Let's talk about straightening teeth. For a long time, it was a simple, if not exactly thrilling, choice: metal braces. Then came the promise of clear aligners you could pop in and out. But right in the middle sits an option that often gets misunderstood—ceramic braces. You've probably seen them, or at least heard of "clear braces." They're those brackets that blend in more with your teeth, offering a kind of middle ground between traditional metal and the newer aligner systems.
But what's the real story? Are they as invisible as advertised? How do they stack up against the alternatives, not just in looks but in cost, comfort, and results? I've had friends go through this decision, spent hours talking to dental professionals, and sifted through more patient forums than I care to admit. This guide is that conversation. We're going to strip away the marketing gloss and get into the nitty-gritty of what life with ceramic braces is actually like, who they're perfect for, and who might want to think twice.
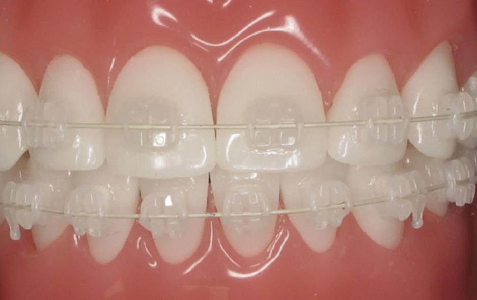
Quick Take: Ceramic braces work on the same principle as traditional metal braces—using brackets bonded to your teeth and a wire to apply gentle, continuous pressure. The key difference is aesthetics. The brackets are made from a composite ceramic material that is either tooth-colored or clear, and the wire is often coated in a tooth-colored tint. This makes them far less noticeable than shiny metal, especially from a conversational distance.
How Do Ceramic Braces Actually Work?
The mechanics are classic orthodontics. An orthodontist bonds each ceramic bracket to the center of a tooth using a special dental adhesive. A thin archwire is then threaded through the slots in these brackets and held in place with small elastic bands (ligatures) or a built-in clip (self-ligating systems).
Here's where the magic—or rather, the biological process—happens. The archwire wants to return to its original shape. As it tries to do so, it applies gentle, controlled pressure to the brackets and, consequently, to your teeth. This pressure stimulates bone remodeling. The bone on one side of the tooth root dissolves (resorption), while new bone is built up on the other side (deposition). Over time, this allows the tooth to move steadily into its new, correct position.
The ceramic material itself is strong enough to withstand these forces. It's not some fragile glass; it's a high-grade, stain-resistant ceramic designed for the oral environment. But, and this is a big but, it's not *as* strong as metal. That fact trickles down into a lot of the pros and cons we'll discuss.
The Good, The Bad, and The Sticky: Ceramic Braces Pros and Cons
No orthodontic treatment is one-size-fits-all. Let's break down the advantages and drawbacks of ceramic braces side-by-side. This isn't just a list; it's about understanding the trade-offs.
Advantages of Choosing Ceramic Braces
- Aesthetics (The Big One): This is the primary reason people choose them. They are significantly less conspicuous than metal braces. For adults in professional settings or teens (and adults) who are highly self-conscious, this can be a game-changer for self-esteem during treatment.
- Effective for Complex Cases: Unlike some clear aligner systems that have limitations, ceramic braces are a fixed appliance. This means the orthodontist has complete control over tooth movement in all three dimensions. They can handle severe crowding, large gaps, rotations, and bite corrections (overbites, underbites, etc.) with predictable precision. If your case is complicated, this is a major point in their favor.
- No Compliance Worries: You can't take them off. While that might sound like a con, it's actually a huge pro for ensuring consistent progress. There's no risk of forgetting to wear them for 22 hours a day or losing a set of aligners.
- Potentially Faster for Some Cases: Because the force is constant and can be very precisely applied, some complex movements can be achieved more efficiently with fixed braces like ceramics compared to some aligner systems, potentially shortening overall treatment time.
Disadvantages and Things to Consider
- Cost: They are almost always more expensive than traditional metal braces. The ceramic material and sometimes the specialized wires cost more. You're paying for that discretion.
- Durability & Staining: Here's a real-talk moment. The ceramic brackets themselves are quite strong but are more brittle than metal. They can fracture if you bite into something very hard. More commonly, the elastic ligatures (the tiny rubber bands holding the wire in) are notorious for staining. Coffee, tea, red wine, curry, soy sauce—you name it. If you're not meticulous, those clear or white ligatures can turn yellow or brown, making your "clear" braces look dirty. Self-ligating ceramic braces (which use a built-in clip instead of a band) avoid this issue.
- Size and Discomfort: Ceramic brackets are often slightly larger and bulkier than their metal counterparts to achieve the necessary strength. This can mean more lip and cheek irritation, especially in the beginning. It can also make keeping them clean a bit more challenging.
