Quick Navigation
- Why Do Gums Recede in the First Place? (You Have to Know the Enemy)
- The Professional Arsenal: Treatments That Can Help Reverse Gum Recession
- The Home Front: Can You Reverse Gum Recession Naturally?
- Your Questions, Answered (The Stuff You're Actually Searching For)
- Putting It All Together: A Realistic Action Plan
Let's be real for a second. You're staring at the mirror, noticing your teeth looking longer, maybe a little sensitive to cold. You type "reverse gum recession" into Google and get a tidal wave of information. Some sites promise miracles with oil pulling. Others say surgery is the only way. It's confusing, and honestly, a bit scary.
I've been there. A close friend spent months panicking about his receding gums, trying every home remedy under the sun before finally seeing a periodontist. The relief on his face when he got a real plan was palpable. So, I'm not here to sell you magic or fear. I'm here to walk through this with you, like we're figuring it out together.
The big question, the one burning in your mind, is simple: Can receding gums actually grow back?
The short, honest answer? It's complicated. True, complete regeneration of lost gum tissue to its original height and attachment is not something that typically happens spontaneously. Your body doesn't rebuild that complex architecture on its own once it's gone. But—and this is a huge but—the process of gum recession can absolutely be halted, managed, and in some specific cases, partially reversed. The goal of any strategy to reverse gum recession is to stop the damage first, then create an environment for possible improvement.
Why Do Gums Recede in the First Place? (You Have to Know the Enemy)
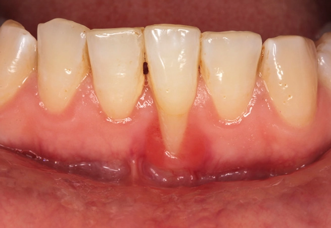
You can't fix a problem if you don't know what's causing it. Gum recession isn't one thing; it's a symptom. It's like a check engine light for your mouth. Here are the usual suspects, and you might be guilty of one without even knowing.
Brushing too hard. This is a classic. You think you're doing a great job scrubbing away plaque, but you're actually scrubbing away your gums. Using a hard-bristled brush and sawing back and forth is like using sandpaper on delicate tissue. It wears it down over years.
Gum disease (periodontitis). This is the big, bad one. Bacterial infection below the gumline destroys the bone that holds your teeth and the fibers that attach your gums to that bone. As the support vanishes, the gums follow suit and recede. This is often the cause of more severe, generalized recession.
Genetics. Sometimes, you just drew the short straw. Some people have naturally thin, fragile gum tissue or less underlying bone, making them more prone to recession even with gentle care.
Other culprits include grinding or clenching your teeth (puts massive force on teeth and surrounding tissue), crooked teeth (harder to clean, uneven forces), lip or tongue piercings (constant rubbing), and even hormonal changes.
I remember my friend's periodontist asking about his brushing technique. He demonstrated, and the dentist just nodded and said, "Yep, you're scrubbing a hole in them." It was that simple, and that devastating.
The Professional Arsenal: Treatments That Can Help Reverse Gum Recession
This is where we get into the solutions with real clinical backing. If your recession is moderate to severe, or caused by gum disease, this is your playing field. A dentist or periodontist is your guide here.
Deep Cleaning (Scaling and Root Planing)
Think of this as step zero. If active gum disease is present, you have to control the infection before anything else. This isn't your regular cleaning. It's a meticulous, below-the-gumline cleaning to remove tartar and bacteria from the root surfaces. By eliminating the disease process, you stop the recession in its tracks. It's the essential foundation. You can't build a house on a crumbling foundation, and you can't reverse gum recession while an infection is actively destroying tissue.
Gum Graft Surgery
This is the gold standard for actually covering exposed roots. It's what most people think of when they hear about surgical correction. A periodontist takes a small piece of tissue (a graft) and places it over the receded area. The graft can come from the roof of your mouth (palatal tissue) or be donor tissue. There are a few types:
- Connective Tissue Graft: The most common. They take the inner layer of tissue from your palate and stitch it over the root. It's great for predictable root coverage.
