That sharp, lightning-bolt pain when you sip ice water or bite into something cold isn't just annoying. It's your tooth screaming for help. For millions, this gum recession sensitivity is the first and most obvious sign that something's wrong beneath the gumline. The tissue protecting your tooth roots is pulling back, exposing the sensitive dentin underneath. It's not just about discomfort; it's a visual and sensory red flag for your long-term oral health.
I've seen it countless times in practice. A patient comes in complaining about sensitive teeth, convinced they just need a special toothpaste. But when we look, we see the real issue: their gums have receded, sometimes dramatically. The toothpaste might mask the symptom for a while, but it's like putting a bandage on a leaky pipe. You have to address the cause.
What's Inside This Guide
- What's Actually Making Your Gums Recede?
- The Direct Link Between Recession and Sensitivity
- How to Know If It's Gum Recession (Not Just a Cavity)
- What a Dentist Can Do: Beyond the Graft
- Your At-Home Care Strategy That Doesn't Make It Worse
- Stopping Recession Before It Starts: Real Tactics
- Your Gum Recession Sensitivity Questions Answered
What's Actually Making Your Gums Recede?
Let's clear up a myth. Receding gums aren't just a normal part of aging. They're usually the result of specific, often correctable, insults to the gum tissue. Think of your gums as a tight collar around your tooth's neck. That collar can get damaged and start to slide down.
The Big Three Culprits:
- Brushing Too Hard (The "Scrubber"): This is the most common self-inflicted cause. Using a hard-bristled brush and sawing back and forth like you're sanding a deck traumatizes the delicate gum tissue. Over years, it literally wears it away. I tell patients, you're brushing your teeth, not scouring a pot.
- Periodontal (Gum) Disease: This is the silent, bacterial-driven cause. Plaque and tartar buildup below the gumline trigger inflammation and infection. Your body's immune response, trying to fight the bacteria, ends up destroying the bone and connective tissue that hold the gums in place. The gums then detach and recede. The American Academy of Periodontology notes this is a leading cause of tooth loss in adults.
- Tooth Position and Clenching: If a tooth is tilted or positioned too far outside the bony housing, the gum covering it is often thin and fragile from the start. Add in a heavy clenching or grinding habit (bruxism), and the excessive force on that tooth can accelerate recession.
Other players include lip or tongue piercings that constantly rub, poorly fitting partial dentures, and yes, some genetic predispositions where gum tissue is naturally thinner.
Key Insight: Most recession is a mix of these factors. You might be a moderate brusher, but if you have a slight genetic predisposition to thin tissue and some low-grade inflammation from missed plaque, the combination pushes you over the edge. Treating it means looking at the whole picture.
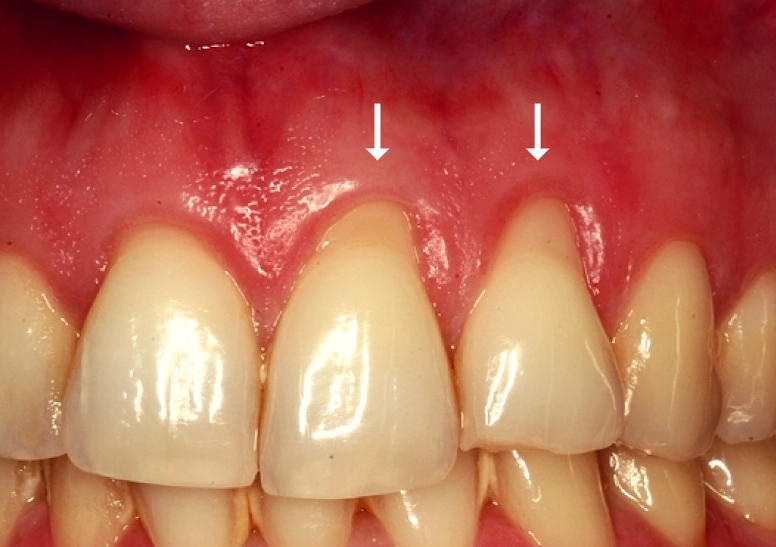
The Direct Link Between Recession and Sensitivity
Why does recession cause such sharp pain? It's an anatomy lesson. The crown of your tooth (the part above the gum) is covered in super-hard enamel. The root, meant to be buried in bone and gum, is covered by a thinner, softer layer called cementum.