- Friction: Ceramic can create more friction with the archwire than metal. Higher friction can sometimes mean slower tooth movement or the need for slightly more force, which some patients report as increased discomfort after adjustments. Again, self-ligating designs aim to reduce this friction.
See what I mean about trade-offs? You're gaining discretion but accepting a higher maintenance routine and cost.
Ceramic Braces vs. The Competition: Metal and Invisalign
You can't make a decision in a vacuum. How do ceramic braces really compare? Let's put them in a head-to-head.
| Feature | Ceramic Braces | Traditional Metal Braces | Clear Aligners (e.g., Invisalign) |
|---|---|---|---|
| Aesthetics | Less noticeable, tooth-colored/clear. | Very noticeable, metallic. | Nearly invisible when worn. |
| Effectiveness | Excellent for complex cases. | Excellent for all cases, gold standard. | Good for mild-moderate cases, improving for complex. |
| Comfort & Irritation | Bulkier brackets can irritate. Ligatures may stain. | Smaller brackets, but metal can irritate. No staining of parts. | No brackets/wires = minimal irritation. Can cause temporary lisp. |
| Dietary Restrictions | Avoid very hard/sticky foods (risk of breakage). | Avoid very hard/sticky foods (risk of damage). | None when aligners are removed to eat/drink. |
| Oral Hygiene | Challenging. Requires meticulous cleaning around brackets. | Challenging. Requires meticulous cleaning. | Easier. Remove to brush and floss normally. |
| Cost | $$$ (Most expensive of the three typically). | $ (Most affordable fixed option). | $$ (Often comparable to ceramics). |
| Discipline Required | None. They are fixed. | None. They are fixed. | High. Must be worn 20-22 hrs/day. |
My personal take? Metal braces are the workhorse—affordable and brutally effective. Clear aligners are the flexible, discreet choice for the disciplined patient with a suitable case. Ceramic braces sit in that awkward, wonderful, frustrating middle: more visible than aligners but more effective for tough jobs; more discreet than metal but more fussy and expensive. They're a compromise, and for the right person, it's a perfect one.
Who Are Ceramic Braces Actually Best For?
It's not for everyone. Based on what we've covered, I'd say ceramic braces are an ideal fit for:
- Adults and older teens who are highly concerned about appearance during treatment but have a case that is too complex for clear aligners, or who simply don't trust themselves to be compliant with removable trays.
- Patients who need the precision and power of fixed braces but are willing to invest more and be more diligent with maintenance for a less noticeable look.
- Individuals correcting bite issues (which often require fixed appliances for elastics) who want a more aesthetic option.
They might be a less ideal choice for:
- Younger children where durability is paramount and aesthetics are less of a concern.
- Anyone on a tight budget, as the premium is significant.
- People who know they won't be diligent about avoiding staining foods/drinks or cleaning meticulously. Stained ligatures on ceramic braces look worse than clean metal ones, in my opinion.
The Real Cost of Ceramic Braces (And How to Navigate It)
Let's talk numbers, because this is a major factor. You can't just Google "ceramic braces cost" and get a useful answer. It varies wildly by region, case complexity, orthodontist experience, and treatment length.
As a general ballpark in the US, traditional metal braces might range from $3,000 to $7,000. Ceramic braces typically add $1,000 to $3,000 to that range. So, you could be looking at a total of $4,500 to $10,000+ for full treatment with ceramic braces.
What does that fee usually cover? The initial consultation, all appliances (brackets, wires, etc.), all adjustment appointments over the entire 18-36 month (or so) period, and the final retainers. It's a comprehensive package.
How to manage it?
- Consultations are Key (and Often Free): Most orthodontists offer free initial consultations. Go to at least two or three. Get detailed treatment plans and cost breakdowns. Don't just shop for the cheapest; shop for the orthodontist you trust and feel comfortable with.
- Ask About Payment Plans: Almost all orthodontic practices offer in-house monthly payment plans with little or no interest. This is often the most affordable way to pay, as it avoids financing charges.
- Check Your Insurance: Many dental insurance plans have an orthodontic benefit, often with a lifetime maximum (e.g., $1,500-$2,000). This benefit usually applies to any type of braces, not just metal.
- FSAs and HSAs: You can use pre-tax dollars from Flexible Spending Accounts or Health Savings Accounts to pay for orthodontics, which is a nice savings.
It's a big investment. But framing it as a long-term investment in your health and confidence helps.
Life with Ceramic Braces: Care, Diet, and Adjustments
Okay, you've taken the plunge. What's daily life like? It's a new routine, for sure.
