Let's be honest here. You probably felt a hard lump on the roof of your mouth or along your lower jaw near your tongue and went straight to Dr. Google. "Does dental tori go away?" is likely the first thing you typed. I get it. Finding an unexpected bony growth in your mouth is unsettling. Is it cancer? Will it keep growing? Do I need surgery?
Take a breath. You're in the right place. I'm going to walk you through everything about tori (that's the plural of torus) in plain English. No scary medical jargon, just the facts you need to make a smart decision about your health.
The short, direct answer to your main question is: No, dental tori do not go away on their own. They are benign, non-cancerous bone growths. Once they form, they are permanent fixtures unless surgically removed. They don't shrink, dissolve, or disappear with time, diet changes, or medication.
That's the core of it. But if we stopped there, you'd still have a hundred questions. Why did I get it? What does it mean? Should I do something about it? Let's dig into all of that.
What Exactly Are Dental Tori, Anyway?
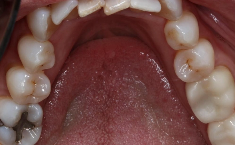
Imagine your jawbone deciding to build a little extra fortification in one spot. That's essentially what a torus is. It's a slow-growing, dense nodule of bone that forms under the soft tissue (the gums) in your mouth.
They feel rock-hard because they are pure bone. They're covered by a thin layer of gum tissue, which is why they can sometimes get irritated if you eat something sharp or brush too hard over them.
There are two main types, named after their locations:
- Torus Palatinus: This one sits smack in the middle of the roof of your mouth (the hard palate). It's usually a single, symmetrical lump, sometimes with a ridge down the middle, making it look a bit like a mini mountain range on the roof of your mouth.
- Torus Mandibularis: These guys show up on the inside of your lower jaw, typically near the premolars (those teeth between your canines and molars). They often come in pairs, one on each side, and feel like bony ridges or lumps along the jawbone.
They're surprisingly common. Studies suggest anywhere from 5% to 60% of the population has them, depending on ethnic background. Some populations, like Inuit and East Asian groups, have a much higher prevalence. So, you're not some weird medical anomaly. You've just joined a fairly large club of people with bonus jawbone architecture.
Why Do These Bony Lumps Form in the First Place?
Here's where things get fuzzy, even for dentists and researchers. There's no single smoking gun. The consensus is that tori are caused by a combination of factors, with genetics playing the lead role.
If your parents or grandparents had them, your chances of developing tori shoot way up. It's like inheriting your dad's nose or your mom's eye color, but less visible.
Beyond genetics, other factors are thought to contribute or trigger the growth:
- Bruxism (Teeth Grinding & Clenching): This is a big one. The theory is that the excessive forces generated from grinding or clenching your teeth stimulates the bone to thicken and reinforce itself in areas of high stress. Think of it as your body's way of adding a support beam.
- Localized Stress on the Jaw: Similar to bruxism, any habit or anatomical feature that puts unusual pressure on specific jaw points might encourage bone growth.
- Diet: Some older research pointed to diets high in fish and calcium-rich foods in certain populations with high tori rates, but this is considered more of a correlative link than a proven cause.
- Age & Gender: Tori usually start developing in early adulthood (your 20s and 30s) and grow very slowly over decades. They're often discovered during a routine dental cleaning. Some studies show torus palatinus is more common in women, while torus mandibularis is more common in men.
The frustrating part? You can't really point to one thing you did and say, "That's why I have this." For most people, it's just their genetic blueprint playing out.
So, "Does Dental Tori Go Away?" - The Detailed Breakdown
Let's revisit the main question with more nuance. Since we know they don't vanish spontaneously, what *does* happen to them over a lifetime?
- Growth is Slow and Self-Limiting: Tori aren't like tumors that grow uncontrollably. They grow in spurts, often linked to periods of life stress (and increased teeth grinding). Their growth typically plateaus in middle age. So, while it won't go away, it also probably won't become a giant, face-deforming mass.
- They Are Stable Structures: Once growth stops, the torus just sits there. It's inert bone. It doesn't fluctuate in size with your weight, health, or diet. It's just... there.
- They Don't Respond to Medication or Lifestyle Changes: You can't take a pill, apply a cream, change your diet, or do jaw exercises to make a torus recede. Since it's normal bone, your body sees it as part of you and has no mechanism to resorb it.
I remember a patient, let's call him Mark, who was convinced his new vegan diet would "cleanse" his body and shrink his mandibular tori. He was pretty disappointed when I had to explain that bone, once formed, doesn't work that way. His heart was in the right place, but biology had other plans.
The only scenario where a torus might "go away" or reduce is if the tooth opposite it is lost. Without the opposing pressure, the bone might undergo very slight remodeling over many, many years, but this is minimal and unreliable. It's absolutely not a reason to extract a healthy tooth.
When Should You Actually Worry About Dental Tori?
For the vast majority of people, the answer is never. Tori are harmless curiosities. But there are specific situations where they cross the line from benign quirk to legitimate problem. Here’s when you should start considering action:
- Interference with Dentures: This is the #1 reason for tori removal. A bony lump on the palate or jaw makes it impossible for a denture to sit flush and create suction. It causes painful ulcers, rocking, and a denture that simply won't stay in place. If you're facing dentures in the future, your dentist will likely discuss pre-emptive removal.
- Chronic Ulceration or Trauma: If the torus is so prominent that you constantly bite your cheek or tongue, or if food scrapes against it causing repeated sores, it becomes a quality-of-life issue.
- Difficulty with Oral Hygiene: Large tori can create shadowy nooks where plaque and food pack in, making it hard to brush and floss effectively. This can increase your risk of gum disease and cavities on adjacent teeth.
