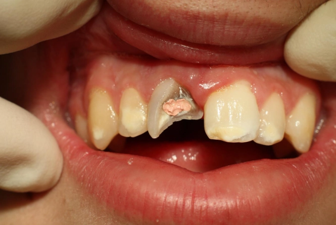
You’re eating something, maybe a piece of popcorn or a hard candy, and you feel it. That sudden, unsettling crunch. Or maybe you notice it later, running your tongue along your teeth and feeling a rough edge where there should be smooth enamel. A chipped molar. It’s one of those things you don’t think about until it happens to you, and then it’s all you can think about.
I remember when it happened to me. I was just eating a sandwich, of all things. A crusty baguette. Felt a tiny piece of something hard, thought it was a seed. Nope. It was a corner of my own tooth. Panic sets in immediately. Is this an emergency? How much will this cost to fix? Can I just ignore it? I spent hours scouring the internet, getting more confused by the minute.
That’s why I’m writing this. To give you the clear, practical, and honest guide I wish I’d had. We’re going to walk through everything from that first moment of panic to long-term care, stripping away the dental jargon and giving you the real talk.
Is This a Chipped Molar? Recognizing the Signs
Not every chip is a dramatic, half-tooth-breaking-off event. Most are more subtle. Here’s how to know what you’re dealing with.
The most obvious sign is feeling it with your tongue. Your tongue is an incredible sensor, and it will find every rough, sharp, or uneven edge. You might also notice it when you floss—the floss could catch or shred on the damaged area.
Then there’s sensitivity. Does cold air, ice cream, or hot coffee suddenly send a zing through that tooth? That’s a classic sign. The protective enamel layer is compromised, exposing the more sensitive layer underneath called dentin. If the chip is deep and you feel a sharp, persistent pain or pain when biting, the inner pulp (where the nerves live) might be involved. That’s more serious.
Visually, you might see a dark line, a small missing piece, or a crack. Sometimes, you can’t see it at all because it’s between teeth or on a chewing surface. A mirror and good light help, but honestly, your tongue is often the best detective.
Why Did My Molar Chip? (It’s Not Always What You Think)
We blame the immediate cause—the popcorn kernel, the olive pit. But often, a chipped molar is a symptom of an underlying weakness. Molars are our workhorses, designed to grind food, so they’re strong. For them to fail, there’s usually a reason.
- Old Fillings: This is a huge one. Large metal (amalgam) fillings don’t bond to the tooth; they just sit in a cavity. Over decades, they expand and contract with temperature changes, creating stress. Eventually, the weakened tooth wall around the filling can give way. My dentist told me my chip was right next to an old silver filling. “It was a ticking time bomb,” he said.
- Tooth Decay: Cavities weaken the structure from the inside out. The enamel might look intact, but it’s a thin shell over a hollowed-out area. Normal chewing pressure can then cause it to collapse.
- Bruxism (Teeth Grinding/Clenching): If you grind your teeth at night, you’re applying immense, unnatural pressure. It’s like constantly stressing a piece of glass. Micro-cracks form, and one day, a piece just pops off. Do you wake up with a sore jaw or headaches? This might be your culprit.
- Acid Erosion: Frequent consumption of soda, sports drinks, citrus fruits, or even wine bathes your teeth in acid, slowly dissolving the enamel. Thinner enamel chips more easily.
- The Obvious Trauma: Yes, biting on something too hard (bones, hard candy, ice) or an accident can do it. But if you have strong, healthy teeth, this is less common than the sneaky reasons above.
Understanding the “why” is crucial because fixing the chip without addressing the cause means it’ll likely happen again.
First Aid for a Chipped Molar: What to Do Before the Dentist
Okay, you’ve identified a chipped molar. Your appointment is in two days. What now?
First, save any pieces if you can find them. Rinse them off and keep them in milk or saliva. In some cases, a dentist can literally bond them back on. It’s a long shot, but worth a try.
Rinse your mouth gently with warm salt water. This cleans the area and reduces the risk of irritation. If the edge is sharp, you can buy temporary dental wax (from any pharmacy) and mold a tiny bit over the sharp spot. It’s the same stuff used for braces. It creates a barrier so your tongue and cheek don’t get cut up. I did this, and it was a lifesaver.
For pain, over-the-counter pain relievers like ibuprofen can help with inflammation and discomfort. A topical oral analgesic gel can numb the area temporarily. But remember, these are bandaids, not fixes.
How Will the Dentist Fix My Chipped Molar? The Repair Menu
This is what everyone wants to know. The treatment depends entirely on the size, location, and depth of the chip. Your dentist will examine it, likely take an X-ray to see the internal health of the tooth and root, and then recommend an option. Here’s the breakdown, from simple to complex.
Dental Bonding (The Quick Fix)
For small, superficial chips that don’t affect the chewing function much, bonding is often the answer. The dentist roughens the area, applies a tooth-colored composite resin material, molds it to shape, and hardens it with a special light. It’s then polished smooth.
The good: It’s usually done in one visit, no anesthesia needed for tiny chips, and it’s the least expensive option. The color match can be excellent.
