In This Guide
- When Antibiotics Are Absolutely Necessary (And When They're Not)
- The Go-To Antibiotics for Dental Abscesses: A Breakdown
- How to Take Your Antibiotics Safely and Effectively
- The Limitations and Risks: What Antibiotics CANNOT Do
- Following the Guidelines: What the Experts Say
- Your Action Plan: From Pain to Resolution
- Wrapping It Up: The Smart Patient's Perspective
Let's talk about that throbbing pain in your tooth. You know the one. It wakes you up at night, makes chewing impossible, and maybe even your face is starting to swell. You've probably googled "tooth infection antibiotics" and found a million confusing answers. I'm not a dentist, but I've spent a lot of time talking to them and digging through the research because, honestly, I had a scare myself last year. What you're likely dealing with is a periapical abscess, and the big question everyone has is about periapical abscess antibiotics.
The short answer? Antibiotics are a tool, not a magic bullet. They're crucial in some situations but completely pointless in others. Getting this wrong can mean weeks of extra pain or, worse, the infection spreading. This guide is going to cut through the noise. We'll look at when you actually need antibiotics for a periapical abscess, which ones work best (and why some are falling out of favor), how to take them properly, and the huge thing they cannot do. Let's get into it.
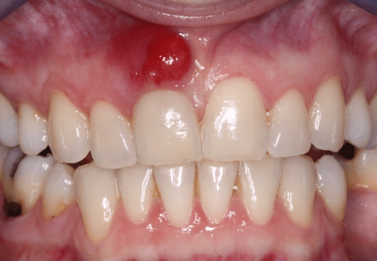
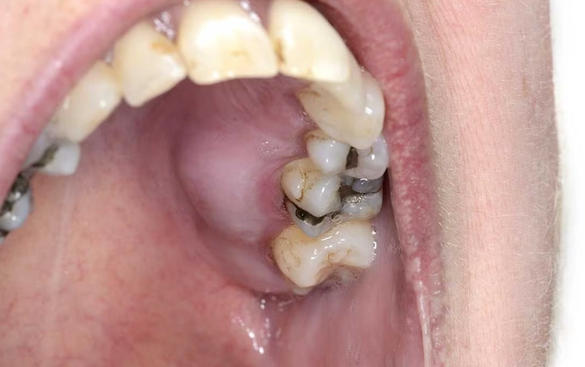
Think of it as a pus-filled pocket at the very tip of your tooth's root. It happens when bacteria invade the tooth's pulp (the soft inner part with nerves and blood vessels), usually through a deep cavity or a crack. The bacteria party at the root tip, your body sends in immune cells to fight, and the resulting battle debris forms pus. That pressure is what causes that intense, persistent ache.
When Antibiotics Are Absolutely Necessary (And When They're Not)
This is the most important part. Dentists don't just hand out antibiotics for every toothache. In fact, the guidelines are getting stricter to fight antibiotic resistance. So when do you get the prescription?
Antibiotics for a periapical abscess are typically reserved for when the infection shows signs of spreading beyond the little area around the tooth root. Your dentist is looking for what we call "systemic involvement." Here's what that looks like:
- Fever: Your body's internal thermostat is cranked up fighting the infection.
- Swelling that's spreading: Not just a little gum bump. We're talking cheek swelling, under the jaw, or even near the eye if it's an upper tooth. This is a red flag.
- Feeling generally unwell: Fatigue, chills, just feeling rotten all over.
- Difficulty swallowing or breathing: This is a medical emergency. Go to the ER immediately.
- Compromised immune system: If you have diabetes, are on chemotherapy, or have another condition affecting your immunity, your dentist might be quicker to prescribe antibiotics as a precaution.
Now, the common scenario: you have a bad toothache, maybe some localized gum tenderness, but no fever, no major swelling, and you feel okay otherwise. In this case, the definitive treatment is not antibiotics. It's removing the source of the infection. That means a root canal treatment or, if the tooth can't be saved, an extraction. The antibiotic prescription might wait.
