Quick Navigation
- The Core Periapical Abscess Symptoms: What You Actually Feel
- Why Does a Periapical Abscess Hurt So Much? (The Science Made Simple)
- When a Periapical Abscess Becomes a Dental Emergency: Red Flag Symptoms
- Periapical Abscess Symptoms vs. Other Dental Pains: A Quick Comparison
- What Happens If You Ignore Periapical Abscess Symptoms?
- From Symptoms to Solution: What Does Treatment Involve?
- Can You Prevent a Periapical Abscess?
- Your Questions on Periapical Abscess Symptoms, Answered
Let's be honest, dental pain is the worst. It’s not like a headache you can sometimes ignore. A throbbing toothache invades your thoughts, ruins your meals, and steals your sleep. And when that pain is caused by a periapical abscess, it’s your body waving a big, red flag right at the tip of your tooth's root.
I remember a friend who kept popping ibuprofen for a "weird pressure" in his molar. He thought it was just a deep cavity acting up. A week later, he was in the emergency room with a swollen cheek that looked like he was storing a golf ball. That "pressure" was the early stage of a full-blown periapical abscess. He wished he’d known what to look for sooner.
That’s why understanding periapical abscess symptoms is so crucial. It’s the difference between a manageable dental procedure and a scary, painful emergency. This isn't just about listing aches and pains. It's about connecting the dots between what you feel in your mouth and what's actually happening deep in the bone around your tooth root. We're going to break down every twinge, throb, and swelling so you can recognize the problem, understand why it's happening, and know exactly when to drop everything and call your dentist.
The Core Periapical Abscess Symptoms: What You Actually Feel
These symptoms don't all show up at once, and their intensity can vary wildly. Think of it as a spectrum, from a subtle whisper of discomfort to a screaming siren of pain.
The Pain: It Has a Personality of Its Own
This isn't your ordinary sensitive-to-cold twinge. The pain from a tooth abscess is distinctive.
- A Persistent, Gnawing Ache: This is the background music of a periapical abscess. It's always there, a dull, constant pressure or throbbing centered on one specific tooth. It might fade a bit but never truly disappears.
- Sharp, Jabbing Pain with Pressure: Bite down on something? Chew on that side? You'll likely get a sharp, electric shock of pain. The reason is simple—pushing on the tooth squeezes the inflamed tissue and the pocket of pus at the root tip. Even tapping the tooth gently with a spoon handle can elicit a wince.
- Pulsating or Throbbing Rhythm: This classic sign often feels in sync with your heartbeat. It's a sign of significant inflammation and pressure building up in a confined space with nowhere to go. Lying down often makes this worse because it increases blood pressure to your head.
- Radiating Pain: The pain rarely stays neatly in one tooth. It can spread (radiate) to your jaw, ear, neck, or even the other side of your face on the same jaw. This can make it confusing—you might think you have an earache or a sinus problem when the real culprit is a lower molar.
Here’s a personal gripe about some online descriptions—they make it sound like the pain is always a 10/10. It's not. Sometimes, especially if the infection finds a small path to drain (called a sinus tract), the pressure releases a bit and the pain can become more of a dull, manageable annoyance. This is deceptive and dangerous because the infection is still very much active.
Sensitivity That Makes You Dread Your Meals
Temperature sensitivity is a huge clue, but it plays out in a specific way with a root abscess.
- Heat Sensitivity is a Major Red Flag: If sipping hot coffee or soup sends a sharp, lingering pain through the tooth, pay close attention. While cold sensitivity is common with cavities, prolonged pain from heat is strongly associated with a dying or dead nerve (pulp) and a likely periapical abscess. The heat expands gases in the infected area, increasing pressure.
- Cold Might Offer Relief (Temporarily): Strangely, holding cold water or ice around the tooth might temporarily numb the pain or provide relief. This is because the cold contracts things, reducing pressure slightly. Don't mistake this for improvement—it's just a temporary pause.
The Visible and Tactile Signs
Your mouth will often show physical evidence of the problem.
- Swelling in the Gums: Look in the mirror. Is there a pimple-like bump on the gum near the root of the painful tooth? Dentists call this a "parulis" or gum boil. It might be red, yellow at the tip, and it could ooze pus or blood if you press on it (though I don't recommend pressing on it). This is actually a drainage point for the abscess.
- Swelling in the Face or Jaw: This is when things get serious. The infection spreads from the bone into the softer tissues of your cheek, jawline, or under your tongue. The skin becomes tender, warm, and visibly puffy. The classic "chipmunk cheek" appearance.
- Tooth Discoloration: Sometimes the problem tooth may look darker—greyish or yellowish—compared to its neighbors. This happens when the nerve inside dies and breaks down, staining the tooth from within.
- A Loosening Sensation: The tooth might feel slightly elevated or "high" when you bite, or it may even have detectable wiggle. The pus collecting at the root tip is literally pushing the tooth slightly out of its socket.
Why Does a Periapical Abscess Hurt So Much? (The Science Made Simple)
Okay, so we know the symptoms of a periapical abscess are nasty. But why? Understanding the "why" makes the signs make more sense.
