You wake up. Your temples are tight, a dull headache is already forming, and there's a familiar soreness in your jaw muscles when you chew your first bite of breakfast. Or maybe you don't feel a thing, but your partner has been nudging you for months about the horrible grinding noise coming from your side of the bed. This is sleep bruxism—the medical term for grinding or clenching your teeth at night—and it's far more than just an annoying habit. It's a sleep-related movement disorder that can silently wreck your oral health.
I've seen it all in my practice: patients in their 30s with teeth worn down to look like they're in their 60s, chronic facial pain misdiagnosed for years, and expensive dental work that gets destroyed in months. The biggest mistake people make? Thinking it's "just stress" and doing nothing until the damage is severe and costly to fix.
What You'll Find in This Guide
What's Really Causing You to Grind Your Teeth at Night?
Let's clear up a major myth right away. While daytime stress and anxiety are common triggers for awake bruxism (clenching during the day), sleep bruxism operates on a different circuit. It's linked to micro-arousals in your sleep cycle—those brief, unconscious awakenings you don't remember.
The American Academy of Sleep Medicine classifies it as a sleep-related movement disorder. So what kicks this system into gear?
The Primary Suspects: Research, including studies referenced by the National Sleep Foundation, points to a strong connection between sleep bruxism and irregularities in sleep architecture, particularly breathing issues.
- Sleep-Disordered Breathing: This is the big one many dentists miss. Conditions like obstructive sleep apnea (OSA) or upper airway resistance syndrome (UARS) cause your airway to partially collapse. Your brain, desperate for oxygen, may trigger a jaw clench or grind to move the jaw forward and reopen the airway. If you snore, gasp for air, or feel exhausted despite a full night's sleep, this connection is crucial to explore.
- Neurological & Medication Side Effects: Certain antidepressants, particularly SSRIs, list bruxism as a known side effect. It's also more common in conditions like Parkinson's disease or Huntington's disease.
- Genetics and Lifestyle: It often runs in families. Lifestyle choices are major amplifiers: heavy alcohol consumption, recreational drug use, smoking, and high caffeine intake (especially later in the day) can significantly increase grinding episodes.
- Stress and Anxiety: Yes, it still plays a role. While it might not be the sole cause for nighttime grinding, high stress levels hyper-activate your nervous system, making any underlying tendency much worse. It's like pouring gasoline on a smoldering fire.
See a pattern? It's rarely one thing. It's usually a combination—a genetic predisposition, amplified by lifestyle, and triggered by a sleep breathing issue. Treating just the stress part often leads to failure.
The Silent Damage: What Grinding Does When You're Not Looking
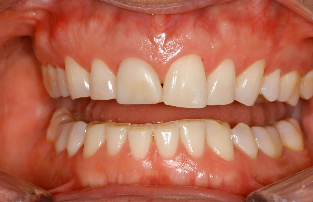
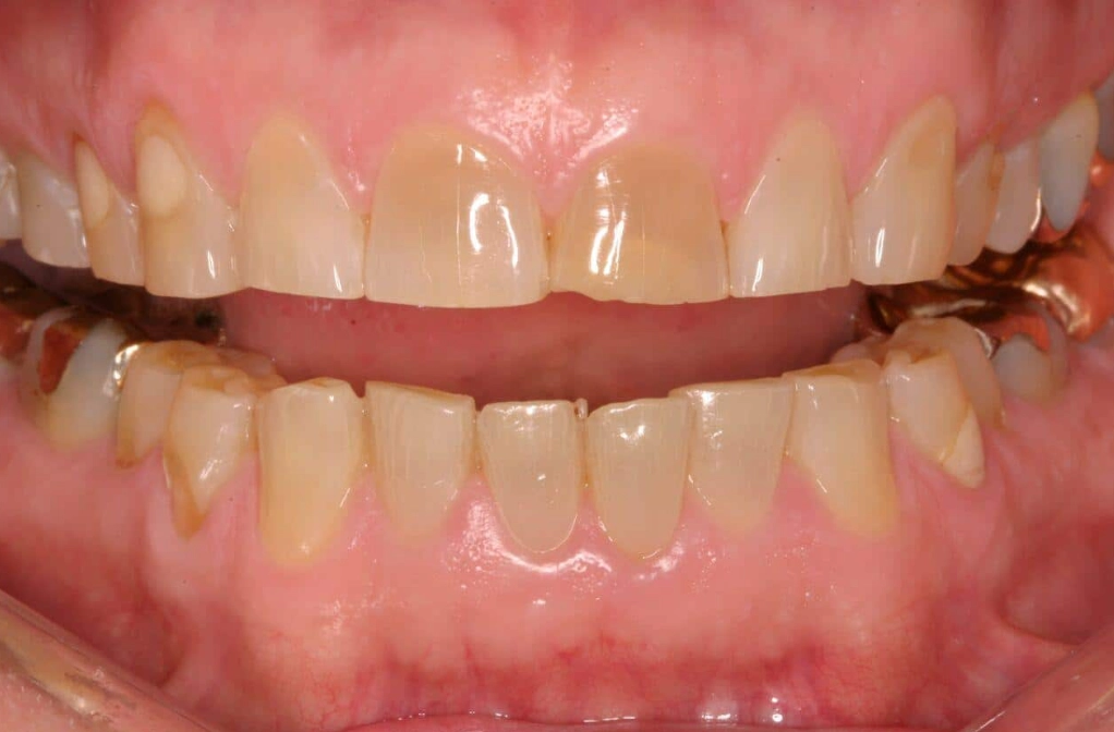
The force of nighttime grinding is staggering. It can be up to six times stronger than your normal chewing force. Imagine subjecting your teeth to that pressure for hours, night after night. The damage is slow, cumulative, and expensive.
