Let's be honest. Most of us think we know how to prevent gingivitis. Brush twice a day, floss sometimes, and hope for the best. Then you see a pink streak in the sink, and that little twinge of panic hits. Bleeding gums are your mouth's red alert, its way of screaming that the sticky film of plaque on your teeth is causing inflammation. This is gingivitis, and it's the gateway to more serious gum disease. The good news? It's almost entirely preventable and reversible. But the standard advice often misses the mark. I've seen too many diligent patients still struggle because they're making subtle, costly mistakes in their routine. This guide moves past the basics into the nuanced, actionable strategies that actually work for long-term gingivitis prevention.
Your Gingivitis Prevention Roadmap
- What You're Actually Fighting: The Plaque Problem
- How to Master the Daily Basics (Beyond the Brochure)
- Why Your Tools Matter More Than You Think
- The Hidden Lifestyle Factors That Sabotage Your Gums
- Your Professional Backup Plan: When to See a Dentist
- Gingivitis Prevention Questions You're Too Embarrassed to Ask
What You're Actually Fighting: The Plaque Problem
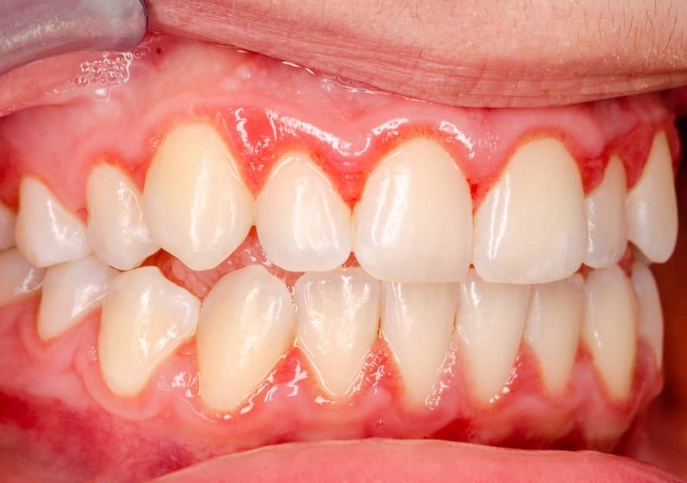
Gingivitis prevention starts with understanding the enemy. Plaque isn't just food debris. It's a living, breathing biofilm—a bustling metropolis of bacteria that forms on your teeth within hours of cleaning. When you skip a proper brushing session, you're giving these bacteria a free pass to throw a party. They produce acids and toxins that irritate your gum line, causing the telltale signs: redness, swelling, and that dreaded bleeding.
The biggest misconception? That tartar (hardened plaque) is the main issue. By the time plaque calcifies into tartar, the damage—gingivitis—is already underway. You can't brush tartar away; it needs a professional dental cleaning. The real goal of daily gingivitis prevention is to never let plaque mature and harden.
Key Takeaway
Think of plaque control as a daily reset button. You're not aiming for sterility (impossible), but for consistent disruption of the bacterial colonies before they organize, multiply, and trigger your body's inflammatory response in your gums.
How to Master the Daily Basics (Beyond the Brochure)
Everyone says "brush and floss." Few explain how in a way that sticks. Here's the breakdown most people miss.
Brushing: It's About Technique, Not Force
Scrubbing your gums raw with a hard brush is a classic error. It recedes gums and doesn't clean better. Use a soft-bristled brush and aim the bristles at a 45-degree angle toward your gum line. Use gentle, short, circular or back-and-forth motions. You're massaging the plaque away, not sandblasting your teeth. Spend at least two minutes, dividing your mouth into four quadrants (30 seconds each). Don't forget your tongue—it's a major plaque reservoir.
Flossing: The Non-Negotiable Step Most People Botch
If you only floss when something's stuck, you're missing the point. Flossing removes plaque from between teeth where brushes can't reach. The correct technique is crucial. Don't just snap the floss down. Gently guide it between teeth, curve it into a C-shape against one tooth, slide it up and down from under the gumline, then curve it around the neighboring tooth and repeat. If your fingers are clumsy, try floss picks or a water flosser to start, but know that traditional floss gives you the best tactile control. The goal is to hear a faint "squeak" against clean enamel.
The Rinse Reality Check
Mouthwash is an adjunct, not a replacement. An antiseptic rinse with cetylpyridinium chloride (CPC) or essential oils can help reduce bacteria. But using a harsh alcohol-based rinse to mask bad breath without proper brushing is like spraying air freshener in a dirty room. For gingivitis prevention, look for the American Dental Association (ADA) Seal of Acceptance on therapeutic rinses.
