Quick Navigation
Let's be honest, most of us ignore little things in our mouths until they scream at us. A tiny sore on the gum? Maybe it's from brushing too hard. A weird bump that comes and goes? Probably nothing. But here's the thing I've learned the hard way – your mouth doesn't do "probably nothing." That little bump, especially if it's near a tooth that's been quietly bothering you, could be your body's very dramatic way of waving a red flag. It might be a periapical abscess with sinus. Sounds medical and scary, right? It is serious, but it's also very fixable if you know what you're dealing with.
I'm not a dentist, but I've spent a lot of time talking to them and reading up after my own dental scare (more on that later). This guide is for anyone who's googling "bump on gum near tooth" or "gum boil" in a panic at 2 AM. We're going to break down exactly what a periapical abscess with a sinus tract is, why it happens, and most importantly, what you can actually do about it. Forget the vague advice; we're getting into the nitty-gritty.
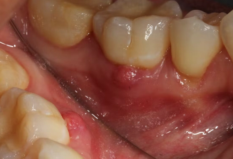
The Core Idea: A periapical abscess with sinus is a pocket of pus at the tip of a tooth's root, caused by a bacterial infection inside the tooth. The "sinus" or "sinus tract" is a tiny tunnel your body creates to drain that pus out, usually appearing as a pimple-like bump on your gums. It's not a sinus like in your nose. It's a drainage pipe for an infection.
What Does a Periapical Abscess with Sinus Look and Feel Like?
You can't always feel the abscess itself because it's buried in your jawbone. But the sinus tract? That's the visible or palpable clue. Here's what people typically notice:
- A Recurring "Pimple" on the Gums: This is the hallmark. It's a small bump, often red or yellow-ish at the tip. It might burst and release a bad-tasting, salty fluid (that's the pus), then seem to heal, only to come back days or weeks later. This cycle is a dead giveaway.
- Toothache That Comes and Goes: The pain might not be constant. You might feel a dull ache, or a sharp pain when you bite down on that tooth. Sometimes, the tooth even feels "high" compared to the others.
- Previous Dental Work or Trauma: The tooth involved often has a large filling, a crown, or a history of being chipped or knocked. Sometimes, there's no obvious damage, which is tricky.
- Generally Feeling Unwell: In some cases, especially if the drainage stops, you might get a low-grade fever, swollen lymph nodes under your jaw, or just feel run down. Your body is fighting an infection.
The weirdest part for many is the lack of severe, constant pain. Because the sinus tract provides an escape route for the pressure, the intense throbbing pain of a classic, trapped abscess might be absent. This fools people into thinking it's not urgent. That's a dangerous mistake.
Listen up: No pain doesn't mean no problem. The infection is still there, silently eating away at the bone supporting your tooth. Ignoring a dental sinus tract is like ignoring a slowly leaking pipe in your house because the basement drain is handling it… for now. Eventually, the foundation gets damaged.
Why Does This Happen? The Root of the Problem (Literally)
To understand the periapical abscess with sinus, you need to know a bit about tooth anatomy. Inside every tooth, under the hard enamel and dentin, is a soft space called the pulp. It contains nerves, blood vessels, and connective tissue.
Bacteria get into this pulp chamber through a few main highways:
- Deep Decay: A cavity that's been left unchecked, drilling its way through the enamel and dentin until it reaches the pulp.
- Cracked or Broken Tooth: A physical breach, even a hairline crack, can let bacteria waltz right in.
- Failed Dental Work: An old filling or crown that leaks over time, or a tooth that had a trauma years ago where the nerve died slowly without you realizing it.
Once the bacteria invade the pulp, they cause an infection (pulpitis). This infection eventually kills the pulp tissue and moves out through the tiny hole at the root tip (the apex), into the surrounding bone. That's where it sets up camp as a periapical abscess.
Your body's immune system attacks this infection, creating pus—a mix of dead white blood cells, bacteria, and tissue debris. Pressure builds up in the bone. Ouch. To relieve that pressure, your body does something clever and destructive: it creates a new pathway. It dissolves a tiny channel through the bone and gum tissue to the surface. Voilà, a sinus tract is born. The pus drains, pressure drops, pain lessens. The infection, however, remains at the source.
How Do Dentists Diagnose This?
You might walk in pointing at the bump. A good dentist will start by asking about your symptoms and history with that tooth. Then comes the detective work:
- Clinical Tests: They'll gently tap (percuss) the suspected tooth and neighboring ones. An infected tooth is often tender to tapping. They might also test its reaction to hot and cold (though a dead nerve won't react at all).