| What Gets Damaged | What It Looks/Feels Like | The Long-Term Cost |
|---|---|---|
| Your Teeth | Flattened, chipped, or fractured teeth. Worn-down enamel exposing sensitive yellow dentin. Teeth becoming shorter. | Needing crowns, veneers, or root canals on multiple teeth. A single crown can cost $1,000-$3,500. |
| Your Jaw Joints (TMJ) | Clicking, popping, or locking jaw. Pain that radiates to your ears, neck, and shoulders. Limited mouth opening. | Chronic TMJ disorder (TMD), leading to persistent pain, headaches, and potentially degenerative joint disease. |
| Your Muscles | Hypertrophied (enlarged) masseter muscles, giving a square-jawed appearance. Morning headaches (tension-type). Facial pain. | Chronic myofascial pain, tension headaches becoming daily, and altered facial aesthetics. |
| Your Dental Work | Cracked fillings, broken crowns, damaged bridges, loosened implants. | Replacing expensive restorations repeatedly, sometimes voiding the warranty on dental implants. |
| Your Sleep (& Your Partner's) | Fragmented, unrefreshing sleep due to micro-arousals. Partner kept awake by grinding sounds. | Daytime fatigue, relationship strain, and exacerbation of other sleep issues. |
I had a patient, let's call him Mark, a 42-year-old who thought his grinding was "mild." He only sought help when a back molar split in half while eating soft bread. The X-ray showed hairline fractures in three other teeth. The repair bill was over $8,000. His story is not uncommon.
The Sneaky Part: You can grind for years without pain. The teeth are the first to take the hit, and they don't have nerve endings in the enamel. By the time the pain from the jaw joints or muscles starts, the structural damage to your smile is often already advanced.
How to Stop Grinding Your Teeth: A Step-by-Step Action Plan
Stopping bruxism isn't about finding a magic pill. It's a management strategy. The goal is to protect your teeth from damage while you work on reducing the frequency and intensity of the episodes. Here's where to start, in order of priority.
Step 1: Get a Professional Diagnosis (Don't Self-Diagnose)
See your dentist. They will look for the telltale signs: wear patterns on your teeth, cheek ridging, scalloped tongue edges, and hypertrophied jaw muscles. They may recommend a dental night guard (more on that below) as first-line protection. If they suspect a sleep breathing disorder, they should refer you to a sleep physician or a dentist trained in dental sleep medicine. A home sleep test or in-lab sleep study might be the most important next step you take.
Step 2: Implement a "Jaw-Friendly" Evening Routine
Your goal is to down-regulate your nervous system and relax your jaw muscles before sleep.
- 8 PM Cut-off: No caffeine, alcohol, or heavy meals. Alcohol might make you fall asleep faster, but it dramatically worsens sleep quality and relaxes airway muscles, potentially increasing grinding.
- Heat Therapy: 15 minutes before bed, apply a warm washcloth to the sides of your face (over the masseter muscles in front of your ears). Do this while reading or listening to something calm.
- Jaw Position Practice: Throughout the evening, check in. Your teeth should be apart, lips closed, and tongue resting gently on the roof of your mouth. This is the natural resting posture. Break the habit of teeth-together clenching.
- Mindful Relaxation: Try 5-10 minutes of guided meditation or deep, diaphragmatic breathing. Apps like Calm or Headspace have sleep-specific sessions. This isn't just "fluff"; it directly reduces the sympathetic (fight-or-flight) drive that fuels grinding.
Step 3: Address Underlying Triggers
This is the long-game work, often with professional help.
- Treat Sleep Apnea: If diagnosed, using a CPAP or oral appliance therapy for mild OSA can dramatically reduce or even eliminate grinding in many patients.
- Review Medications: Talk to your doctor about any medications that could be contributing. Never stop prescribed medication without medical advice.
- Stress Management: Consider therapy (CBT is excellent for anxiety), regular exercise (but not too close to bedtime), and building consistent sleep hygiene.
- Physical Therapy: A physical therapist specializing in TMJ can teach you exercises to improve jaw mobility, release muscle tension, and improve posture, which all contribute.
The Night Guard Truth: Your Best Protection, If Done Right
A night guard (or occlusal splint) is not a cure. It's a helmet for your teeth. Its job is to absorb the destructive forces, creating a protective barrier between your upper and lower teeth.
Here’s the critical distinction most websites gloss over:
Custom-Made (Dental Lab): Your dentist takes precise impressions or digital scans of your teeth. A lab technician fabricates a hard (or dual-laminate) guard that fits your teeth with micron-level accuracy. It's thin, comfortable, and designed to hold your jaw in a therapeutic, relaxed position. Cost: Typically $300-$800. It's a medical device.
Boil-and-Bite (Drugstore): You soften a plastic blank in hot water and bite into it. It's bulky, can be unstable, and often encourages your jaw to seek a "bite" on the guard, potentially increasing muscle activity. It can also shift your teeth over time. Cost: $20-$60. It's a temporary, often problematic, stopgap.
My strong, non-consensus opinion? A poorly fitted store-bought guard is often worse than no guard at all. It can alter your bite and exacerbate problems. The custom guard is an investment that protects a much larger investment—your natural teeth and expensive dental work.
Your Top Teeth Grinding Questions Answered
Are there specific bedtime routines that can reduce teeth grinding immediately?
The bottom line is this: nighttime teeth grinding is a signal from your body, not just a bad habit. It's telling you something is off in your sleep architecture, your stress load, or your anatomy. Ignoring it is a gamble with your oral health, your comfort, and your wallet. Start with your dentist, protect your teeth with a proper guard, and be open to investigating the root cause, especially your sleep. A good night's sleep shouldn't come at the cost of your smile.