- Free Gingival Graft: Uses a thicker piece of tissue, often to build up gum thickness in very thin areas, as much for reinforcement as for coverage.
- Pedicle Graft: Uses gum tissue adjacent to the recession, sliding it over. Less common, but useful if there's enough good tissue nearby.
The recovery isn't a picnic—soft foods for a week or two, some discomfort—but the results can be dramatic. It's the most reliable method to physically reverse gum recession and protect the root.
The Pinhole Surgical Technique (PST)
This is the newer, less invasive kid on the block. Instead of cutting and grafting, the dentist makes a tiny pinhole in the gum near the recession. Special tools are used through that pinhole to gently loosen the gum tissue and slide it down over the exposed root. It's then held in place with collagen strips.
Pros: No scalpels, no sutures, no tissue taken from the palate. Recovery is usually faster with less swelling and discomfort.
Cons: It's technique-sensitive and not suitable for all types or severities of recession. It also tends to be more expensive and isn't as universally offered as traditional grafting. The long-term data, while promising, doesn't yet span decades like grafting does.
It's a fantastic option for the right candidate, offering a less daunting path to potentially reverse gum recession.
Other Professional Options
Bonding or Veneers: Sometimes, for very minor recession mainly concerned with aesthetics or sensitivity, a dentist can use tooth-colored composite resin to cover the exposed root. This doesn't fix the gum issue, but it masks it and seals the sensitive surface. It's a camouflage, not a regeneration.
Orthodontics: If misaligned teeth are the root cause (pun intended), carefully moving them into better position can sometimes redistribute forces and even allow the gum to follow and improve its contour over time.
| Treatment | Best For | What It Does | Invasiveness & Recovery |
|---|---|---|---|
| Deep Cleaning | Halting recession caused by active gum disease | Removes infection, stops the destruction | Non-surgical, 1-2 appointments, mild sensitivity after |
| Connective Tissue Graft | Covering exposed roots, predictable root coverage | Surgically places tissue over root to reverse gum recession | Surgical, 1-2 week recovery, palate donor site |
| Pinhole Technique (PST) | Select cases, patients wanting minimal incision | Loosens & slides existing gum tissue over root | Minimally invasive, faster recovery, specialist-dependent |
| Bonding/Veneers | Minor recession, primary concern is aesthetics/sensitivity | Camouflages exposed root, does not regenerate gum | Non-surgical, in-office procedure |
The Home Front: Can You Reverse Gum Recession Naturally?
This is the minefield of the internet. Let's clear it up. Can at-home care reverse gum recession on its own? For very early, very mild recession caused by trauma (like overbrushing), excellent home care can create an environment for the gum to potentially re-attach slightly and stabilize. For anything more, think of home care as the critical support system that makes professional treatment successful and prevents new recession.
That said, your daily routine is everything for prevention and maintenance. Here’s what actually matters:
Your Brushing Technique (The #1 Thing to Change)
Ditch the hard brush. Now. Get an extra-soft or soft-bristled toothbrush. Electric toothbrushes with pressure sensors are brilliant for this—they beep if you push too hard.
Use a gentle, circular or vibrating motion at a 45-degree angle to the gumline. Don't scrub horizontally. Imagine you're massaging your gums, not scouring a pot.
This single change can stop the progression of recession caused by abrasion. It's non-negotiable.
Flossing & Interdental Cleaners
If you don't floss, you're only cleaning 60% of your tooth surfaces. Plaque between teeth is a direct cause of the gum inflammation that leads to recession. Use floss, soft picks, or interdental brushes daily to clean between teeth. Gently curve the floss around each tooth in a C-shape and slide it up and down. Don't just snap it down—that can cut the gums.
The Role of Mouthwash & Toothpaste
Look for an antibacterial mouthwash like one containing cetylpyridinium chloride (CPC) or essential oils (like Listerine). These can help reduce the bacterial load that causes gingivitis, the precursor to gum disease. For toothpaste, a stannous fluoride formula is often recommended by periodontists for gum health, as it has antibacterial properties. Sensodyne-type toothpheses with potassium nitrate or stannous fluoride are great for managing sensitivity from exposed roots, but they treat the symptom, not the recession itself.
