Quick Guide
- So, What Exactly Are These Red Spots on Gums Near Teeth?
- The Top Causes of Red Spots on Gums Near a Tooth: A Detailed Breakdown
- When Should You Actually Worry? Your Action Checklist
- What Will the Dentist Do? The Diagnosis Process
- Treatment Options: From Simple to Complex
- Your At-Home Defense Plan: Preventing Red Spots from Coming Back
- Common Questions Answered (Stuff You're Probably Googling)
You're brushing your teeth, minding your own business, when you see it. A red spot on your gum, right there near one tooth. It wasn't there yesterday. Or maybe it was, but you're just now noticing it. Your mind starts racing. Is it cancer? Is the tooth infected? Did you brush too hard?
Take a breath. I've been there. The sudden panic is real. The good news is, most of the time, a red spot on the gums near a tooth is not a medical emergency. But—and this is a big but—it's your body's way of waving a little red flag (literally) to get your attention. Ignoring it is rarely a good idea.
This guide is going to walk you through everything. We'll break down the possible causes, from the totally harmless to the "you-need-to-see-a-dentist-tomorrow" serious. I'll share some insights from my own dental misadventures and give you a clear, step-by-step idea of what to do. No scare tactics, just straight talk.
So, What Exactly Are These Red Spots on Gums Near Teeth?
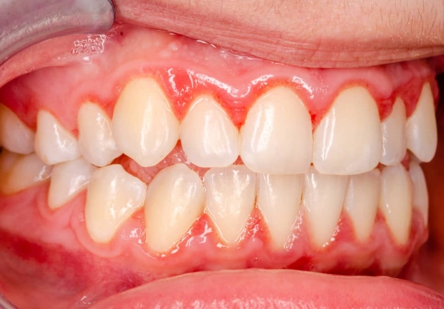
Medically, a red spot is a sign of inflammation. Your gum tissue, which is normally a nice, firm pink color (what dentists call "coral pink"), has become irritated. Blood vessels in the area dilate, bringing more blood and immune cells to fight whatever the problem is. That's what creates the redness. Sometimes it's just a dot; other times it's a larger patch. It might be flat or slightly raised. It might bleed when you brush, or it might just sit there, looking ominous.
The key is the location: near a tooth. That tells us the issue is likely localized, tied to that specific tooth or the immediate area around it. It's different from generalized gum redness, which points to a broader problem.
Here's a quick list of what that red spot could be shouting at you:
- Hey, there's plaque here you missed! (The most common culprit)
- Something is physically irritating me! (Like a sharp piece of food or a rough filling)
- I'm reacting to a chemical! (From a new toothpaste or mouthwash)
- There's an infection starting! (From the tooth or deep in the gum pocket)
- Something more unusual is going on. (Less common, but possible)
The Top Causes of Red Spots on Gums Near a Tooth: A Detailed Breakdown
Let's dive into each possibility. I've ranked these roughly from most common to less common, based on what dental professionals see every day.
Gingivitis: The Usual Suspect
If I had to bet money on one cause, it would be gingivitis. It's the early stage of gum disease, and it's incredibly common. The American Dental Association (ADA) states that gingivitis is caused by the buildup of plaque, a sticky film of bacteria, on teeth and gums. When plaque isn't removed effectively, it irritates the gumline.
What happens? The gums become inflamed. They turn red, swell up a bit, and bleed easily—like when you floss or brush. You might see a distinct red spot or line along the gum near a particular tooth if plaque has built up more there, maybe because the tooth is crooked or harder to clean.
The great news about gingivitis? It's completely reversible with good oral hygiene. No permanent damage done.
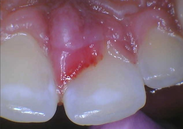
A Localized Infection or Abscess
This is where things get more serious. An abscess is a pocket of pus caused by a bacterial infection. There are two main types that can cause a red spot on the gum near a tooth:
- Periapical Abscess: This starts inside the tooth (in the pulp) due to untreated decay or a crack. The infection drains out through the root tip and forms a bump (often called a gum boil) on the gum near the root of the tooth. The area is typically very red, swollen, and tender to touch. The tooth itself is often very painful.
- Periodontal Abscess: This starts in the gum pocket itself, the space between the tooth and gum. It's often related to advanced gum disease (periodontitis). Food or debris can get trapped deep in a pocket, leading to a rapid infection. You'll see a red, swollen, painful lump on the gum, and you might even notice pus oozing from it.
