Navigating This Article
Let's talk about something that lives in our mouths. No, not that embarrassing piece of spinach from lunch. I'm talking about bacteria, specifically one called Eubacterium gingivalis, or E-gingivalis for short. If you're here, you've probably heard it's not the friendliest guest at the oral microbiome party, and you're wondering how it gets around. How is E-gingivalis transmitted from one person to another, or even from one part of your mouth to another? It's a great question, and honestly, the answers aren't always what people expect.
I remember a patient once asked me, "Is it like catching a cold?" That got me thinking about how we discuss these things. We often treat oral bacteria as this separate, mysterious world, but their transmission is a part of daily life. So let's break it down without the jargon overload. This isn't about scaring you; it's about giving you the clear, practical info you need to understand your own health better. The main thing to know right off the bat is that how E-gingivalis is transmitted usually involves close personal contact and shared environments, but it's not a simple one-path story.
Quick Take: E-gingivalis is a bacterium strongly associated with periodontal (gum) disease. It's considered a "keystone pathogen," meaning its presence can shift the entire balance of your mouth's ecosystem towards inflammation and disease. Understanding its transmission is key to prevention.
The Primary Routes: How Does E-gingivalis Actually Spread?
When researchers look at how E-gingivalis is transmitted, they see a few clear patterns. It's not airborne like the flu virus. Instead, it needs a more direct ticket to travel. Think of it as a hitchhiker that needs a specific ride.
Direct Contact and Saliva Exchange
This is the big one. Saliva is like a bustling subway system for oral bacteria. Activities that involve swapping saliva are the most efficient way for E-gingivalis to find a new home.
- Kissing (especially deep kissing): This is the most intimate and effective transmission route. Studies have shown that couples in long-term relationships often share similar oral microbiomes, including the not-so-good bacteria. If one partner has significant levels of E-gingivalis, it's highly likely to be passed to the other.
- Sharing Utensils, Cups, or Straws: That quick sip from your friend's water bottle or tasting a bite from their fork isn't just sharing a drink or food—you're sharing microbial passengers. It's a less efficient route than direct mouth-to-mouth contact, but it's a common one, especially within families.
- Sharing Toothbrushes: This is a major no-no, but it happens more than you'd think (roommates, forgetful family members). A toothbrush is a perfect, moist vehicle covered in a person's unique bacterial profile. Sharing one is essentially asking for a direct bacterial transplant.
I've seen families where everyone's toothbrushes are in one cup, touching each other. It makes me cringe a little. Even just the bristles touching can transfer bacteria. It's such a simple hygiene habit to fix that can have a real impact.
Vertical Transmission (Parent to Child)
This is a fascinating and critical area. A baby is born with a mostly clean oral slate. So, how is E-gingivalis transmitted to them? Almost exclusively from their primary caregivers, usually the mother.
- Pre-chewing Food: A practice common in some cultures, where a parent chews food to soften it before giving it to the baby.
- Testing Food Temperature with the same spoon.
- Cleaning a Pacifier by putting it in the parent's mouth.
- Kisses on the mouth.
The research is pretty clear on this. A landmark study published in the Journal of Periodontology found a strong correlation between the oral bacterial profiles of mothers and their children. You can check out the principles of microbial transmission in families through resources from the CDC's Oral Health division, which discusses how oral bacteria can be shared.
Indirect Environmental Contact (The Lesser-Known Route)
This one is trickier and often debated, but it's worth mentioning. E-gingivalis, like many bacteria, can survive for a period outside the mouth on surfaces.
The risk here is much lower than direct saliva exchange, but it's not zero. Think about a bathroom sink where someone with active gum disease spits after brushing. Micro-droplets containing bacteria can contaminate the faucet, counter, or towel. If someone else touches that surface and then their mouth... you see the potential chain. However, for transmission to actually occur this way, a significant number of viable bacteria need to make the entire journey, which is less likely. Good general hygiene, like cleaning bathroom surfaces regularly, mostly takes care of this.
Factors That Turn Transmission into Colonization
Here's the crucial part that many guides miss. Just because E-gingivalis is transmitted to a new mouth doesn't mean it will successfully set up shop and cause problems. Transmission is the delivery; colonization is the successful move-in. Your mouth's environment decides if the bacteria gets a welcome mat or is shown the door.
| Risk Factor | How It Helps E-gingivalis Colonize | Your Level of Control |
|---|---|---|
| Poor Oral Hygiene | Allows plaque (a bacterial biofilm) to build up. This biofilm is a protective city for bacteria like E-gingivalis, sheltering them from saliva and brushing. | High. This is the #1 factor you can control. |
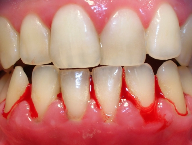
| Pre-existing Gum Inflammation (Gingivitis) | Creates bleeding gums and pockets between teeth and gums. This provides a perfect, low-oxygen environment (perfect for E-gingivalis) and nutrients in the form of inflammatory fluids. | High. Treating gingivitis removes the welcome sign. |
| Smoking | Damages gum tissue, reduces blood flow (impairing immune response), and alters the types of bacteria that can survive, often favoring pathogens. | High. Quitting is the single best health decision. |
| Compromised Immune System | Your body's natural defenses, which usually keep bacterial populations in check, are weakened. This can be due to illness, extreme stress, or certain medications. | Variable. Managing underlying conditions is key. |
| Diet High in Sugar/Refined Carbs | Provides easy food for many acid-producing bacteria. While E-gingivalis itself has different preferences, this acidic environment can harm beneficial bacteria and indirectly help pathogens. | High. Diet directly shapes your microbiome. |
| Genetic Predisposition | Some people naturally have a more aggressive inflammatory response to plaque bacteria, which can ironically create a more damaging environment that favors pathogens. | Low. You can't change genes, but you can manage the response through superb hygiene. |
See the pattern? How E-gingivalis is transmitted gets it in the door, but a unhealthy oral environment is what rolls out the red carpet for it. A person with excellent oral health might be exposed to the bacteria and their immune system and good bacteria might simply outcompete it. It's a constant micro-war in there.
