Let's be honest. The first few days after getting your wisdom teeth out are no picnic. You're swollen, you're eating mashed potatoes for the third day in a row, and talking feels like a chore. Most people expect that. What they don't expect is for things to take a sudden, painful turn for the worse just when they thought they were turning a corner.
And that's exactly where day 7 comes in.
You've made it through the initial throbbing, the bleeding has stopped, and you're starting to feel a bit more human. Then, bam. A deep, throbbing, ear-to-ear pain wakes you up or ruins your afternoon. Your first thought, fueled by a quick internet search, is probably a panicked one: "Do I have a dry socket on day 7 after wisdom teeth removal?"
That question is so common, and the timing so specific, that "Day 7 wisdom teeth removal dry socket" has become a genuine search term for thousands of anxious people. If you're one of them, take a breath. You're in the right place. This isn't meant to scare you—it's meant to arm you with the clearest, most practical information so you know exactly what's happening in your mouth and what to do about it.
I remember a friend of mine went through this exact scenario. He was doing great, even bragging about his easy recovery by day 5. Then on day 7, he called me in a panic, describing a pain that painkillers couldn't touch. It was a classic case, and navigating it was stressful because good, clear info was hard to find. That experience is a big part of why I'm writing this now.
Why Day 7 is Such a Critical Point for Dry Socket
First, let's demystify what a dry socket actually is. The medical term is alveolar osteitis, which sounds fancy but just means "inflamed tooth socket bone." When a tooth is pulled, a blood clot forms in the hole. This clot isn't just a plug; it's a crucial biological bandage and scaffolding. It protects the underlying bone and nerves from food, air, and bacteria, and it provides a framework for new tissue to grow.
A dry socket happens when that clot dissolves, gets dislodged, or fails to form properly in the first place. This leaves the bare bone and nerve endings exposed. Imagine having a deep cut and someone peeling off the scab repeatedly—that's the basic idea, but inside your jawbone. Not pleasant.
So why is day 7 after wisdom teeth removal so often linked with dry socket panic?
- The Normal Pain Timeline is Changing: Surgical pain from the extraction itself typically peaks around days 2-3 and then steadily improves. By day 7, significant pain is *not* the norm. So when new or worsening pain appears, it's a glaring red flag.
- The Clot is Vulnerable: In the first 3-4 days, the clot is organizing and starting to granulate (fill with new tissue). By day 7, it's still fragile but you might be feeling better, leading you to be less careful with eating, drinking, or oral hygiene, potentially disturbing it.
- Delayed Onset is Common: While dry sockets most often appear between days 2 and 5, they can absolutely show up on day 7 or even later. It's a delayed complication, not always an immediate one.
The bottom line? Pain that intensifies or reappears with a vengeance around the one-week mark needs your immediate attention. It's the single biggest sign that something beyond normal healing is going on.
The Day 7 Checklist: Dry Socket vs. Normal Healing
This is the part everyone skips to. Let's break down exactly what to look for. I've put it in a table because side-by-side comparison is the easiest way to see the stark differences.
| Symptom | Normal Healing on Day 7 | Potential Dry Socket on Day 7 |
|---|---|---|
| Pain Level & Pattern | Dull, manageable ache. Clearly improving compared to days 2-3. Easily controlled with prescribed or OTC meds. | Severe, throbbing, radiating pain. Often described as a deep, ear-to-ear ache that may shoot towards the temple or neck. Painkillers provide little to no relief. |
| Pain Timing | Constant low-level discomfort that may spike briefly with activity. | Often starts suddenly and intensifies 2-4 days after extraction, peaking around day 7. May worsen at night. |
| Socket Appearance | Socket is mostly or fully covered by a dark red/brownish, jelly-like clot or early granulation tissue. No visible bone. | Socket looks empty, dry, or may contain a greyish/whitish debris. You might see a glimpse of bare, whitish bone at the bottom. |
| Bad Taste/Smell | Mild, temporary bad taste from healing tissues and gentle rinsing. | Persistent, foul taste and odor coming from the socket that rinsing doesn't eliminate. |
| Other Symptoms | Mild swelling, slight jaw stiffness, all improving. | Pain that radiates extensively, possible swollen lymph nodes in the neck. |
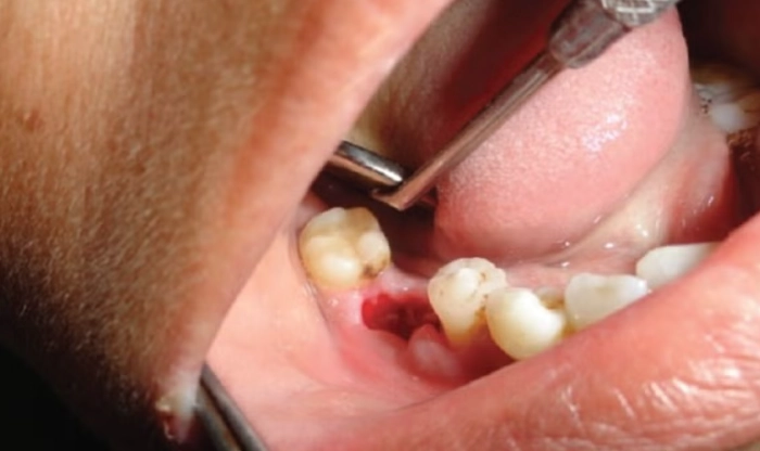
The #1 Red Flag: If you look in the mirror (gently), pull your cheek aside, and see a dry-looking hole where your tooth was, with what looks like bone at the bottom—and this is accompanied by severe pain—you are very likely experiencing a day 7 wisdom teeth removal dry socket. The visual clue combined with the pain is pretty definitive.
