Quick Guide
- Gum Recession and Deep Cleaning: Untangling the Basics
- So, Does Deep Cleaning Help Gum Recession? The Detailed Breakdown
- Beyond the Deep Clean: Other Treatment Paths for Gum Recession
- What to Expect After a Deep Cleaning: The Care That Makes or Breaks It
- Frequently Asked Questions (The Stuff You're Really Wondering)
- Final Thoughts: Setting the Right Expectations
Look, if you're searching for "does deep cleaning help gum recession," you're probably staring at the mirror, noticing more of your tooth showing, maybe feeling a bit of sensitivity to cold drinks, and you're worried. I get it. It's a common concern that walks into dental offices every single day. The short, honest answer isn't a simple yes or no. It's a "yes, but..." and understanding that "but" is what will save you a lot of confusion and set realistic expectations.
Let's cut through the marketing fluff and get real about what deep cleaning (which we call scaling and root planing in the biz) can and cannot do for your receding gums.
Gum Recession and Deep Cleaning: Untangling the Basics
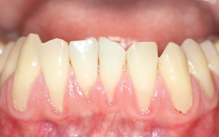
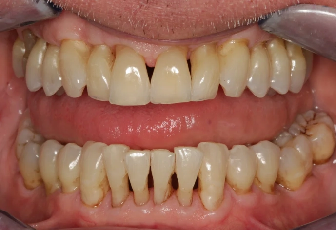
First things first, we need to be clear on what we're dealing with. Gum recession isn't a disease itself; it's a symptom. It's the result of something else going wrong. Your gums are pulling back, exposing the root surface of your tooth. That root isn't covered by tough enamel like the crown, so it's more sensitive and prone to decay.
Why Do Gums Recede in the First Place?
The culprits are usually a combo platter:
- Gum Disease (Periodontitis): This is the big one. Bacterial plaque and tartar build up under the gumline. Your body's immune system fights it, but in the process, it breaks down the bone and gum tissue that hold your teeth in place. The gum tissue literally detaches and moves down the root. This is where the core question, "does deep cleaning help gum recession," becomes most relevant.
- Brushing Too Hard: Seriously, you can love your teeth too vigorously. Using a hard brush or scrubbing sideways like you're cleaning a tile grout can physically wear away the gum tissue over time.
- Genetics: Some people are just born with thinner, more delicate gum tissue that's more prone to receding, regardless of how well they care for their teeth. Life's not fair sometimes.
- Grinding and Clenching (Bruxism): All that excessive force on your teeth can overload the bone and gums, causing them to recede.
- Misaligned Teeth or a Lip/Tongue Piercing: Anything that puts abnormal pressure on the gums can contribute.
What Exactly Is a "Deep Cleaning"?
Don't confuse it with your regular six-month checkup polish. A regular cleaning (prophylaxis) cleans the crowns of your teeth above the gumline. A deep cleaning is a specific, non-surgical periodontal therapy for when the problem has gone south—literally, below the gumline.
It has two parts:
- Scaling: We use specialized tools (sometimes ultrasonic, sometimes hand scalers) to meticulously remove plaque, tartar (calculus), and bacterial toxins from the tooth surface all the way down to the bottom of the periodontal pocket (that space between your gum and tooth that's gotten too deep).
- Root Planing: This is the key part. After the gunk is off, we smooth the root surface. Why? A smooth root makes it much harder for bacteria to re-attach and stick around. It also helps your gum tissue to re-attach to the tooth more healthily.
It's often done in two appointments, focusing on one side of the mouth at a time. And yes, it's more involved than a regular cleaning—but so is the problem it's treating.
So, Does Deep Cleaning Help Gum Recession? The Detailed Breakdown
Here's the heart of the matter. The effectiveness of scaling and root planing for gum recession depends almost entirely on what caused the recession.
The Core Principle:
Deep cleaning is designed to treat active gum disease (periodontitis). If your gum recession is being driven by this active bacterial infection and inflammation, then deep cleaning is the essential first and most important step. It stops the disease process. If your recession is from brushing too hard or genetics, deep cleaning won't directly address that cause.