The Go-To Antibiotics for Dental Abscesses: A Breakdown
Okay, so your dentist says you need them. Which one will you likely get? The choice isn't random. It's based on the typical bacteria involved in these oral infections (usually a mix of aerobic and anaerobic bugs) and factors like your allergy history.
Here’s a look at the most commonly prescribed periapical abscess antibiotics and what you should know about each.
| Antibiotic Name (Common Brand) | How It Works & Why It's Used | Typical Adult Dose for Dental Infection | Common Side Effects & Key Notes |
|---|---|---|---|
| Amoxicillin (Amoxil) | The first-line workhorse. It's effective against a broad range of mouth bacteria, well-absorbed, and generally well-tolerated. | 500 mg, three times daily for 5-7 days. | Diarrhea, nausea, rash. If you have a mononucleosis (mono) infection, it can cause a severe rash. This is often the first choice if you're not allergic to penicillin. |
| Amoxicillin/Clavulanate (Augmentin) | Amoxicillin plus a "clavulanate" booster that knocks out bacteria resistant to plain amoxicillin. Used for more stubborn or recurring infections. | 500 mg/125 mg (the "Augmentin 500"), twice daily for 5-7 days. | Same as amoxicillin, but gastrointestinal upset (like diarrhea) can be more common due to the clavulanate. Take with food. |
| Clindamycin (Cleocin) | A strong alternative for those with serious penicillin allergies. It's excellent at penetrating bone and abscess sites. | 300 mg, four times daily OR 450 mg, three times daily for 5-7 days. | Significant risk of C. diff colitis (a severe intestinal infection). Can cause metallic taste. Only use if truly allergic to penicillin. |
| Azithromycin (Z-Pak) | Sometimes used for penicillin-allergic patients. It has a long half-life, so the dosing is simpler (fewer pills). | 500 mg on day one, then 250 mg daily for days 2-5. | Stomach cramps, diarrhea. Its effectiveness against some oral anaerobes is debated, so it's not always the top choice. |
| Metronidazole (Flagyl) | Brilliant at killing anaerobic bacteria (the kind that thrive without oxygen, deep in an abscess). Often paired with Penicillin VK or Amoxicillin for full coverage. | 500 mg, three times daily for 5-7 days. NEVER drink alcohol while taking it or for 48 hours after. | Metallic taste, nausea, dark urine. The "disulfiram reaction" with alcohol is severe: vomiting, flushing, rapid heart rate. |
You'll notice a theme: most courses are 5 to 7 days. The old 10-day course isn't always necessary anymore. The goal is to control the spreading infection so your body (and the definitive dental treatment) can take over.
How to Take Your Antibiotics Safely and Effectively
Popping a pill seems simple, but a few tricks can make a big difference in how you feel and how well the drugs work.
- Timing is (almost) everything: Space your doses evenly. "Three times a day" means every 8 hours, not just with meals. Set alarms on your phone.
- With or without food? This depends. Amoxicillin and Azithromycin can be taken with or without. Clindamycin and Metronidazole are much gentler on your stomach if you take them with a meal or snack. The bottle or your pharmacist will tell you.
- The Probiotic Question: Antibiotics are like a bomb in your gut—they kill the bad guys but also the good bacteria. Taking a probiotic supplement (with strains like *Lactobacillus* or *Saccharomyces boulardii*) a few hours apart from your antibiotic dose can help prevent diarrhea and yeast infections. Yogurt with live cultures works too.
- Hydrate, hydrate, hydrate: Drink plenty of water. It helps your kidneys process the medication and can mitigate some side effects.
- Don't mix without asking: Tell your dentist and pharmacist about all other meds and supplements you take. Some antibiotics interfere with birth control pills (use a backup method!), blood thinners, and other drugs.
The Limitations and Risks: What Antibiotics CANNOT Do
This is the part that disappoints a lot of people, so let's be blunt. Antibiotics for a periapical abscess have one job: control a spreading bacterial infection. They are not painkillers. They are not a substitute for dental work.
