If your dentist just mentioned you might need a root canal on a premolar, your mind is probably racing. Is it painful? How long does it take? Will my tooth look weird afterwards? Let's cut through the noise. A premolar root canal is one of the most common yet misunderstood dental procedures. It's not a death sentence for your tooth—it's actually a highly effective way to save it from extraction. This guide breaks down everything, from the unique anatomy of premolars that makes them tricky to the nitty-gritty of the procedure and what you should really focus on during recovery. I've seen hundreds of these cases, and the biggest issues usually stem from simple misunderstandings, not the treatment itself.
What’s Inside This Guide
- What Exactly is a Root Canal on a Premolar?
- Why Premolars Are Different (and More Prone to Trouble)
- How is a Premolar Root Canal Done? A Step-by-Step Walkthrough
- The Critical Step Almost Everyone Forgets After the Root Canal
- Breaking Down the Cost of a Premolar Root Canal
- How to Pick the Right Dentist or Specialist
- Your Burning Questions, Answered Honestly
What Exactly is a Root Canal on a Premolar?
At its core, a root canal treatment on a premolar is a procedure to remove infected or inflamed pulp—the soft tissue inside your tooth containing nerves and blood vessels. Once that's gone, the inside of the tooth is cleaned, disinfected, and sealed. Think of it like removing the spoiled wiring from a house and filling the space with a stable, inert material. The goal is to eliminate pain, stop the spread of infection, and allow you to keep your natural tooth structure. The alternative, pulling the tooth, creates a whole new set of problems like bone loss and shifting teeth, which are costlier and more complex to fix down the line.
Why Premolars Are Different (and More Prone to Trouble)
Not all teeth are created equal. Premolars, also called bicuspids, are the teeth between your canines and molars. You have eight of them. Their job is a hybrid: they help with tearing food like canines and grinding it like molars. This dual role makes their anatomy a bit of a wild card.
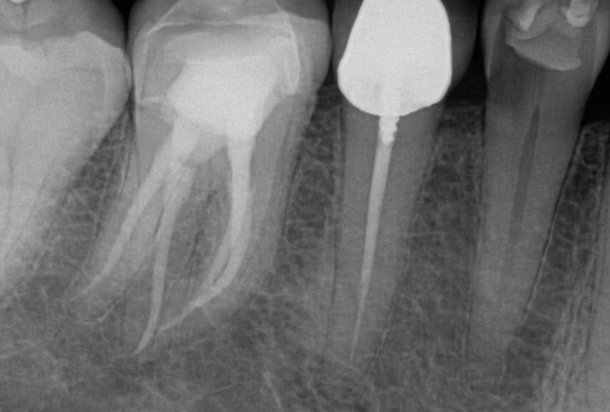
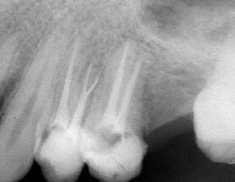
The biggest headache with premolar root canals is their root structure. While a front tooth typically has one simple root canal, a premolar can be a surprise package.
| Tooth Type | Typical Number of Roots/Canals | Common Complexity |
|---|---|---|
| Upper First Premolar | 2 roots, 2 canals (very common) | Often has two separate roots. Missing one canal is a leading cause of failed treatment. |
| Upper Second Premolar | 1 root, but often 2 canals inside it | The single root frequently splits into two canals (a "web" shape), easy to miss. |
| Lower Premolars | 1 root, 1 canal (usually) | Generally simpler, but the canal can be curved or narrow, requiring fine instruments. |
This variability is why some premolar root canals feel straightforward, while others require the precision of a specialist (an endodontist). I once had a patient whose upper first premolar had three separate canals—a configuration you won't find in any textbook but happens more than people think. If a dentist isn't using a dental microscope and only takes one standard X-ray, they might completely miss an extra canal, leaving infected tissue behind. That tooth will hurt again in six months, guaranteed.
How is a Premolar Root Canal Done? A Step-by-Step Walkthrough
Let's walk through what actually happens during the appointment. The modern root canal is a far cry from the horror stories you might have heard.