When Deep Cleaning Is a Game-Changer
If your recession is due to periodontitis, here’s what happens after a successful deep cleaning:
- It Halts the Progression: This is the primary and most crucial benefit. By removing the cause (bacteria and calculus), we stop the ongoing destruction of the bone and connective tissue. The recession stops getting worse. Think of it like putting out a fire that's burning down a house. The deep cleaning puts the fire out. The house (your gum and bone) has already lost a wall (recession), but we've saved the rest of the structure from collapsing.
- Reduces Inflammation and Pocket Depth: Your swollen, red, bleeding gums will become pink, firm, and healthy again. The deep periodontal pockets will likely become more shallow as the inflammation subsides and the gum tissue tightens up against the now-clean root. This is often measured as "clinical attachment gain."
- It Creates a Healthy Foundation: You can't build anything stable on a shaky, infected base. If you ever consider surgical procedures to try and cover the exposed roots (more on that later), a successful deep cleaning is the non-negotiable prerequisite. No reputable periodontist will operate on unhealthy gums.
So, in this scenario, asking "does deep cleaning help gum recession?" is answered with a resounding YES, it helps by stopping it dead in its tracks and creating a healthy environment.
The Honest Limitation: Will the Gum Grow Back?
This is where expectations need managing. In the vast majority of cases, deep cleaning alone will not make the receded gum tissue grow back over the exposed root. The gum tissue that has been lost, along with the underlying bone, typically does not regenerate on its own once it's gone.
The exposed root will likely remain exposed. The sensitivity you feel from that exposure might improve somewhat as the root is cleaned and sealed, but it may not go away completely. This is the "but" in the "yes, but..." answer.
A Quick Reality Check:
Any website or product promising to "regrow gums" with a simple rinse or paste is, frankly, selling you hope in a bottle. Once the tissue is gone, restoring it predictably almost always requires some form of surgical intervention, like a gum graft. Deep cleaning is the critical foundation for health, but it's not a magic wand for regeneration.
Let's put this in a table to make it crystal clear:
| What Deep Cleaning (Scaling & Root Planing) DOES Do | What Deep Cleaning Typically Does NOT Do |
|---|---|
| Stops the active progression of gum disease-caused recession | Make receded gum tissue grow back over the root |
| Removes infection-causing bacteria and calculus from root surfaces | Fix recession caused by over-brushing or genetics (though it keeps area healthy) |
| Reduces inflammation, bleeding, and swelling of gums | Eliminate tooth sensitivity from exposed roots (may only reduce it) |
| Allows gums to heal and reattach more tightly to the tooth | Replace lost bone support around the teeth |
| Creates a clean, healthy base for any future treatments | Be a one-time fix; requires excellent lifelong home care and maintenance |
Beyond the Deep Clean: Other Treatment Paths for Gum Recession
Okay, so if deep cleaning stops the disease but doesn't cover the root, what are the options for that? Once your gums are healthy and stable (thanks to the deep cleaning), you can talk to your dentist or a periodontist about these procedures. They're more specialized and aren't always necessary for everyone.
- Gum Graft Surgery: This is the gold standard for covering exposed roots. Tissue is taken from your palate (roof of your mouth) or a donor source and grafted over the recession area. It's done to reduce sensitivity, improve aesthetics, and prevent further recession. The success rate is high, but it's actual surgery with a recovery period. The American Academy of Periodontology has detailed patient resources on these procedures.
- Pinhole Surgical Technique (PST): A newer, less invasive option where the gum is loosened through a tiny pinhole and gently guided over the exposed root. No grafting is needed. It promises less discomfort and faster recovery, but it's not suitable for all types or severities of recession.
- Orthodontics (Braces/Invisalign): If misaligned teeth are causing the recession, moving them into a better position can sometimes redistribute forces and even allow some gum tissue to follow.
- Changing Your Brushing Technique: If abrasion is the cause, this is 100% mandatory. Switch to a soft-bristled brush and use a gentle, circular massaging motion, not a back-and-forth scrub. An electric toothbrush with a pressure sensor can be a great investment.
- Nightguard for Grinding: A custom-made guard from your dentist protects your teeth from the destructive forces of clenching and grinding.
What to Expect After a Deep Cleaning: The Care That Makes or Breaks It
The procedure itself is just the beginning. The long-term answer to "does deep cleaning help gum recession?" depends more on what you do afterward than what the dentist did during the appointment.