- Speech or Swallowing Issues: A very large palatal torus can interfere with tongue placement, potentially affecting your speech (like a lisp) or the swallowing mechanism.
- Psychological Distress: Don't underestimate this one. If you're constantly feeling it with your tongue, worrying about it, or it's causing you significant anxiety, that's a valid reason to explore removal. Your mental peace matters.
- Obstruction for Other Dental Work: Sometimes, a torus is right where an orthodontist needs to place a bracket or where a surgeon needs to access for a dental implant. In these cases, removal is part of the treatment plan.
If none of these apply to you? Congrats. You can probably just forget about it and let your dentist monitor it during your regular check-ups.
The Big Decision: To Remove or Not to Remove?
This is the crossroads. Let's lay out your options clearly, without pushing you one way or the other.
Option 1: Leave It Alone (The Most Common Choice)
For most asymptomatic tori, this is the recommended path. The mantra in medicine is "first, do no harm." Since removal is a surgical procedure with inherent risks, if the torus isn't causing problems, the risks of surgery outweigh the benefits.
Pros: No surgery, no cost, no recovery pain, no risks of complications.
Cons: The torus remains. You'll need to be mindful of it with oral hygiene. It may limit future dental options.
Option 2: Surgical Removal (Toriectomy)
This is a minor oral surgery procedure. It's usually done by an oral surgeon or a periodontist. They make an incision in the gum, expose the bone, and carefully remove the excess growth with specialized burs and chisels. The area is then smoothed, and the gum is stitched back up.
| Aspect | What to Expect |
|---|---|
| Anesthesia | Usually local anesthesia (you're numb but awake). For large/multiple tori or anxious patients, sedation (like IV sedation) is an option. |
| Procedure Time | Typically 30-90 minutes, depending on size and location. |
| Pain & Recovery | Significant swelling and discomfort for 3-7 days. A soft diet is essential. Pain is manageable with prescribed medication. |
| Healing Time | Gums heal in 1-2 weeks. Underlying bone takes several months to fully remodel and smooth out. |
| Cost | Can range from $600 to over $2,000 per torus, depending on complexity and geographic area. Dental insurance may cover it if deemed medically necessary (e.g., for dentures). |
| Risks & Complications | As with any surgery: infection, bleeding, nerve injury (numbness in lip/tongue/gums—often temporary, rarely permanent), sinus perforation (for upper jaw tori), damage to tooth roots. |
A crucial point people often miss: Even after surgical removal, tori can grow back. It's not super common, but recurrence is possible, especially in younger patients. The body's genetic instruction to lay down bone in that area is still there. So surgery isn't always a one-and-done guarantee.
Answering Your Burning Questions (The FAQ You Actually Need)
Here are the real questions people have after they get past "does dental tori go away?".
Is a dental torus a sign of cancer?
Absolutely not. This is the biggest fear, and I want to squash it completely. Tori are benign bone growths. They have zero potential to become cancerous. A cancerous growth in the jaw (osteosarcoma) behaves completely differently—it's fast-growing, often painful, and causes visible changes on X-rays that look nothing like a dense, smooth torus. Your dentist can easily distinguish between the two.
Can dental tori get infected?
The bone itself cannot get infected because it's not exposed. However, the thin gum tissue covering it can become inflamed or ulcerated if it's repeatedly traumatized (by food, a toothbrush, or an ill-fitting denture). This is called a decubitus ulcer. It's a soft tissue problem, not a bone infection. Keeping the area clean and avoiding trauma is key.
Do tori affect getting braces or Invisalign?
Usually, no. Orthodontists work around them. However, a very large palatal torus might interfere with certain appliances like a rapid palatal expander. In such cases, removal might be discussed as part of the overall orthodontic plan. For standard braces or Invisalign, it's rarely an issue.
I have tori. Does that mean I have strong bones?
It's a nice thought, but not necessarily. Having tori is a localized event in your jawbone. It doesn't reflect the density or health of the bones in your spine, hips, or wrists. You can have tori and still be at risk for osteoporosis. Don't skip your calcium and vitamin D based on this assumption!
Can a dentist remove a torus during a regular cleaning?
No. A routine dental cleaning (prophy) only addresses calculus and plaque on the teeth. Removing a torus is a surgical procedure that requires cutting the gum, removing bone, and suturing. It's a separate appointment with a specialist.
My Personal Take on This Whole Tori Thing
Look, I've seen hundreds of these things. From tiny pebbles to ridges that look like they could hold a pencil. The vast majority are nothing more than a footnote in a dental chart.
The human body is weird. It does strange things for reasons we don't fully understand. A dental torus is one of those harmless quirks, like being double-jointed or having a geographic tongue.
The obsession with "does dental tori go away" often comes from a place of anxiety about the unknown. Once you understand what it is—a stable, benign piece of your own bone—that anxiety usually melts away.
The best course of action? Point it out to your dentist at your next check-up. Say, "Hey, I noticed this hard lump here. Is that a torus?" Let them confirm it, take a measurement note in your file, and assure you. Then, unless it's causing one of the specific problems we talked about, you can literally put it out of your mind.
Save your worry for things that truly deserve it, like not flossing or drinking too much soda. Your tori? It's just along for the ride.
If you're still unsure, getting a second opinion from an oral surgeon is never a bad idea. They see these every day and can give you the most realistic picture of your specific situation and whether intervention makes sense for you. Organizations like the American Association of Oral and Maxillofacial Surgeons (AAOMS) have resources to help you understand these procedures better.
Remember, knowledge is the antidote to fear. Now you know that while dental tori do not go away, they also don't have to take up any more of your mental energy.
Leave a Reply