Now, a quick personal opinion: I think the term "dry socket" causes unnecessary terror. It makes it sound like a catastrophic failure. In reality, it's a common post-op complication (affecting about 2-5% of all extractions, but up to 30% for impacted lower wisdom teeth, according to general dental literature). It's a setback, not a disaster, and it's treatable.
What You Should Do Right Now (Home Care First Steps)
Okay, you've checked the symptoms and you're worried. Before you spiral, here's your action plan. These steps are for managing your situation until you can see a professional.
First, Don't Panic and Don't Probe! The absolute worst thing you can do is start poking at the socket with your finger, a toothpick, or even your tongue. You'll introduce more bacteria and likely cause more damage. Hands off.
Immediate Pain Management:
- Take your prescribed pain medication as directed, if you have any left. If not, an over-the-counter ibuprofen (Advil, Motrin) is often more effective for this type of inflammatory pain than acetaminophen (Tylenol). You can alternate them as per package instructions, but check with a pharmacist if you have any health conditions. I'm not a doctor, but this is standard advice you'll hear.
- Apply a cold compress to the outside of your cheek, even on day 7. The cold can help reduce inflammation and numb the area slightly. 20 minutes on, 20 minutes off.
Gentle Oral Hygiene:
- You must keep the area clean, but with extreme gentleness. Continue with any saltwater rinses your surgeon recommended (usually 1/2 teaspoon salt in 8 oz warm water). Don't swish vigorously—just tilt your head and let the water flow over the area before spitting gently. No sucking, no spitting with force.
- Brush your other teeth carefully, avoiding the surgical site.
Lifestyle Adjustments:
- Stick to soft, lukewarm foods. Avoid anything crunchy, spicy, hot, or that requires chewing near the site. No straws, no smoking, no vaping. The suction is public enemy #1 for clots.
- Rest. Your body needs energy to heal, even from a complication.
When to Absolutely, Positively Call Your Dentist or Surgeon
This isn't a "maybe later" situation. If you suspect a dry socket on day 7 post-wisdom teeth removal, you need professional help. Home care only manages symptoms; it doesn't fix the problem.
Call your dental office immediately if:
- The pain is severe and not controlled by your medication.
- You see an empty socket or bare bone.
- You have a foul taste/smell plus pain.
- You develop a fever (over 101°F), which could indicate a more serious infection, though dry socket itself is not an infection of pus, but rather a painful inflammation.
Don't feel like you're bothering them. This is a standard post-operative issue they deal with regularly. They will want to see you.
What the Dentist Will Do: The Dry Socket Treatment Process
So you've made the call and you're going in. What happens next? Knowing can ease a lot of anxiety.
The goal of professional treatment is simple: relieve the pain and protect the socket so it can heal from the bottom up. It's not a magic cure, but it works remarkably fast.
- Gentle Cleaning: The dentist or oral surgeon will first gently irrigate the socket with a sterile saline or antimicrobial solution. This washes out any food debris or bacteria that have collected in the empty hole. This part might cause a brief spike in sensitivity but it's quick.
- Medicated Dressing: This is the key step. They will place a special medicated paste or gel onto a small piece of gauze or a pre-formed dressing and insert it into the socket. The medication almost always contains eugenol (from clove oil), which is a fantastic natural analgesic and antiseptic. Some dressings use other soothing and antibacterial compounds.
- Pain Relief: This is the best part. The pain relief is often dramatic and occurs within minutes of the dressing being placed. The medication soothes the exposed nerve endings and the dressing protects them from the elements.
The dressing usually needs to be changed every 1-3 days until the socket has started to heal enough that it's no longer painfully exposed (usually about 5-7 days of treatments). Each change is quicker and less uncomfortable than the last.
It's worth noting that while this treatment is the gold standard and incredibly effective, research is ongoing into other methods. Some studies explore platelet-rich fibrin (PRF) or other biocompatible membranes to aid healing. However, the medicated dressing remains the most common and accessible treatment worldwide for a confirmed case of dry socket after wisdom teeth removal.
