpastes, miracle gels, all claiming to grow gum tissue back. It's confusing, and honestly, a bit scary.
So let's cut through the noise. I've spent a lot of time talking to dentists, digging into actual research (not just blog posts), and yes, dealing with my own dental journey. The short, blunt answer is this: you cannot fully regenerate receding gums in the way you might hope, like skin healing after a cut. The gum tissue that has pulled away and been lost does not grow back on its own. That's the hard truth many websites selling "quick fixes" don't want you to know first. But—and this is a huge but—you can absolutely stop the recession, treat the damage, and in some cases, surgically replace the lost tissue. The goal shifts from "regeneration" to "management and restoration." Understanding this difference is the first step to taking real control of your oral health.
The Core Truth: Gum recession is often a one-way street. Once the specialized tissue (the attached gingiva) is gone, your body doesn't naturally rebuild it. However, modern dentistry offers several powerful ways to halt the process and cover exposed roots, protecting your teeth for the long haul.
Why Do Gums Recede in the First Place? (It's Not Just Brushing Too Hard)
Before we jump into fixing things, we need to know what broke them. If you ask someone why gums recede, they'll usually say "brushing too hard." That's part of it, but it's like blaming a flat tire only on a nail when the tread was already worn. There's usually a combo platter of causes.
The biggest, most common villain is periodontal (gum) disease. This is a bacterial infection that destroys the bone and tissue anchoring your teeth. Think of it like termites eating away at the foundation of a house. The gums follow the disappearing bone, leading to recession. The American Academy of Periodontology is clear: gum disease is the leading cause of tooth loss in adults. It's sneaky because it often doesn't hurt until it's advanced.
Then there's trauma. Yes, aggressive brushing with a hard-bristled toothbrush is a classic. You're literally scrubbing the gumline away over years. But it's also clenching and grinding (bruxism). The excessive force on teeth can make them flex in the bone, damaging the surrounding tissue. A misaligned bite or crooked teeth can put too much force on specific spots, causing localized recession. Even oral piercings (like tongue or lip studs) constantly banging against gums can be a culprit.
Here's a personal one I didn't expect: my dentist pointed out that my recession pattern suggested a history of orthodontic treatment. Moving teeth too fast or too far outside the bone's natural boundaries can sometimes leave the gum tissue thin and vulnerable. It's not always the orthodontist's fault—biology just plays a role.
Genetics play a massive role, too. Some people are just born with thinner, more delicate gum tissue or less underlying bone. They're more susceptible to recession from even mild irritation. Hormonal changes (like during pregnancy or menopause) can make gums more sensitive and prone to inflammation. And habits like smoking are a double-whammy—they impair blood flow, hinder healing, and dramatically increase the risk of severe gum disease.
So, What Actually Works? Your Treatment Roadmap
Okay, so can I regenerate receding gums naturally? Not really. But can I treat them effectively? Absolutely. The right path depends entirely on why your gums are receding and how bad it is. Throwing a "gum regeneration" toothpaste at a severe bone loss problem is like using a band-aid on a broken leg.
Step 1: The Non-Surgical Foundation (Stopping the Bleeding)
This is where everyone must start, no exceptions. If there's active gum disease, you have to put out the fire before rebuilding the house. The cornerstone is a professional cleaning called scaling and root planing (often called a "deep cleaning"). It's not the most fun hour you'll spend, but it's crucial. The hygienist or periodontist cleans deep under your gums to remove tartar and bacterial toxins from the root surfaces. This allows the inflamed gum tissue to heal, tighten, and reattach to the tooth—halting further recession. It won't make lost gum grow back up, but it creates a healthy, stable foundation. The American Dental Association recognizes this as the first-line, essential treatment for periodontal disease.
Alongside this, you get a masterclass in home care. We're talking:
- Soft-bristled brush, always. Toss any medium or hard brushes right now. Use a gentle, circular technique, not a back-and-forth sawing motion.
- Flossing. Every. Day. I know, I hated it too. But the recession between your teeth won't stop if you don't clean there. If string floss is impossible, water flossers or interdental brushes are fantastic alternatives.
- Antimicrobial mouthwash (like chlorhexidine, but only as prescribed, as it can stain teeth with long-term use).
This phase is all about controlling the infection. Success here means no more bleeding gums, less sensitivity, and the recession stops in its tracks.
Step 2: The Surgical Solutions (The "Regeneration" Part)
If the recession has stopped but you're left with significant root exposure, sensitivity, aesthetic concerns, or a high risk of future problems, surgery enters the chat. This is where we get closest to answering "can I regenerate receding gums?" with a qualified "yes, we can graft tissue there."
The gold standard is gum grafting surgery. A periodontist takes tissue from one place (usually the roof of your mouth) and attaches it to cover the exposed root. It's not your original gum growing back, but it's new, strong, protective tissue in the right spot. There are a few types:
| Graft Type | What It Is | Best For | My Take on Recovery |
|---|---|---|---|
| Connective Tissue Graft | The most common. Tissue from under the palate is used to cover the root. | Covering single or multiple exposed roots with good predictability. | The donor site on the palate is the real pain point. It feels like a pizza burn for a week, but heals well. |
| Free Gingival Graft | Tissue is taken directly from the surface of the palate. | People with very thin gums who need extra tissue thickness more than just root coverage. | Similar palate discomfort, but can leave a thicker, more robust result in fragile areas. |
| Pedicle Graft | Gum near the recession is loosened and shifted over to cover the root. No palate donor site. | Only works if you have plenty of thick, healthy gum right next to the recession site. | Easier recovery since there's no second surgical site. Not an option for most people, sadly. |
| Pinhole Surgical Technique | A minimally invasive method. Tools are inserted through a tiny hole to loosen and reposition existing gum over the root. | Specific cases of mild to moderate recession with sufficient tissue to stretch. No stitches, no grafting. | Recovery is famously quicker with less swelling. But it's technique-sensitive and not suitable for all recession types. |
Grafting sounds intense, and it is a surgery. But the success rates are high when performed by a skilled periodontist. The new tissue protects the root from decay, reduces sensitivity dramatically, and can look very natural. It's the closest thing to "regeneration" we have.