Inside every tooth is a tiny chamber and canals (the pulp) containing nerves, blood vessels, and connective tissue. When bacteria from a deep decay or crack invade this space, they cause an infection (pulpitis). If left alone, the infection kills the pulp and moves out through the tiny hole at the root tip.
Now it's in your jawbone. Your immune system launches a massive attack, sending white blood cells to fight. This battle—bacteria vs. immune cells—creates pus (a thick fluid of dead cells and bacteria).
Bone is hard. It doesn't stretch. So as this pus-filled sac grows at the root tip, it creates intense pressure. That pressure compresses the nerve fibers still in the bone and the periodontal ligament (the tiny shock absorbers holding your tooth in place).
Pressure on nerves = intense, localized pain.
It's like blowing up a balloon in a confined box. Something's gotta give. Eventually, the pus may erode through the bone and drain into the gums (creating that gum boil), which can temporarily relieve the pressure and pain. But the infection factory at the root tip is still running.
Honestly, the body's response is impressive but brutally painful. The pain is essentially a very loud, very urgent alarm system.
When a Periapical Abscess Becomes a Dental Emergency: Red Flag Symptoms
This is the most important part of this guide. Some periapical abscess symptoms mean you shouldn't wait for a regular appointment. You need immediate care.
- Fever: Your body temperature rising is a clear sign the infection is no longer local and is entering your bloodstream (bacteremia). This is a systemic response.
- Significant Facial Swelling: Swelling that spreads to your eye, under your jaw (submandibular space), or down your neck. Difficulty swallowing or feeling like your throat is tight.
- Difficulty Breathing or Swallowing: This is the ultimate red flag. Swelling in the floor of the mouth or back of the throat can physically obstruct your airway. This is a life-threatening condition called Ludwig's Angina.
- Rapid Heart Rate, Feeling Faint, or Confusion: Signs of sepsis, where the infection causes a dangerous full-body inflammatory response.
- Swelling that Impairs Vision or Eye Movement: Indicates the infection is spreading into dangerous facial spaces.
If you experience any of these, go to an emergency room or an emergency dental clinic immediately. Do not pass go. Do not wait until morning.
Periapical Abscess Symptoms vs. Other Dental Pains: A Quick Comparison
Not every toothache is an abscess. Here’s how to tell the difference. I find a table cuts through the confusion faster than paragraphs of text.
| Condition | Main Pain Characteristics | Key Visual/Tactile Signs | Response to Temperature |
|---|---|---|---|
| Periapical Abscess | Intense, throbbing, persistent, worsens with biting/pressure, may radiate. | Gum boil (pimple), facial swelling, tooth may feel loose or elevated. | Heat causes severe, lingering pain. Cold may temporarily relieve. |
| Periodontal (Gum) Abscess | More of a sharp, localized gum pain. Tooth itself may not hurt as much. | Red, shiny swelling on the gum beside the tooth, not at the root tip. Often associated with deep gum pockets. | Usually not sensitive to temperature unless the tooth is also involved. |
| Reversible Pulpitis (Early Cavity) | Short, sharp zing to cold/sweet that goes away quickly (within seconds). | May have a visible cavity or filling. No swelling. | Cold causes brief, sharp pain. Heat typically does not. |
| Dentin Hypersensitivity | Quick, sharp shock to cold, air, sweet, or acidic foods. Very brief. | Gum recession exposing tooth roots. Worn enamel. No swelling. | Cold/trigger causes instant pain that stops when trigger is removed. |
| Sinus Pressure | Dull, aching pressure often felt in multiple upper back teeth on both sides. Worse when bending over. | No localized tooth or gum signs. May have nasal congestion, headache. | No specific tooth temperature sensitivity. |
See the pattern? The combination of spontaneous throbbing pain, sensitivity to heat, and a gum bump or swelling is the classic triad for a periapical abscess. If you're ticking those boxes, it's time to act.
What Happens If You Ignore Periapical Abscess Symptoms?
This is the scary part they don't always emphasize enough. An abscess is not a self-limiting problem. It won't just "get better" on its own. The infection is like a fire at the root of your tooth. If you don't put it out, it spreads.
- The Infection Spreads Locally: It can eat away more jawbone, creating a larger cavity (a periapical lesion or cyst). It can spread to adjacent teeth. It can tunnel through bone and soft tissue, causing a cellulitis (a diffuse, painful swelling) or a more defined abscess in your cheek, under your tongue, or in other facial spaces.
- Tooth Loss: Eventually, so much bone support is destroyed that the tooth becomes hopelessly loose and must be extracted.
- Systemic Infection: Bacteria can enter your bloodstream. This can lead to bacteremia, sepsis, or even infections in other parts of your body like your heart (endocarditis) or brain. This is rare but serious.
- Chronic Drainage and Discomfort: The abscess may establish a permanent draining sinus tract. You'll have a recurring pimple on your gum that leaks pus and bad taste into your mouth. Not pleasant, and it means your immune system is constantly fighting a battle it can't win.
Ignoring it is a gamble with very bad odds.
From Symptoms to Solution: What Does Treatment Involve?