When gums recede, the cementum and the underlying dentin get exposed. Dentin is full of microscopic tubules—think of them as tiny straws—that lead directly to the tooth's nerve center (the pulp). Cold, sweet, acidic, or even tactile stimuli (like your toothbrush) can travel down these open tubules and trigger that familiar jolt of pain.
The sensitivity isn't always constant. It often comes and goes, flaring up with triggers and then calming down. This can fool people into thinking the problem is solved. It's not. The exposed root surface is also more prone to cavities (root caries), which can be nasty and progress quickly because cementum is softer than enamel.
How to Know If It's Gum Recession (Not Just a Cavity)
You can do a basic check at home, but a dentist's diagnosis is crucial.
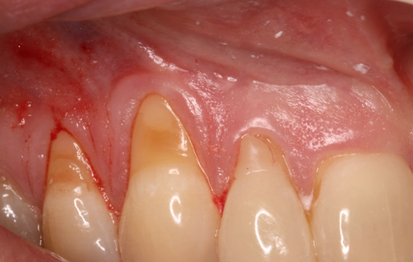
At-Home Check: In good light, look at your teeth in a mirror. Pull your lip and cheek back gently. Do you see more of the tooth than you used to? Does the tooth look longer? Can you see a visible notch or line where the gum used to be? The tooth might also appear slightly yellow near the gumline (that's the dentin showing through). Run a fingernail gently along that area. Does it feel like a subtle ridge or step?
When to See a Dentist Immediately: If the sensitivity is sudden and severe, or if you see a visible, dark spot or hole on the root surface, don't wait. That could be a root cavity needing urgent care. Persistent sore or bleeding gums alongside recession point to active gum disease.
Your dentist will use a tiny ruler called a periodontal probe to measure the depth of the space between your tooth and gum (a pocket) and the amount of gum loss (recession) in millimeters. They'll also check for tooth mobility, plaque deposits, and assess your bite. This clinical exam, sometimes with X-rays to check bone levels, gives the full story.
What a Dentist Can Do: Beyond the Graft
Everyone jumps to "gum graft" surgery. It's an effective option, but it's not the only one, and it's not always the first step. Treatment depends on the cause, severity, and your aesthetic concerns.
| Treatment Option | Best For | What It Involves | Realistic Outcome |
|---|---|---|---|
| Desensitizing Agents | Mild to moderate sensitivity with stable, non-progressing recession. | In-office application of fluoride varnishes, oxalates, or bonding resins that seal the dentin tubules. | Significant reduction in sensitivity for several months. A great first non-invasive step. |
| Bonding or Pink Composite | Localized recession, especially on front teeth, with root sensitivity or aesthetic concerns. | Applying tooth-colored (or gum-colored) composite resin to cover the exposed root surface. | Immediate coverage and sensitivity relief. Less invasive than surgery but may wear or stain over time. |
| Gum Graft Surgery | Progressive recession, thin gum tissue, significant root exposure, or aesthetic demands. | Taking a small piece of tissue from your palate or using donor tissue to cover the exposed root. | Permanent coverage, protection, and thickening of the gum. Gold standard for stopping progression. |
| Orthodontics | Recession caused by a tooth being positioned too far out of the bone. | Carefully moving the tooth into a more protected position within the jawbone. | Can halt recession and sometimes improve gum levels without surgery. A long-term solution. |
The biggest mistake I see? People opting for a graft without first getting their gum disease under control or correcting their destructive brushing technique. You'll just ruin the new graft. Treat the cause, then repair the damage.