The Immediate Aftermath
Your mouth will be numb. Once it wears off, some soreness and sensitivity are normal for a few days. Stick to softer foods. Your gums might feel different—tighter, maybe a bit "notchy" where the tartar used to be. That's the smooth root you're feeling! Some slight bleeding when you brush is okay as everything heals.
The Non-Negotiable, Long-Term Maintenance
This is the part people often underestimate. If you go back to your old oral hygiene habits, the plaque and calculus will come roaring back, usually within 3-4 months, and you'll be right back where you started, wasting your time and money.
You'll graduate from a "regular cleaning" schedule to a periodontal maintenance schedule. This is a specialized cleaning every 3-4 months (not 6) to monitor those deep pockets and clean areas you can't reach at home. It's not a punishment; it's the necessary support system to keep the disease controlled.
Your home care needs to become elite-level:
- Flossing is not optional. Not the little plastic floss picks you use once a week. Proper, daily flossing that curves around each tooth and goes slightly below the gumline.
- Interdental brushes can be a game-changer for wider spaces between teeth.
- An electric toothbrush is highly recommended for its consistency.
- A water flosser is a fantastic adjunct tool (especially with a periodontal tip) to flush out debris from pockets, but it does not replace string floss for removing the sticky biofilm.
Frequently Asked Questions (The Stuff You're Really Wondering)
Does deep cleaning help gum recession caused by brushing too hard?
Not directly. Deep cleaning will ensure the area is free of disease, which is always good. But it won't fix the physical damage from abrasion. The critical treatment here is changing your brushing technique and tools immediately. If you don't, you'll just keep receding the healthy gum.
Is the deep cleaning procedure painful?
We use local anesthesia to numb the areas being treated. You'll feel pressure and vibration, but not sharp pain. Afterwards, over-the-counter pain relievers usually manage any discomfort just fine. The idea that it's horribly painful is an outdated myth, though it is certainly more involved than a regular cleaning.
How long does it take to see results?
The reduction in inflammation (less redness, bleeding) can be seen within a week or two. The full healing and tissue tightening can take several weeks to a few months. Your dentist will measure your periodontal pockets again after about 6-8 weeks to assess the healing response.
Can I just get a regular cleaning instead?
If you have active periodontitis with bone loss and deep pockets, a regular cleaning is like dusting the top shelf while there's a flood in the basement. It completely misses the actual problem. It would be a waste of your time and wouldn't address the disease causing the recession. Your dentist or hygienist diagnoses this with measurements and X-rays.
What happens if I ignore gum recession and don't get a deep cleaning?
If it's caused by disease, the recession will almost certainly continue. The bone loss continues. Teeth can become loose, shift, and eventually you risk losing teeth entirely. The Centers for Disease Control and Prevention (CDC) notes that periodontal disease is a major cause of tooth loss in adults. Treating it isn't just about cosmetics; it's about saving your teeth.
Are there any risks to deep cleaning?
When performed properly, the benefits far outweigh the risks. There can be temporary sensitivity, and in rare cases, if the calculus is very heavy, removing it can expose an existing cavity on the root. But leaving the infection there is a much greater risk to your overall oral and even systemic health (research has linked periodontitis to heart disease and diabetes complications).
Final Thoughts: Setting the Right Expectations
So, let's circle back to the big question one last time: does deep cleaning help gum recession?
If your recession is from gum disease: Yes, it is the fundamental, essential treatment. It's the key to stopping the problem, getting your gums healthy, and preserving what you have left. It is not a cosmetic procedure to regrow gums; it's a health-saving procedure to halt destruction.
Think of it this way. You can't rebuild a crumbling foundation until you first stop the water leak that's causing the damage. Deep cleaning stops the leak. From that stable, dry foundation, you can then explore options (like grafts) to rebuild, if you need or want to.
The most important step is getting a proper diagnosis. See your dentist. Let them measure your gums, take the necessary X-rays, and tell you if active periodontitis is the driver behind your recession. If it is, then embracing scaling and root planing, followed by a lifetime of dedicated maintenance, is the single best decision you can make for the long-term health of your smile. It's not a quick fix, but it's a real one.