Breaking the Chain: Practical Prevention Strategies
Knowing how it spreads lets us build a good defense. It's not about living in a bubble; it's about smart, consistent habits.
The Daily Non-Negotiables
- Brushing Twice Daily (Properly): Two minutes, with a fluoride toothpaste. Angle the brush towards the gumline. An electric toothbrush can be a game-changer for many people.
- Flossing or Using Interdental Brushes Every Day: This is non-negotiable. Brushing only cleans about 60% of tooth surfaces. You must clean between teeth to disrupt the biofilm where E-gingivalis and friends love to hide. If you hate floss, try a water flosser or those little interdental brushes.
- Don't Share Personal Oral Items: Your toothbrush, floss picks, and even lip balm should be for your use only. Make this a firm household rule.
Smart Social & Family Habits
You don't have to be antisocial, just mindful.
- Be aware of saliva-sharing habits with partners, especially if one of you is being treated for active gum disease. It's a sensitive topic, but open communication about health is important.
- Avoid pre-chewing food for infants or cleaning pacifiers with your mouth. Use separate utensils to test their food's temperature.
- At parties, if you put down your cup, maybe don't pick it up again later, or use a marker to identify it. Simple stuff.
Professional Care is Your Safety Net
Regular dental cleanings (prophylaxis) are not just about shiny teeth. A hygienist can remove hardened plaque (tartar or calculus) that you cannot remove at home. This tartar is a bacterial fortress. Removing it regularly resets the playing field in your favor. If you have signs of gum disease (bleeding, redness, puffiness), a deeper cleaning called scaling and root planing might be necessary to remove bacteria from under the gums. The American Academy of Periodontology has excellent patient resources on what these treatments involve and why they work.
A Common Mistake: People often think that if their teeth don't hurt, they don't need a dentist. Gum disease is famously sneaky and often painless in its early and moderate stages. Bleeding when you brush or floss is NOT normal—it's the most common early warning sign. Don't ignore it.
Frequently Asked Questions (The Stuff You Actually Search For)
Can I get E-gingivalis from kissing someone once?
It's possible, but one kiss is a low bacterial "dose." Your mouth's defenses likely handle it. The real risk is repeated exposure over time with a partner who has a high bacterial load from untreated gum disease. Chronic exposure increases the odds of successful colonization.
If my partner has gum disease, should we stop kissing?
That's a drastic and unhappy solution. The better approach is for your partner to seek treatment. Effective periodontal treatment significantly reduces the number of pathogenic bacteria in their mouth, lowering the risk of transmission. Support them in getting care—it's better for both of your health.
How is E-gingivalis transmitted within my own mouth?
Ah, an excellent question! This is called endogenous transmission. From one tooth site to another. It happens via the saliva flow itself, or when you chew or move your tongue, bacteria in the saliva can lodge in new plaque deposits elsewhere. This is why controlling plaque everywhere is so important—you're containing the spread.
Can pets transmit oral bacteria to humans?
There's very little evidence that the specific bacteria causing human periodontal disease, like E-gingivalis, are zoonotic (transmissible from animals to humans). Our oral microbiomes are quite species-specific. However, pets can have their own oral bacteria that cause problems for them! Letting a dog lick your mouth isn't hygienic for many other reasons, but human periodontal disease likely isn't one of them.
Does using mouthwash prevent transmission?
Certain therapeutic mouthwashes (like those containing chlorhexidine or essential oils like cetylpyridinium chloride) can temporarily reduce the overall bacterial load in your saliva. This might theoretically lower the "dose" you could transmit to someone else for a short period. However, mouthwash is a supplement, not a replacement, for mechanical cleaning (brushing and flossing). It cannot reach bacteria deep within established plaque or under the gums. Don't rely on it as a primary prevention for how E-gingivalis is transmitted.
The Bigger Picture: Why Does This Even Matter?
You might wonder why we're obsessing over one type of mouth bacteria. It's because the health of your gums is a window to your overall health. Chronic inflammation from gum disease, driven by bacteria like E-gingivalis, isn't contained to your mouth. It's linked to increased risks for cardiovascular disease, diabetes complications, rheumatoid arthritis, and even adverse pregnancy outcomes. It's systemic.
So, understanding how E-gingivalis is transmitted isn't just about avoiding cavities or bad breath. It's a core part of managing a chronic inflammatory condition. By controlling the transmission and growth of these pathogens, you're not just saving your teeth—you're making a proactive investment in your long-term, whole-body health. The science behind this oral-systemic link is robust and continually growing, as outlined in many reviews accessible through reputable sources like the National Institute of Dental and Craniofacial Research (NIDCR).
When I explain this to patients, I see the lightbulb go on. It shifts oral care from a chore about aesthetics to a meaningful part of self-care. That mindset change is everything. It's what leads to consistent, effective habits that actually work.
Look, the bottom line is this: E-gingivalis is a communicable oral pathogen. Its main transmission routes are through intimate saliva contact and shared items. But knowledge is power. You now know exactly what those routes are. More importantly, you know that the ultimate power lies in the environment of your own mouth. By committing to impeccable daily hygiene, regular professional care, and being just a little mindful about sharing, you build a fortress that is very, very hard for unwanted bacterial guests to breach. You control the narrative on how E-gingivalis is transmitted and whether it gets to stay. Start with your next brush and floss.