Your At-Home Care Strategy That Doesn't Make It Worse
This is where you have the most control. Your daily routine can either halt recession or speed it up.
1. The Right Brushing Technique (Forget Everything Your Parents Taught You)
Ditch the hard brush. Use a soft or extra-soft bristled brush. Hold it like a pencil, not a hammer. Use gentle, circular or vibrating motions at a 45-degree angle toward the gumline. The goal is to massage the gums and sweep plaque away, not scrub the teeth. An electric toothbrush with a pressure sensor is a fantastic investment here.
2. Choosing Your Sensitivity Arsenal
Not all sensitivity toothpastes are equal. You need one with potassium nitrate or stannous fluoride. Potassium nitrate calms the nerve inside the tooth. Stannous fluoride blocks the dentin tubules and has anti-bacterial benefits for gum health. Use it consistently—it can take 2-4 weeks of twice-daily use to feel the full effect. Don't rinse with water after spitting; just spit out the excess to leave a protective film.
3. The Flossing and Water Flossing Combo
If your recession is due to gum disease, cleaning between teeth is non-negotiable. Floss gently, curving it against the tooth and sliding under the gumline without snapping. A water flosser on a low setting can be incredibly effective at flushing out debris from recessed areas without trauma.
Stopping Recession Before It Starts: Real Tactics
Prevention is about managing force and inflammation.
If you clench or grind, ask your dentist about a night guard. It won't stop the habit, but it redistributes the destructive forces. Get regular cleanings—professional removal of tartar (calculus) is something you cannot do at home, and it's essential for preventing the gum disease that drives recession. Look at your habits: quit smoking (a major risk factor for gum disease), be mindful of oral piercings.
Think of your gums as the foundation of your smile. A weak foundation eventually causes problems you can't ignore. That sensitivity is the early warning system.
Your Gum Recession Sensitivity Questions Answered
Can receding gums grow back on their own?
True gum tissue, once lost, does not regenerate like skin. The goal of treatment is to cover the exposed root with new tissue (via a graft) or with a material (like bonding). However, if the recession is caused by puffiness and swelling from gingivitis (the early, reversible stage of gum disease), reducing the inflammation can make the gums appear fuller and healthier, but it's not regrowing lost attachment.
I use sensitivity toothpaste, but the pain comes back. What am I doing wrong?
The toothpaste is likely treating the symptom (the open tubules) but not the ongoing cause. If you're still brushing aggressively, or if active gum disease is present, the recession might be progressing, exposing new sensitive areas. The toothpaste can't keep up. It's a signal to have your technique and gum health evaluated professionally.
Is a gum graft my only option if the recession is getting worse?
For significant, progressive recession, a graft is often the most predictable long-term solution to stop it and protect the root. However, it's not the *first* option. Before any surgery, we must ensure all gum disease is controlled and that you've mastered a gentle cleaning technique. Sometimes, for minor progression, intense desensitizing treatments combined with perfect home care can be a "watch and wait" strategy, but you need to be monitored closely.
How can I tell if my sensitivity is from recession or just thin enamel?
Location is the biggest clue. Sensitivity from thin enamel or enamel erosion usually occurs on the biting surfaces or the sides of the tooth crowns. Sensitivity from recession is localized right at the gumline, and you can often see or feel the gum has moved. A dentist can do a simple test by blowing air or applying a cold stimulus to specific spots to pinpoint the source.
My dentist says my recession is "mild" and to just watch it. What should I be watching for?
You're watching for progression. Take a clear, well-lit photo of the area every 6 months. Compare them. Are you seeing more of the root? Is the V-shaped notch getting deeper? Is the sensitivity increasing or becoming triggered more easily? Any of these changes mean it's time to go back for a re-evaluation. "Watch" doesn't mean ignore; it means monitor actively.