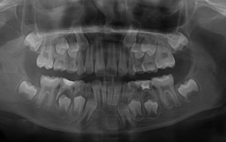
- The Gutta-Percha Test: This is a classic move. The dentist might take a very thin, flexible point (called a gutta-percha point) and gently insert it into the opening of the sinus tract. Then they take an X-ray. The point will often show up on the X-ray tracing a path directly to the culprit root tip. It's like following a road map to the problem.
- The X-ray (Radiograph): This is crucial. A standard dental X-ray might show a dark area around the root tip of the tooth. This is the bone loss caused by the infection. It looks like a shadow or a halo. Sometimes, the sinus tract itself is visible as a faint dark line. For complex cases, a 3D cone-beam CT scan might be used to see the exact size and location of the abscess and bone damage.
Putting all this together—the bump, the tooth history, the clinical tests, and the X-ray evidence—confirms a diagnosis of a chronic periapical abscess with a draining sinus.
So the bump is just the symptom. The infected, dead nerve inside the tooth is the disease.
Treatment: How Do You Fix a Periapical Abscess with Sinus?
Here's the absolute key point that every source should scream: You cannot cure this by treating the bump alone. Putting ointment on it, rinsing with salt water, or popping it like a pimple does nothing to address the source of the infection inside your tooth. The sinus tract will keep coming back until the root canal system is cleaned out.
The goal of treatment is to eliminate the bacteria from inside the tooth and seal it off from the body. You have two main options, and the choice isn't always yours.
Root Canal Treatment (The Tooth-Saving Gold Standard)
This is usually the first and best option if the tooth is salvageable. Don't let the horror stories scare you; modern root canals are typically no worse than getting a deep filling.
- Access: The dentist makes a small opening in the top of the tooth.
- Cleaning and Shaping: Using tiny files, they remove the infected/dead pulp tissue from the pulp chamber and root canals. They flush the space repeatedly with antibacterial solutions (like sodium hypochlorite) to kill germs. This step is what actually addresses the cause of your periapical abscess with sinus.
- Filling and Sealing: The now-empty, clean canals are filled with a rubber-like material called gutta-percha and sealed with a cement. This prevents new bacteria from entering.
- Restoration: Because the tooth becomes more brittle, it usually needs a crown to protect it and restore full function.
What's amazing is that once the root canal is properly cleaned and sealed, the infection at the root tip has no fuel supply. Your body's immune system can finally heal the area. The bone slowly regenerates over months, and the sinus tract closes up on its own for good. The American Association of Endodontists has a great, patient-friendly resource on what to expect during root canal treatment that demystifies the process.
I had a root canal on a molar that had a tiny, recurring bump. The worst part was the anticipation. The procedure itself was just… boring. Lots of lying there, hearing faint drilling, no pain. The relief of knowing the source of the low-grade infection was gone was worth every penny. And yes, the bump vanished and never returned.
Tooth Extraction (When Saving Isn't an Option)
Sometimes, the tooth is too far gone. Maybe the crack extends too far down the root, the decay is too massive, or there isn't enough solid tooth left to support a restoration. In these cases, removing the tooth is the only way to eliminate the infection.
After an extraction, the socket heals. The source of the periapical abscess is literally gone, so the sinus tract will heal. You'll then need to discuss replacement options (implant, bridge, partial denture) to prevent other teeth from shifting.
What About Antibiotics and Draining It?
This is where I see a lot of confusion. Let's be clear.
- Antibiotics Alone Are NOT a Cure. They can't penetrate the dead tissue inside the tooth root to kill the bacteria there. Dentists might prescribe a short course of antibiotics if the infection is severe, has spread (facial swelling, fever), or for a medically compromised patient. But they are always an adjunct to definitive treatment (root canal or extraction), not the treatment itself. The American Dental Association provides guidelines on antibiotic use, emphasizing this precise point to combat antibiotic resistance.
- Incision and Drainage (I&D): If there's a large, painful, swollen collection of pus (a cellulitis), the dentist might make a small cut in the gum to let it drain for immediate pain relief. This is a temporary measure. It's like popping the big blister of pressure but not fixing the leaky pipe causing it. You still need the root canal or extraction.