The not-so-good: The composite resin isn’t as strong as natural enamel or porcelain. It can stain over time (coffee, tea, red wine) and may chip again in 5-8 years, especially on a high-pressure molar. It’s more of a cosmetic fix for minor damage.
I asked my dentist why he didn’t just bond mine. He showed me the X-ray. The chip was too close to the filling and in a high-stress zone. “Bonding would pop off in a year,” he said. Fair enough.
Dental Veneer (Less Common for Molars)
Veneers are thin shells of porcelain bonded to the front surface of teeth. They’re fantastic for front teeth chips. For a back tooth? Rarely. Molars need to withstand crushing forces, and a veneer only covers one side, leaving others vulnerable. Unless the chip is very specific and on a visible surface of a molar (which is rare), this isn’t the go-to.
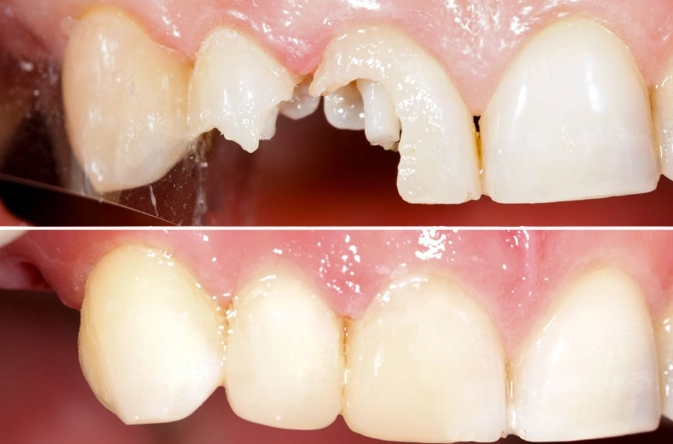
Dental Crown (The Gold Standard for Major Damage)
When a significant portion of the molar is gone, or the chip has undermined the tooth’s structural integrity, a crown (or “cap”) is the standard solution. This involves reshaping the entire remaining tooth into a stub, taking an impression, and placing a custom-made covering over it.
The crown restores the tooth’s shape, strength, and function completely. It’s a long-term solution, often lasting 10-15 years or more with good care. Materials matter here:
- Porcelain-Fused-to-Metal (PFM): Strong and has a long track record. The downside? A dark metal line can sometimes show at the gumline over time.
- All-Ceramic / All-Porcelain: Beautiful and natural-looking, with no metal. The technology has gotten incredibly strong, making it a great choice for molars now, especially if you care about aesthetics.
- Gold or Base Metal Alloy: The strongest, most durable material by far. It wears down at a rate similar to natural enamel and is kind to the opposing tooth. The obvious drawback is the color. But for a back molar that no one sees, some dentists (and patients) still swear by its longevity.
This is what I ended up getting—an all-ceramic crown. The process took two appointments and wasn’t fun, but the tooth feels rock solid now.
Root Canal + Crown (When the Nerve is Hurt)
If the chip is so deep that bacteria have invaded the pulp chamber, causing infection or irreversible inflammation, you’re looking at a root canal treatment first. This procedure removes the infected nerve tissue, cleans out the canals inside the tooth’s roots, and seals them. After a root canal, the tooth becomes brittle because it’s no longer alive. A crown is absolutely necessary to protect it from fracturing under normal chewing forces. So, this is a two-step process: save the tooth structure, then cap it for strength.
Dental Onlay / 3/4 Crown (The Middle Ground)
Sometimes the damage is too big for a filling but not extensive enough to warrant a full crown. An onlay is a fantastic, conservative option. Think of it as a partial crown. It’s a custom-made restoration (usually porcelain or gold) that fits precisely into the damaged area and “lays on” the remaining tooth structure, covering one or more of the tooth’s cusps (the pointed parts). It preserves more of your healthy natural tooth than a full crown, which is always a win in dentistry.
Tooth Extraction (The Last Resort)
If the chipped molar is shattered beyond repair, with cracks going deep below the gumline or into the root, extraction might be the only option. This is a worst-case scenario. After extraction, you’d need to discuss replacements: a dental implant, a bridge, or a partial denture to prevent the other teeth from shifting.
Comparing Your Chipped Molar Repair Options
| Option | Best For | Procedure & Visits | Average Lifespan | Key Consideration |
|---|---|---|---|---|
| Dental Bonding | Very small, cosmetic chips; minimal structure loss. | One visit, often no numbing needed. | 5-8 years | Weakest option; can stain; not for large or high-stress chips. |
| Dental Onlay | Moderate damage, preserving healthy tooth structure. | Two visits (like a crown). | 10-15+ years | More conservative than a full crown; excellent mid-range solution. |
| Dental Crown | Significant damage, broken cusps, after root canal. | Typically two visits. | 10-15+ years | Full coverage restores full function and strength; requires reshaping tooth. |
| Root Canal + Crown | Deep chip with nerve/pulp infection or damage. | Two+ visits (one for RCT, one for crown). | Depends on crown (10-15+ yrs) | Saves the natural tooth from extraction; necessary when there’s pain/infection. |
The Dreaded Topic: Cost of Fixing a Chipped Molar
Let’s talk money, because this is a major worry. I’ll be upfront: dental work isn’t cheap. But knowing the ballpark helps you prepare.