Watch Out For: You'll see ads for "LANAP" (Laser-Assisted New Attachment Procedure). It's a laser treatment for gum disease that can, in some cases, promote regeneration of the bone and ligament lost to periodontitis. It's a legitimate, FDA-cleared procedure. However, it's primarily for treating the infection and bone loss, not for covering visibly receded gums on otherwise healthy teeth. Don't get it confused with a grafting procedure.
The Big List of Things That DON'T Regrow Gums (Saving You Money & Hope)
This is the section I wish I had found earlier. The market is flooded with products making bold claims. Let's be brutally honest.
"Regrowing" Toothpastes & Gels: Products containing things like stannous fluoride, antioxidants, or coenzyme Q10 can be excellent for reducing inflammation, strengthening enamel, and improving overall gum health. They are valuable allies in prevention and maintenance. But do they make gum tissue crawl back up your root? No. Not a single credible study shows that. They help keep the gums you have healthy, which is vital, but they don't create new attached tissue.
Oil Pulling: Swishing coconut or sesame oil. The research is slim. It might reduce some plaque bacteria due to a mild mechanical cleansing effect, similar to a mouthwash. There is zero evidence it reverses recession. It's not harmful for most, but don't swap it for brushing and flossing.
Vitamin C & Other Supplements: A deficiency in Vitamin C (scurvy) causes terrible gum problems. Correcting a true deficiency is crucial. But if you have a normal diet, mega-dosing on Vitamin C or rubbing it on your gums won't trigger tissue regeneration. It's treating a problem most people don't have.
Your Action Plan: From Panic to Progress
Feeling overwhelmed is normal. Let's break this down into a simple, step-by-step plan you can start today.
- Schedule a Checkup. Don't self-diagnose. See a dentist. They will measure the recession with a tiny ruler (probing depths), take X-rays to check bone levels, and identify the cause. This is your baseline map.
- Master Your Home Care. Based on your dentist's advice, lock in your routine. Soft brush, gentle angles, clean between teeth. This is non-negotiable, forever.
- Treat the Disease. If you need a deep cleaning, get it done. Get the inflammation under control. This stops the recession.
- Consider the Graft. If recession has stabilized but roots are exposed, discuss grafting with a periodontist. Ask about the different types, success rates, and what's right for your specific mouth. Get a second opinion if you want.
- Maintain Like a Pro. After any treatment, you'll likely need cleanings more often (every 3-4 months, called periodontal maintenance). This is the key to long-term success.
I had a connective tissue graft on one tooth. The process wasn't a picnic, but the relief from cold sensitivity was instant and life-changing. The peace of mind knowing the root was protected? Priceless. It's an investment in keeping your teeth.
Questions You're Probably Asking (The Real Talk FAQ)
Can receding gums grow back if I just start flossing?
If the recession was caused solely by inflammation from plaque trapped between your teeth, and you catch it super early, the gum swelling will go down. This can make the gum look like it's covering more because it's no longer puffy and inflamed. But true, lost attached tissue does not regenerate from flossing alone. However, flossing is the single best thing you can do to prevent it from getting worse in almost every case. Just start.
Is gum recession reversible at home without surgery?
You cannot reverse the actual loss of tissue at home. Full stop. You can, and must, reverse the disease process at home with impeccable hygiene. You can stop it in its tracks. But moving tissue to cover an exposed root requires a surgical procedure. Anyone telling you otherwise is selling something.
How can I stimulate gum regeneration?
This phrase is a minefield. You can't "stimulate" gums to grow over roots like a chia pet. However, you can create an environment where surgical grafts succeed and where your remaining gums are super healthy. That means perfect hygiene, managing health conditions like diabetes, quitting smoking, and eating a nutritious diet. Think of it as preparing the soil for a graft, not making the plant grow from nothing.
What happens if I just ignore receding gums?
It usually gets worse. More root exposure means more sensitivity, a higher risk of root cavities (which are nasty to fill), and eventually, if enough bone is lost, the tooth becomes loose. Treatment becomes more complex and expensive. Early intervention is always simpler and cheaper.
Key Resource: For detailed, peer-reviewed information on periodontal diseases and treatments, the National Institute of Dental and Craniofacial Research (NIDCR), part of the U.S. National Institutes of Health, provides excellent, unbiased patient education material.
Wrapping It Up: A Realistic Hope
So, circling back to the burning question: can I regenerate receding gums? The honest answer is no, not in the natural, spontaneous healing sense. The tissue doesn't grow back on its own. That's the critical piece of reality you need to hold onto to avoid scams and disappointment.
But here's the hopeful, empowering truth: while you can't turn back time, you have tremendous power to stop the clock and, with modern dentistry, repair the damage. You can halt recession in its tracks with professional care and dedicated home hygiene. You can, through proven surgical procedures, cover exposed roots, eliminate sensitivity, and protect your teeth for decades to come. The goal isn't a mythical full regeneration; it's achieving a healthy, stable, functional, and beautiful smile that lasts your lifetime.
Stop asking "can I regenerate receding gums" and start asking "what's causing my gum recession and what's the best plan to fix it?" That shift in question is the first and most important step toward getting your smile—and your peace of mind—back on track.
Leave a Reply