What about the trendy stuff?
- Oil Pulling (with coconut, sesame oil): The American Dental Association states there's insufficient reliable scientific evidence to support oil pulling for oral health. It might reduce some surface bacteria, but it's no substitute for brushing and flossing. It won't regenerate gums.
- Aloe Vera Gel: Has anti-inflammatory properties. Applying a little pure aloe vera gel to gums may soothe irritation, but again, it's not a reversal treatment.
- Green Tea: Drinking it is linked to better periodontal health due to antioxidants. A helpful supportive habit, not a cure.
The bottom line for home care: It's about creating a clean, non-irritating environment. It's the daily defense that keeps the problem from getting worse and supports any professional work you have done. It's how you hold the line.
Your Questions, Answered (The Stuff You're Actually Searching For)
Can receding gums grow back?
Not really "grow back" like a lizard's tail. The gum tissue itself doesn't have a great regenerative capacity for the specialized attachment that's lost. However, with proper treatment to remove disease and sometimes with surgical intervention (grafting, PST), you can achieve root coverage, where existing tissue is repositioned or new tissue is added to cover the exposed area. The body can form a new attachment to the now-clean root surface. So while the original tissue isn't regenerating, the clinical outcome—covered root, less sensitivity—is what you're after.

How to reverse gum recession at home?
As above, focus on arresting it. Perfect your brushing technique with a soft brush. Floss religiously. Use supportive products. Address any clenching/grinding with a night guard (talk to your dentist). These steps can stop the progression and, in ideal early cases, allow for slight improvement in gum health and attachment. For any visible recession, a professional evaluation is crucial to understand the cause and real options.
What is the fastest way to reverse gum recession?
The fastest way to see a visual and functional improvement is through a professional procedure like the Pinhole Surgical Technique or a gum graft, assuming you're a candidate. These provide relatively immediate root coverage. The "fast" part is the procedure itself; recovery still takes time. There is no fast, non-surgical magic bullet. The journey starts with a correct diagnosis from a dentist or periodontist.
Is it too late to fix my receding gums?
It's almost never "too late" to improve the situation. Even if advanced recession has occurred, the goals shift to: 1) Stopping it from getting worse, 2) Protecting the exposed roots from decay (roots are softer than enamel), 3) Managing sensitivity, and 4) Considering grafting to protect the tooth's long-term survival. The best time to address it was when it started; the second-best time is now.
Putting It All Together: A Realistic Action Plan
So, you're worried about your gums. What do you actually do?
- Schedule a Dental Checkup. Don't self-diagnose. See your dentist. They will measure your gums (probing depths), check for bone loss with X-rays, and identify the cause. They may refer you to a periodontist (gum specialist) for complex cases. This is step one. Full stop.
- Master Your Home Care. While you wait for the appointment, implement the gentle brushing and flossing techniques. It can't hurt and will only help.
- Discuss All Options. Based on your diagnosis, talk with your dentist about the pros, cons, costs, and expected outcomes of deep cleaning, grafting, PST, or just monitoring with improved hygiene. Ask: "What is the cause of MY recession?" and "What is the goal of treatment for MY mouth?"
- Commit to Maintenance. Whether you choose a surgical treatment or not, long-term success depends on keeping your mouth impeccably clean and attending regular cleanings (often 3-4 times a year for gum patients).
I'll leave you with this. My friend's journey taught me that fear comes from the unknown. Once he had a name for his problem (toothbrush abrasion) and a real plan (a graft and a new brushing technique), the anxiety faded. It became manageable.
Your gums are the foundation of your smile. They're worth investing in, but invest wisely with professional guidance and realistic, science-backed steps. The path to reverse gum recession starts with that first, brave call to the dentist. Everything else follows from there.
For more detailed, science-based information on periodontal diseases and treatments, a fantastic resource is the patient education section of the American Academy of Periodontology website. It's a trusted, authoritative source that can deepen your understanding.