Before the Drill Even Starts
First, good imaging is non-negotiable. A periapical X-ray shows the length of the roots. For complex cases, a 3D cone beam CT scan might be used. This gives a detailed map, crucial for navigating those tricky, multi-canal premolars. Your dentist will also administer local anesthesia. The idea that root canals are painfully done is a complete myth—if you feel sharp pain, speak up. More anesthetic can be given. You should only feel pressure.
The Procedure Itself
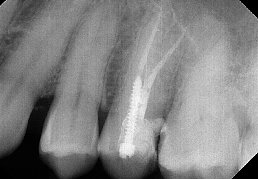
Access and Cleaning: A small opening is made in the top of the tooth. Using very fine files, the dentist removes the diseased pulp and meticulously cleans and shapes each canal. This is where the microscope is a game-changer. It allows the clinician to see intricate details, find hidden canals, and ensure no debris is left.
Disinfection and Filling: The canals are flushed with antimicrobial solutions. Once dry, they are filled with a rubber-like material called gutta-percha, sealed in place with a biocompatible cement. The goal is to hermetically seal the space to prevent re-infection.
The Temporary Fill: The access hole is closed with a temporary filling. The entire process for a premolar typically takes 60 to 90 minutes, sometimes split over two visits if there's a significant infection that needs time to drain.
The Critical Step Almost Everyone Forgets After the Root Canal
Here's the part most blog posts gloss over, and it's the single most important factor for long-term success: the final restoration. A root canal-treated premolar is more brittle than a vital tooth. It's like a hollowed-out tree branch—structurally weaker.
That temporary filling is just that—temporary. Leaving it in place for months is asking for trouble. The tooth can crack under normal chewing forces, and then it's unsalvageable. I've seen it too many times.
For almost every premolar, you will need a dental crown. This cap encases the entire tooth, protecting it from fracture and restoring its function for chewing. Sometimes, if a lot of tooth structure is missing, a post may be placed inside the canal to help anchor the crown. Don't delay this step. Schedule your crown appointment within a few weeks of the root canal.
Breaking Down the Cost of a Premolar Root Canal
Costs vary wildly, and transparency is key. Don't just get a quote for the root canal itself—ask for the total cost including the final crown.
- Root Canal Therapy (by a General Dentist): $900 - $1,300 per tooth.
- Root Canal Therapy (by an Endodontist): $1,200 - $1,800 per tooth. The premium is for their expertise, higher-tech equipment (like microscopes and 3D imaging), and handling complex cases.
- Dental Crown: $1,000 - $1,800. Material (porcelain-fused-to-metal, all-ceramic) and lab fees affect price.
Total Estimated Out-of-Pocket: For a premolar treated by a general dentist and crowned, you're looking at roughly $2,000 to $3,100. Dental insurance often covers 50-80% of root canals and crowns (after your deductible), but check your plan's annual maximums. Many offices offer payment plans. When comparing prices, ask exactly what's included. Does the root canal quote include all follow-up X-rays? Does the crown quote include the core build-up?
How to Pick the Right Dentist or Specialist
This decision can make or break the outcome. Here’s my blunt advice.
Consider an Endodontist for: Upper first premolars (likely two canals), any tooth with a known complex history (retreatment, curved roots), or if you have high dental anxiety. The American Association of Endodontists (AAE) website has a reliable “Find an Endodontist” tool.
A Skilled General Dentist can handle: Most lower premolars and straightforward cases. Ask them directly: "How many premolar root canals do you do a month? Do you use a dental microscope?" If they hesitate or say no to the microscope, proceed with caution. A dentist who invests in a microscope is signaling a commitment to quality.
Read reviews, but look for specifics. "Great root canal, no pain" is better than just "nice office." Don't be shy about getting a second opinion, especially if the treatment plan seems vague or the cost estimate feels off.
Your Burning Questions, Answered Honestly
My premolar hurts after a root canal. Is that normal?
How long will a root canal on a premolar last?
Can I just pull my premolar instead of getting a root canal?
What's the biggest mistake people make after a premolar root canal?