Costs vary wildly based on location, the dentist’s experience, and the material used. These are rough, national averages without insurance:
- Dental Bonding: $100 - $400 per tooth. The most affordable entry point.
- Dental Onlay: $650 - $1,200+ (porcelain). More than bonding, but less tooth reduction than a crown.
- Dental Crown: $1,000 - $1,500+ (porcelain); $800 - $1,400 (PFM); $1,300 - $1,800+ (all-ceramic like zirconia). Gold crowns can be $1,500-$2,500+ due to material cost.
- Root Canal (Molar): $1,000 - $1,500+. Then add the crown cost on top of that.
Ouch, right? Here’s the thing. Dental insurance typically covers a percentage (often 50-80%) of “major procedures” like crowns and root canals after you meet your deductible, but they often have an annual maximum ($1,000-$1,500 is common). They might only cover the cheaper PFM crown, and you pay the difference for porcelain. Bonding is often covered under “basic” procedures at a higher percentage.
My crown cost about $1,200. My insurance covered 50% after my deductible, so I was out about $700. It hurt the wallet, but less than losing the tooth.
Recovery and Life After a Chipped Molar Repair
What happens after the fix? If you just had bonding, not much. You might have slight sensitivity for a day or two, but you can eat normally once the anesthesia wears off.
For a crown or onlay, you’ll have a temporary restoration for a couple of weeks while the lab makes the permanent one. Be super careful with temps. They are glued on lightly. Avoid sticky foods (caramel, gum) and hard foods on that side. They can pop off. If it does, call your dentist to have it re-cemented; it protects the prepped tooth underneath.
Once the permanent crown is placed, your bite might feel a little “off” or high for a day. Your dentist will check this and adjust it. It’s a quick polish. Some sensitivity to temperature is normal for a few weeks as the nerve settles. If you have persistent pain when biting down, go back—the crown might need a slight adjustment.
Long-term care is simple but critical: treat it like a natural tooth, but know it’s a restoration. Brush twice a day, floss daily (thread the floss through, don’t pop it up which could loosen the crown), and see your dentist for regular checkups. Avoid using your teeth as tools (opening packages, cracking nuts).
How to Prevent Another Chipped Molar
Fixing one chipped molar is enough motivation to prevent the next. Here’s your action plan:
- Address Bruxism: If you grind, get a custom night guard from your dentist. The cheap boil-and-bite ones from the store are okay in a pinch, but a custom-fit guard is more comfortable and protective. This is the single best thing I did after my repair.
- Replace Old, Large Fillings: Talk to your dentist about proactively replacing large, failing amalgam fillings with onlays or crowns before they cause a fracture. It’s proactive dentistry.
- Mind Your Diet: Be skeptical of hidden pits and bones. Cut hard foods into smaller pieces. Please, stop chewing ice. It’s terrible for your teeth.
- Strengthen Your Enamel: Use a fluoride toothpaste. Fluoride remineralizes enamel, making it more resistant to acid and decay. Consider a fluoride rinse if your dentist recommends it.
- Regular Checkups: Your dentist can spot weak areas, hairline cracks, and deteriorating fillings during exams and X-rays before they turn into a chipped molar emergency.

Common Questions About Chipped Molars (Answered)
Let’s tackle some of the specific worries that keep people up at night.
Can a chipped molar heal on its own?
No. Enamel has no living cells, so it cannot regenerate or “heal” like skin or bone. Once it’s gone, it’s gone. The damage is permanent and requires professional intervention.
How long can I wait to fix a chipped molar?
This depends on severity. A tiny, non-sensitive chip? A few weeks is probably fine, but don’t ignore it forever. A chip with sensitivity or pain? Days, not weeks. A large chip with pulp exposure? Hours. Bacteria enter quickly, leading to infection and potentially making a simple repair into a complex root canal situation.
Is it okay to just smooth a sharp edge?
Sometimes, if the chip is truly microscopic and only a nuisance to your tongue, a dentist can simply polish the edge smooth. But this removes a tiny bit more enamel and doesn’t restore structure. It’s a judgment call for your dentist.
Will a repaired chipped molar feel normal?
A well-done restoration—especially a properly fitted crown—should feel completely natural in your mouth. You shouldn’t be able to tell it apart from your other teeth with your tongue. Bonding might feel slightly less smooth over many years as it wears.
Can I get a chipped molar fixed for free or low cost?
Look into local dental schools. Procedures are performed by supervised students at a significantly reduced cost. Some community health centers also offer sliding-scale fees based on income. It’s worth researching.
A chipped molar feels like a crisis.
But as you can see, it’s a manageable one. It’s a signal from your body that something needs attention. Listen to it. Get it checked out, understand your options, and make a plan with a dentist you trust. The goal isn’t just to patch up the damage, but to create a solution that’s strong, functional, and lasts for years so you can forget about it and get back to enjoying your food—crusty baguettes and all—with confidence.
Leave a Reply