Your Roadmap to Recovery After a Day 7 Dry Socket
Alright, you've been treated. Now what? The healing clock doesn't reset to zero, but you do need to be extra diligent.
The First 48 Hours Post-Treatment:
- Pain: You should have significant relief. You may still have a mild ache, which is normal. Use pain meds as needed.
- The Dressing: It might feel weird or bulky. Do not dislodge it. Avoid poking it with your tongue. It may fall out on its own after a couple days—if it does and you're pain-free, you might be okay. If pain returns, call to have it replaced.
- Oral Hygiene: Continue ultra-gentle saltwater rinses after eating. Be careful around the dressing.
- Diet: Stay on soft foods. Think yogurt, smoothies (no straw!), scrambled eggs, mashed avocado.
Long-Term Healing Outlook:
Here's the good news. Once the socket is protected, it will start to heal properly, albeit from a slight delay. The new tissue (granulation tissue) will slowly fill the socket from the bottom over the next 2-4 weeks. Complete healing of the bone underneath takes several months, but you'll be pain-free and functional long before that.
The whole experience can make you feel like you've taken two steps forward and one step back. That's completely normal. Be patient with your body.
Burning Questions Answered (FAQ)
Let's tackle some of the specific, sometimes scary questions that pop up when you're searching about day 7 wisdom teeth removal dry socket.
Can a dry socket heal on its own by day 7?
Technically, yes, eventually it will heal. But the key word is eventually. Without treatment, the exposed bone needs to form a protective layer before tissue can grow, which is an incredibly painful process that can take weeks. Why suffer needlessly? Professional treatment accelerates healing and eliminates pain almost instantly.
I'm on day 7 and my pain is gone, but the socket looks empty. Is that okay?
This is a great question and a common point of confusion. If you have no pain, an empty-looking socket is usually not a problem. By day 7, the initial clot may have dissolved naturally as part of the healing process, and new tissue is forming beneath it. The pain is the primary diagnostic tool. No pain = likely no dry socket, even if the socket appears open.
What's the difference between dry socket and infection?
People mix these up all the time. A dry socket (alveolar osteitis) is a localized inflammation of the bone due to clot loss. It causes severe pain and bad odor, but typically no pus, fever, or significant swelling beyond the initial surgery.
An infection (like a socket infection or cellulitis) is a bacterial invasion. Signs include:
- Throbbing pain (can be similar)
- Fever
- Increased swelling after the initial swelling had gone down
- Red, inflamed gums around the site
- Possibly pus or a foul discharge
- Swollen lymph nodes in the neck
Infections are less common but more serious. They require antibiotics. A dry socket requires the medicated dressing. Sometimes they can occur together, which is why seeing a professional is non-negotiable. The American Dental Association's MouthHealthy site has a good overview on post-extraction issues, though it's always best to consult your own dentist for a diagnosis. You can find general information on signs of infection on reputable health portals, but again, this is not a substitute for professional evaluation.
Could it be something else besides dry socket on day 7?
Possibly. Other causes of late-onset pain include:
- A small, sharp fragment of bone working its way out (a "bone spicule").
- Irritation from food trapped in the socket (though this usually causes a more localized ache and might resolve with gentle rinsing).
- Trismus (jaw muscle stiffness) causing referred pain.
- Sinus issues if your upper wisdom teeth were close to the sinus cavity.
Your dentist is trained to differentiate between these.
How can I prevent this from happening in the first place?
Prevention is always better than cure. While you can't 100% guarantee it won't happen (some factors like genetics or a difficult extraction play a role), you can stack the odds heavily in your favor:
1. Follow Post-Op Instructions to the Letter: Your surgeon gives them for a reason. No straws, no smoking, gentle rinsing.
2. Diet Matters: Stick to soft, cool foods for the first several days. Avoid anything that requires vigorous chewing or could get lodged.
3. Oral Hygiene, Gently: Keep the mouth clean to prevent infection, but avoid the surgical site directly for the first 24 hours, then be very gentle.
4. Rest: Don't jump back into strenuous activity. Increased blood pressure can disrupt clotting.
5. Discuss Risk Factors: If you smoke, use birth control pills, or have a history of dry socket, tell your surgeon beforehand. They may take extra precautions.
But I hope by now you see it for what it is: a common bump in the road to recovery, not a dead end. Knowing the specific signs for day 7 wisdom teeth removal dry socket, understanding that the pain has a clear cause, and most importantly, knowing that a quick visit to your dentist can make it 90% better almost immediately—that knowledge is power.
Don't tough it out. Don't rely on Dr. Google for a final diagnosis. Use this information to understand what's likely happening, take the immediate home-care steps, and then make the call. Your future, pain-free self will thank you for it.
The goal isn't just to get through the extraction, but to heal well and move on. Even with a complication on day 7, that's still absolutely within reach.
Leave a Reply