Okay, so you've identified the likely symptoms of a periapical abscess. What next? The goal of treatment is to remove the source of the infection: the bacteria inside the tooth's root canal system.
- Drainage: The first step is often to relieve the pressure and pain by draining the abscess. This can be done through the tooth itself (by opening it up) or by making a small incision in the gum if there's a fluctuant swelling.
- Root Canal Treatment (RCT): This is the standard, tooth-saving procedure. The dentist or endodontist (root canal specialist) removes the infected or dead pulp tissue, meticulously cleans and disinfects the inside of the root canals, and then fills and seals them. According to the American Association of Endodontists, root canal treatment has a very high success rate and allows you to keep your natural tooth. The abscess at the root tip will typically heal over months as the bone regenerates.
- Antibiotics: These are a support treatment, not a cure. They help control the spread of infection, especially if there's fever or swelling, but they cannot penetrate the necrotic tissue inside the tooth or the abscess sac effectively. The definitive cure is physically removing the source via RCT or extraction.
- Tooth Extraction: If the tooth is too broken down to be saved, or if the infection is severe and the patient's health is compromised, extraction may be the recommended option. The abscess will drain and heal once the tooth (the source) is removed.
Can You Prevent a Periapical Abscess?
Absolutely. Since the most common cause is bacteria from decay reaching the pulp, prevention is all about keeping your teeth intact and healthy.
- Impeccable Oral Hygiene: Brushing twice daily with fluoride toothpaste and flossing once a day is your first and best defense. It prevents the cavities that start this whole chain reaction.
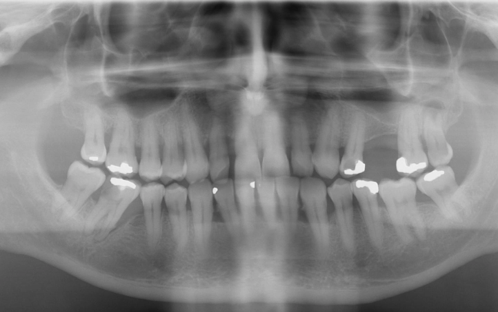
- Regular Dental Check-ups and X-rays: Your dentist can spot a deep cavity or a crack before it reaches the pulp. They can also see early signs of a chronic, asymptomatic abscess on an X-ray (a dark spot at the root tip) and treat it before it becomes painful. The American Dental Association stresses the importance of these regular visits for preventive care.
- Treat Cavities Promptly: Don't wait for a small cavity to become a deep one. Get fillings done when they're recommended.
- Wear a Mouthguard: If you grind your teeth (bruxism) or play contact sports, protect your teeth from cracks and trauma.
- Address Dental Trauma Immediately: If you chip or knock a tooth, see a dentist even if it doesn't hurt. The nerve can be damaged and die quietly, leading to an abscess months or years later.
It sounds basic, but it works. My friend with the golf-ball cheek? He's now a religious flosser and never misses a check-up. Lesson learned the hard way.
Your Questions on Periapical Abscess Symptoms, Answered
Let's tackle some of the specific, gritty questions people actually type into Google.
How long do periapical abscess symptoms last before they get really bad?
There's no set timeline. It can be days, weeks, or even months. A fast-moving acute infection can cause severe pain and swelling within 24-48 hours. A chronic, low-grade infection might cause intermittent mild symptoms (like that recurring gum pimple) for years. The takeaway: the duration of symptoms doesn't indicate severity. Any symptom warrants a dental visit.
Can a periapical abscess go away on its own?
No. The infection might become dormant or walled off (chronic), and the acute pain may subside if it drains, but the bacterial source inside the tooth remains. It's a ticking time bomb. It will almost certainly flare up again, often at the worst possible time.
Are there any home remedies for the symptoms?
You can manage symptoms temporarily with OTC pain relievers and cold compresses. Some people find gentle saltwater rinses (1/2 tsp salt in 8 oz warm water) soothing for gum irritation. But let me be blunt: There is no home remedy that can cure a periapical abscess. You cannot rinse or wish away an infection that is inside your tooth and bone. These measures are for comfort until you get professional treatment.
What does the pus from a gum boil taste like?
It's a metallic, salty, or just overwhelmingly foul taste. It's unmistakable and unpleasant. If you're tasting this, it's a clear sign of active drainage from an infection.
Will antibiotics cure my tooth abscess?
This is a huge misconception. Antibiotics will help control the spreading infection in the surrounding tissues, which is why they are prescribed for systemic symptoms (fever, swelling). However, they have very poor penetration into the necrotic pulp tissue and the abscess sac. They reduce the army of bacteria but don't remove their headquarters. The infection will almost always come back once the antibiotic course ends unless the tooth is treated with a root canal or extraction.
Can I get a periapical abscess under a crown or a filling?
Absolutely. If decay gets under an old crown or at the edge of a large filling, it can reach the pulp. Also, if a tooth that had a root canal gets re-infected (due to new decay, a crack, or an incomplete initial treatment), it can develop a new abscess. This is called a "failed root canal" and may require retreatment or surgery.
Leave a Reply