Here’s a quick table to visualize the treatment paths:
| Treatment | What It Does | When It's Used | Goal for the Sinus Tract |
|---|---|---|---|
| Root Canal Therapy | Removes infected pulp, cleans/seals the interior of the tooth. | Tooth is structurally sound enough to save. | Heals and disappears once internal infection is removed. |
| Tooth Extraction | Removes the entire source of the infection (the tooth). | Tooth is too damaged, cracked, or decayed to save. | Heals and disappears once the tooth is gone. |
| Antibiotics | Reduces systemic spread and severe swelling. | As a temporary support before definitive treatment, or for severe spreading infections. | Will not make it go away permanently. |
| Incision & Drainage | Provides immediate pain relief by releasing built-up pus. | For acute, painful swelling alongside definitive treatment. | Temporarily relieves pressure; will recur without definitive treatment. |
What to Expect After Treatment and How to Prevent It
Recovery and Aftercare
After a root canal, you might have some mild tenderness for a few days, easily managed with over-the-counter pain relievers. The sinus tract should close within days to a couple of weeks. The bone healing takes months and will be checked on follow-up X-rays.
After an extraction, you'll follow standard socket care instructions: gentle rinsing, avoiding straws, eating soft foods.
Top 3 Aftercare Must-Dos: 1) Take any prescribed medications as directed. 2) Stick to softer foods for a few days to avoid pressure. 3) Maintain gentle but good oral hygiene around the area to keep it clean.
Can You Prevent a Periapical Abscess with Sinus?
Absolutely, in most cases. It boils down to basic, non-negotiable dental care:
- Fight Cavities: Brush twice daily with fluoride toothpaste, floss every day. This prevents the deep decay that starts the whole process.
- Wear a Mouthguard: If you play sports or grind your teeth at night (bruxism), protect your teeth from cracks.
- See Your Dentist Regularly: Those check-ups and cleanings aren't a scam. They catch small problems—a tiny cavity, a hairline crack, a failing old filling—before they become a painful periapical abscess.
- Don't Ignore Toothaches: A tooth that hurts is talking to you. Listen to it sooner rather than later.
The Mayo Clinic's overview on tooth abscesses reinforces this preventive message clearly.
Your Burning Questions Answered (FAQs)
Let's tackle the stuff people are secretly searching for.
Can a periapical abscess with sinus heal on its own?
No. The sinus tract might close temporarily if drainage stops, but the infection at the root tip is still active and will likely flare up again, possibly more severely. The body cannot repair the dead tissue inside the tooth root.
Is it dangerous to leave it untreated?
Yes, potentially very dangerous. The infection can spread into your jawbone (osteomyelitis), into your soft facial tissues (cellulitis, Ludwig's Angina—a serious neck infection), or even into your bloodstream (sepsis). The bone loss around the tooth will also continue, potentially making the tooth unsalvageable.
How long can you have a dental sinus tract?
Months or even years. It becomes a chronic, low-grade infection. I've heard stories of people having a recurring "gum pimple" for over a year because it wasn't painful. This is terrible for your overall health and the bone supporting the tooth.
Can antibiotics cure it without a root canal?
I feel like I need to shout this from the rooftops: NO. Antibiotics cannot reach the bacteria locked inside the necrotic pulp and root canal system. They only help with spreading symptoms. Relying on antibiotics alone is like putting a band-aid on a deep, dirty wound that needs stitches.
What's the difference between this and a gum (periodontal) abscess?
Great question. A periapical abscess with sinus starts inside the tooth (endodontic). A periodontal abscess starts in the gum pocket beside the tooth, usually due to advanced gum disease. The treatment is completely different (deep cleaning vs. root canal). A dentist can tell the difference with tests and X-rays.
Is the treatment expensive? What if I don't have insurance?
Let's be real, dental care costs sting. A root canal and crown are a significant investment. An extraction is less expensive upfront but has long-term costs for replacement. Many dental schools offer reduced-cost treatment, and some dentists have payment plans. Call around, explain your situation. Treating it is almost always cheaper than dealing with the complications of leaving it, both health-wise and financially. The pain and risk aren't worth saving the money.
The bottom line? That little bump is a message. Don't just shoot the messenger—fix the problem it's telling you about.
If you take away one thing from this, let it be this: A periapical abscess with a draining sinus tract is a clear sign of a chronic dental infection that requires professional intervention. It won't go away with wishful thinking or home remedies. The good news is that dentistry has excellent, predictable ways to treat it and save your tooth. The first and most important step is picking up the phone and making an appointment with your dentist. Get it checked, get a diagnosis, and get a plan. Your future self—with a healthy, pain-free mouth—will thank you for it.
Leave a Reply