Think of the abscess like a garbage can full of rotten food with a locked lid. The pus (rotten food) is building up pressure. Antibiotics are like spraying air freshener around the outside of the can. It might temporarily help with the smell (the systemic spread), but it does nothing to empty the can or unlock the lid. The definitive treatment—root canal or extraction—is the only way to open the lid, clean out the garbage, and solve the problem for good.
Expecting periapical abscess antibiotics to cure your toothache is a recipe for disaster. The pain might lessen if the swelling goes down, but the source remains. The infection can flare up again, often stronger, as soon as you stop the drugs.
The Dark Side: Antibiotic Resistance and Side Effects
We've all heard about "superbugs." Every unnecessary or incomplete course of antibiotics is a training session for bacteria. They learn to survive the drug, and next time, it won't work. This is why dentists are now so careful. Prescribing antibiotics for tooth infection when they're not needed is actively harmful to public health.
Then there are the personal side effects. Beyond the common nausea, some are serious. Clindamycin's link to C. diff is no joke—it can land you in the hospital with debilitating diarrhea. Allergic reactions, while rare, can be severe. This is another reason the "just in case" prescription is fading away.
Following the Guidelines: What the Experts Say
Dentists don't just wing it. They follow clinical guidelines based on piles of evidence. Organizations like the American Dental Association (ADA) and the American Association of Endodontists (AAE) provide clear recommendations. The AAE has been particularly vocal, stating that for a localized abscess (no fever, no spreading swelling), the primary treatment should be immediate dental intervention to drain the abscess, not antibiotics.
Even the American Heart Association (AHA) updated its guidelines for preventing infective endocarditis. They no longer recommend preventive antibiotics for most dental procedures in people with heart conditions, focusing instead on good oral hygiene to prevent infections in the first place. This shows a major shift in thinking across the board.
Your Action Plan: From Pain to Resolution
So you're in pain. What should you actually do?
- Call Your Dentist Immediately: Don't wait. Describe your symptoms honestly—the pain, any swelling, fever, difficulty swallowing.
- Manage Pain and Swelling While You Wait: Use over-the-counter pain relievers like ibuprofen (Advil) or naproxen (Aleve). They reduce inflammation and pain better than acetaminophen (Tylenol) for this type of issue. Use a cold compress on the outside of your cheek (20 minutes on, 20 minutes off) to help with swelling.
- Go to Your Appointment: Your dentist will examine you, likely take an X-ray to see the abscess, and check for signs of spread.
- Understand the Treatment Plan: Will they drain the abscess today? Schedule a root canal? And will they prescribe periapical abscess antibiotics? Ask why or why not. A good dentist will explain their reasoning based on the guidelines.
- Follow Through: If you get antibiotics, take them exactly as directed. But absolutely get the dental work done—the root canal or extraction. That's the non-negotiable part.


Wrapping It Up: The Smart Patient's Perspective
Dealing with a periapical abscess is miserable. The instinct to want a pill to make it all go away is completely understandable. But the modern approach to periapical abscess antibiotics is smarter and more nuanced. They are a powerful ally when the infection is on the move, threatening your overall health. In those cases, they are lifesaving.
But for the standard, nasty toothache, they are a supporting actor, not the star. The star of the show is the dental procedure that removes the source. Trust your dentist's judgment. If they don't prescribe antibiotics, it's likely because they are following the latest evidence to give you the best long-term outcome and do their part in preventing superbugs.
Your job is to communicate your symptoms clearly, follow instructions meticulously, and prioritize getting that tooth treated. Don't pressure your dentist for antibiotics you might not need. Instead, ask them to explain the plan. A good treatment plan for a periapical abscess often involves timing—sometimes antibiotics first to calm a severe infection, followed swiftly by the definitive fix. That one-two punch is how you get rid of the pain for good and get back to eating, smiling, and sleeping through the night without that dreaded throb.
Leave a Reply