The Non-Negotiable Cleaning Routine
This is the most important part to avoid cavities and gum problems. You need to upgrade your brushing game.
- Soft-bristled brush or orthodontic brush: Use it after every meal. Angle the bristles to clean above and below the bracket.
- Interdental brushes (proxy brushes): These little pipe cleaners are heroes for cleaning around brackets and under wires.
- Water flosser: A game-changer. It blasts food debris from places brushes can't reach. Not a replacement for flossing, but a fantastic supplement. The American Dental Association has resources on effective oral care with braces.
- Floss threaders or orthodontic floss: You absolutely must floss. Threaders make it possible to get floss under the wire.
- Fluoride mouthwash: An extra layer of protection against enamel demineralization (those white spots that can appear around brackets).
Foods to Kiss Goodbye (Temporarily)
You'll get a list from your orthodontist, but the usual suspects are:
Hard Foods: Nuts, hard candies, ice, popcorn kernels, crusty bread. These can break a ceramic bracket. A broken bracket means an extra repair appointment and can delay treatment.
Sticky/Chewy Foods: Caramel, taffy, gum, chewy candy. These can bend wires and pull brackets off.
Staining Culprits (if you have elastic ligatures): Coffee, tea, red wine, dark sodas, curry, berries. If you must, use a straw and rinse immediately after.
Adjustment Appointments
Every 4-8 weeks, you'll go in. The orthodontist or assistant will change the archwire (progressing to thicker, stronger wires) and replace ligatures. You'll likely feel soreness or pressure for 2-4 days after as your teeth start moving again. Soft foods and over-the-counter pain relievers are your friends.
Your Ceramic Braces Questions, Answered
Let's tackle some of the specific questions buzzing in your head right now.
1. How "invisible" are they really?
From across a room or in photos, they can be very discreet. Up close in conversation, people will likely notice something on your teeth, but they'll look more like subtle dental work than obvious metal braces. The archwire is usually visible. They are less visible than metal, but not truly invisible like well-fitted aligners.
2. Do they stain easily?
The ceramic brackets themselves are highly stain-resistant. The major staining issue is with the clear or white elastic ligatures. They absorb pigments from food and drink like a sponge. Self-ligating ceramic braces or opting for silver/gray ligatures (which don't show stains) solves this. It's a crucial point to discuss with your orthodontist.
3. Are ceramic braces only for adults?
Not at all! They are popular with image-conscious teenagers as well. However, the orthodontist will consider the patient's maturity and ability to care for them properly, as they are more fragile and require more diligent hygiene.
4. Are they as effective as metal braces?
Yes, for the vast majority of cases. Both are fixed appliances that provide the orthodontist with full control. The underlying biomechanics are identical. The difference is in the material of the bracket, not the fundamental ability to move teeth.
5. What about "lingual" braces (behind the teeth)?
Lingual braces are the ultimate in invisibility (they're on the tongue side). They are almost always custom-made metal braces. They are a different category altogether—much more expensive, often less comfortable for the tongue, and not all orthodontists are trained to use them. They're an option if budget and comfort are secondary to absolute secrecy.
6. How long does treatment with ceramic braces take?
There's no difference in average treatment time between ceramic and metal braces for the same case. Treatment length (typically 18-30 months) depends on the complexity of your misalignment, your biology (how fast your teeth move), and your compliance (keeping appointments, avoiding broken brackets).
Making Your Decision: A Final Checklist
Feeling overwhelmed? Let's simplify. Before you commit, make sure you've done this:
- Gotten 2-3 Consultations: Don't skip this. Different orthodontists have different philosophies, technologies, and fee structures.
- Asked Specifically About:
- The total all-inclusive cost and payment plan options.
- Whether they use self-ligating or traditional ligature ceramic braces.
- Their experience with your specific type of dental issue.
- Their policy on emergency/repair appointments for broken brackets.
- Been Honest With Yourself:
- Can I handle the cleaning routine, every single day?
- Am I willing to cut out staining drinks or deal with stained ligatures?
- Is the aesthetic benefit worth the extra cost and potential extra bulk/discomfort compared to metal?
- Looked at Before/After Photos: Ask the orthodontist to show you results of cases similar to yours treated with ceramic braces.

Ceramic braces are a fantastic tool in modern orthodontics. They've given countless people a way to achieve a beautiful, healthy smile without the full visual impact of traditional braces. They're not a magic bullet—they require commitment, care, and a realistic budget. But if you go in with your eyes open, knowing both their brilliant discretion and their fiddly realities, they can be the perfect middle-path to the smile you want.
The journey is a marathon, not a sprint. Whichever path you choose, the result—a confident, healthy smile—is worth every step.
Leave a Reply