Why Your Tools Matter More Than You Think
Not all dental care products are created equal. Making smart choices here can make your gingivitis prevention efforts twice as effective.
| Tool | Smart Choice for Prevention | Common Mistake to Avoid |
|---|---|---|
| Toothbrush | Soft-bristled, manual or electric. Electric brushes with oscillating-rotating heads have strong evidence for superior plaque removal. | Using medium/hard bristles. Brushing too aggressively, which damages gums. |
| Toothpaste | Fluoride toothpaste is essential for strengthening enamel. Consider a stannous fluoride formula, which has anti-bacterial properties beneficial for gums. | Using "natural" pastes without fluoride. Abrasive "whitening" pastes used too frequently. |
| Floss | Waxed or unwaxed, whatever you'll use consistently. If spaces are tight, try PTFE (Glide) floss. For wider gaps, interdental brushes are fantastic. | Being inconsistent. Snapping floss, causing gum damage. Assuming a water flosser alone is sufficient (it's great, but best combined with traditional floss). |
| Supplementary Tools | Tongue scraper, rubber-tip stimulator for gum massage, and antimicrobial mouthwash as directed. | Over-relying on gadgets while neglecting core brushing/flossing technique. |
My personal game-changer was an electric toothbrush with a built-in two-minute timer and quadrant pacer. It forced me to slow down and be thorough. Before that, I was probably brushing for 45 seconds on a good day.
The Hidden Lifestyle Factors That Sabotage Your Gums
Your oral hygiene routine can be perfect, but lifestyle choices can undermine everything. This is the gingivitis prevention advice that rarely makes it to the dentist's chair.
Diet: A constant drip-feed of sugary or acidic snacks and drinks is a plaque feast. Bacteria love sugar. Instead of sipping soda all day, have it with a meal and drink water afterward. Crunchy fruits and vegetables (apples, carrots) can help clean surfaces, but they don't replace brushing. Nutrition matters—vitamin C deficiency can worsen gum health.
Smoking and Vaping: This is a major one. Smoking impairs blood flow to the gums, masking the bleeding symptom of gingivitis while dramatically increasing the damage and risk of progression to severe periodontitis. It's a silent accelerator of gum disease.
Stress: High stress increases cortisol levels, which can exacerbate inflammation throughout the body, including your gums. It can also lead to teeth grinding (bruxism), which puts excessive force on teeth and supporting gums.
Medications: Some drugs, like certain antihypertensives or antidepressants, can cause dry mouth. Saliva is nature's mouthwash; it helps neutralize acids and wash away food particles. Less saliva means a higher risk of plaque buildup and gingivitis.
Your Professional Backup Plan: When to See a Dentist
Even the most meticulous home care needs professional reinforcement. Plaque that hardens into tartar is a fortress you can't breach alone. A dental hygienist has the tools and expertise to remove it.
Schedule cleanings at least every six months, or more frequently if your dentist recommends it. This isn't a luxury; it's essential maintenance. During these visits, they can spot early signs of gingivitis you might miss—like slight pocketing around teeth—and give you personalized feedback on your technique.
If you notice persistent bleeding, redness, swelling, or gums that are pulling away from your teeth, don't wait for your next checkup. Make an appointment. Early-stage gingivitis is completely reversible with professional cleaning and improved home care. Letting it linger is the risk.
Gingivitis Prevention Questions You're Too Embarrassed to Ask
Straight Talk on Gingivitis
Can gingivitis go away on its own if I just start brushing better?
The inflammation can decrease with improved hygiene, but any tartar that has formed will remain. Tartar is porous and rough, acting like a scaffold for more plaque to stick to easily. A professional cleaning is needed to remove that foundation. So, while symptoms may lessen, you haven't fully addressed the problem.
I floss every day, but my gums still bleed a little. What am I doing wrong?
First, consistency is key—bleeding often stops after 1-2 weeks of regular, gentle flossing as the inflammation subsides. If it persists, check your technique. Are you snapping the floss and cutting the gums? Or are you gently sliding it down and curving around each tooth? If your technique is good, the bleeding could indicate subgingival plaque (below the gum line) that needs professional attention. Don't stop flossing; it's the bleeding that needs to stop, not the habit.
Is an electric toothbrush really necessary for gingivitis prevention?
Necessary? No. A manual brush used with perfect technique is effective. But for most people, an electric toothbrush (specifically an oscillating-rotating one) acts as a performance enhancer and a coach. It provides consistent motion, often has a pressure sensor to prevent gum damage, and the timer ensures you brush long enough. Studies, including those cited by the American Dental Association, show they reduce plaque and gingivitis more effectively than manual brushing for the average person. It's one of the best investments you can make in your oral health.
My parents have gum disease. Does that mean I'm doomed to get gingivitis?
Genetics can play a role in how your immune system responds to plaque bacteria, potentially making you more susceptible. However, they are not a life sentence. They are a reason to be extra diligent, not fatalistic. Meticulous, daily plaque control is the single most powerful factor within your control. Knowing your family history means you should be more vigilant with your home care and professional cleanings, not that you should give up.
Are natural remedies like oil pulling or salt water rinses effective for prevention?
As a supplement, maybe. As a replacement, absolutely not. Swishing coconut oil (oil pulling) may reduce some bacteria, but it is nowhere near as mechanically or chemically effective as brushing with fluoride toothpaste and flossing. A warm salt water rinse can soothe irritated gums temporarily but does not remove plaque. Relying solely on these methods is a surefire way to let gingivitis take hold. Use them as a comforting add-on if you like, but never as the main event.
Leave a Reply