A dental abscess requires professional treatment, usually antibiotics and a procedure to drain it and address the source (like a root canal or deep cleaning). This isn't something to wait on.
Physical Trauma or Irritation
Your gums are delicate. Sometimes a red spot on the gum near a tooth is just a bruise or an ulcer caused by something physical.
- Poking with a toothpick or hard floss: Being over-zealous can cause a small injury.
- Scratch from a sharp food: Think tortilla chips, crusty bread, or fish bones.
- Ill-fitting dental work: A crown, filling, or denture that has a rough edge can constantly rub the gum, creating a red, sore spot.
- Brushing too hard: Using a hard-bristled brush or scrubbing like you're cleaning a tile floor can damage gum tissue.
These irritations often look like a raw, red patch or a small ulcer with a white or yellow center (a canker sore). They usually heal on their own in 7-10 days if the source of irritation is removed.
Canker Sores (Aphthous Ulcers)
Almost everyone gets these at some point. They're small, shallow ulcers with a white or yellow center and a bright red border. They can pop up anywhere in the mouth, including on the gums near a tooth. They're painful, especially when eating spicy or acidic foods.
No one knows exactly what causes them, but stress, minor injury, certain foods, or hormonal changes can trigger them. They're not contagious. While annoying, they almost always heal by themselves within one to two weeks.
Less Common (But Important) Causes
It's worth being aware of these, though they are statistically less likely:
- Oral Lichen Planus: An immune system condition that can cause lacy white patches and red, swollen tissues. It often affects the gums.
- Vitamin Deficiencies: Severe deficiencies in Vitamin C (scurvy, though very rare now) or B vitamins can cause gum problems, including redness and bleeding.
- Reaction to Medication: Some drugs, like certain blood pressure medications or anti-seizure drugs, can cause gum overgrowth and inflammation.
- Oral Cancer: I mention this not to scare you, but because it's important. A red or white patch that doesn't go away, a sore that won't heal, or a lump can be signs. The key differentiator is persistence. Most of the causes above come and go or heal. A cancerous lesion persists and grows. The Oral Cancer Foundation provides excellent resources on this.
When Should You Actually Worry? Your Action Checklist
Not every red spot on the gum near a tooth means a sprint to the emergency room. Here’s how to triage the situation.
See a Dentist Within 24-48 Hours If You Have:
- Throbbing, severe pain in the tooth or gum.
- Significant swelling in your gum, cheek, or face.
- A visible bump or pimple on the gum that might be draining pus.
- Fever, chills, or a general feeling of being unwell.
- Difficulty swallowing or breathing (this is an emergency—seek immediate care).
Schedule a Dental Appointment Soon (Within a Week or Two) If:
- The red spot has been present for more than 10-14 days with no sign of improvement.
- It bleeds easily and consistently, not just once.
- You have persistent bad breath or a bad taste in your mouth coming from that area.
- The tooth feels loose or the gum is starting to pull away from the tooth.
- You have a history of gum disease or other health issues like diabetes.
Try At-Home Care First (For 5-7 Days) If:
- The spot is small, not painful, and seems related to a recent minor injury (like a chip scratch).
- You suspect it's a canker sore.
- Your gums are generally a bit red and bleed a little, suggesting mild gingivitis.
What Will the Dentist Do? The Diagnosis Process
Okay, so you've decided to see the dentist. What happens next? Knowing can ease a lot of anxiety.
First, they'll ask you questions: How long has it been there? Does it hurt? Have you changed anything (toothpaste, diet, medication)? Then comes the exam. They'll look closely at the spot and the tooth. They'll gently probe your gums with a special tool to check for pockets and bleeding—this is the periodontal exam. They'll likely tap on the tooth and test it with cold to see if the nerve is healthy.
Almost certainly, they'll take an X-ray of that tooth. This is crucial. An X-ray can show things invisible to the eye: decay between teeth, an infection at the tip of the root, bone loss from gum disease. It's the single most important tool for figuring out what's going on beneath the surface.
Based on all this, they'll give you a diagnosis and a treatment plan.
Treatment Options: From Simple to Complex
Treatment depends entirely on the cause. Here’s a quick-reference table.
| Cause of Red Spot | Typical Treatment | At-Home Care Support |
|---|---|---|
| Gingivitis | Professional dental cleaning (prophylaxis). The hygienist will remove all plaque and tartar. | Improved brushing & flossing technique. Using an antiseptic mouthwash like chlorhexidine (if prescribed). |
| Dental Abscess | 1. Drainage of the abscess. 2. Root canal treatment (to save the tooth) or extraction. 3. Course of antibiotics. | Warm salt water rinses to soothe the area. Taking all prescribed medication as directed. |
| Physical Irritation / Canker Sore | Removal of the irritant (smoothing a rough filling). Dentist may apply a protective paste or prescribe a topical steroid gel for severe canker sores. | Avoid spicy/acidic foods. Use over-the-counter oral gels (e.g., Orajel). Rinse with salt water or baking soda solution. |
| Periodontal Disease | Deep cleaning (scaling and root planing) under local anesthesia to clean under the gums. Possible gum surgery for advanced cases. | Meticulous daily cleaning, possibly with special tools like interdental brushes or a water flosser. More frequent professional cleanings (every 3-4 months). |
Your At-Home Defense Plan: Preventing Red Spots from Coming Back
Once you've dealt with the immediate issue, the goal is to never see that red spot on your gum near a tooth again. Prevention is all about consistent, effective oral hygiene. Let's be real, most of us think we're better at this than we are.
The Foundation:
- Brush correctly, not just hard. Use a soft-bristled brush. Angle it at 45 degrees toward the gumline and use gentle, circular motions. Think massage, not scrub. Do this for two minutes, twice a day.
- Floss every day. Not just when you feel something stuck. Slide the floss up and down the side of each tooth, curving it under the gumline. If you hate string floss, try a water flosser—they're surprisingly effective and feel great.
- Consider your tools. An electric toothbrush with a pressure sensor can be a game-changer for preventing over-brushing injuries. Fluoride toothpaste is your friend for preventing the cavities that can lead to abscesses.
Lifestyle Factors That Matter:
- Diet: Limit sugary and acidic foods and drinks. They feed plaque bacteria and can irritate gums.
- Smoking: Just don't. It's terrible for your gums, drastically increasing your risk of gum disease and slowing healing.
- Stress Management: High stress weakens your immune system and is a common trigger for canker sores. Find what helps you unwind.
Common Questions Answered (Stuff You're Probably Googling)
Can a red spot on the gum go away on its own?
Yes, often it can. If it's from minor trauma or a mild, localized irritation, it might heal in a week or so with good oral care. However, if it's caused by an infection or chronic issue like gingivitis, it won't truly "go away" until the underlying cause is treated. The inflammation might subside slightly, but it will flare up again.
Is a red spot on the gum always a sign of cancer?
Absolutely not. In fact, it's very rarely cancer. Most red spots are due to inflammation, infection, or irritation. The key warning sign for oral cancer is a spot or sore that persists for more than two weeks without healing. If in doubt, get it checked. It's the only way to know for sure and catch any serious issue early when it's most treatable.
I have a red spot and my tooth hurts. What does that mean?
This combination strongly points to a problem with the tooth itself, likely a cavity that has reached the nerve (causing a toothache) and led to an infection at the root tip (causing the red, possibly swollen spot on the gum). This is a classic sign of a periapical abscess. You need to see a dentist promptly.
What's the difference between a red spot from gingivitis and one from an abscess?
Gingivitis redness is usually more generalized along the gumline, though it can be localized. The gum is puffy and bleeds easily, but there's usually no severe, throbbing pain or a distinct, pus-filled lump. An abscess causes a more focused, often painful bump (gum boil), and the associated tooth is frequently very tender to biting or tapping. You might also feel generally unwell.
Are there any home remedies I can try?
For soothing irritation, yes. Warm salt water rinses (1/2 teaspoon salt in a cup of warm water) are excellent for reducing inflammation and keeping the area clean. Do this 2-3 times a day. For canker sores, over-the-counter gels can provide pain relief. But remember: home remedies treat symptoms, not causes. They won't cure an infection or remove hardened tartar.
Final thought: Your mouth is a window to your overall health. A red spot on your gum is a small signal. Sometimes it's just noise, but sometimes it's important information. Pay attention to it, take sensible action, and partner with your dental team to keep your smile—and your health—on track.