- Why Does a Cavity Hurt So Much? The Science of the Sting
- Recognizing Cavity Pain: It's Not Always Obvious
- What to Do RIGHT NOW for Tooth Cavity Pain Relief
- When Home Isn't Enough: Professional Treatments for Cavity Pain
- Stopping the Pain Before It Starts: Prevention is Everything
- Your Tooth Cavity Pain Questions, Answered
Let's talk about tooth cavity pain. You know the feeling—that sudden, sharp zing when you sip something cold, or that dull, persistent throb that seems to get louder at night. It's more than just annoying; it can completely derail your day. I remember once ignoring a little twinge, thinking it would go away. Big mistake. A few days later, I was in the kind of pain that makes you cancel all plans and just stare at the ceiling. That experience taught me a lot, and I want to share what I've learned so you don't have to go through the same thing.
This isn't just a lecture on brushing better. We're going to dig into why cavities hurt so much (spoiler: it's your nerve screaming), what you can actually do about it right now, and how to make sure it never comes back. We'll cover everything from quick home fixes to what really happens in the dentist's chair.
Listen up: This guide is here to help you understand and manage tooth cavity pain, but it's not a substitute for professional dental care. If you're in severe pain, have swelling in your face or jaw, or have a fever, you need to see a dentist or doctor immediately. Seriously, don't wait.
Why Does a Cavity Hurt So Much? The Science of the Sting
Ever wondered why such a tiny hole can cause such a massive problem? It all comes down to layers. Your tooth isn't just a solid chunk of bone. Think of it like a fortress.
The Tooth Fortress and Its Walls
On the outside, you have the enamel. It's the hardest substance in your body, harder than bone. Its job is to take the hits—the chewing, the temperature changes, the acid attacks from soda and juice. Enamel itself has no nerves, so a cavity that's only in the enamel might not hurt at all. That's the sneaky part. You could have a problem brewing and feel nothing.
Under that is the dentin. This stuff is softer, full of microscopic tubes that lead straight to the tooth's core. When cavity-causing bacteria and their acid breach the enamel and reach the dentin, those tubes get exposed. Hot, cold, sweet, or acidic foods can now travel down those tubes like a superhighway, irritating the nerve inside. This is usually when you first notice that classic tooth cavity pain from stimuli.
At the center is the pulp. This is the heart of the tooth, packed with nerves, blood vessels, and connective tissue. When decay invades the pulp, all hell breaks loose. The tissue gets inflamed (pulpitis), and because the hard walls of the tooth can't expand, the pressure builds up. That pressure on the nerve is what creates that intense, pounding, often spontaneous pain that can even wake you up from sleep. The American Dental Association has a great resource on how cavities develop that explains this process in detail.
Quick Analogy: Imagine a small crack in a car's windshield (enamel). At first, no big deal. But if it spreads and reaches the inner layer (dentin), temperature changes start to stress it. If it finally reaches the car's interior (pulp), you've got a major, expensive problem. That's your tooth.
Recognizing Cavity Pain: It's Not Always Obvious
Cavity pain doesn't always announce itself with a dramatic, stabbing sensation. Sometimes it's subtle. Here are the most common ways it shows up, from the early warnings to the full-blown emergencies.
- The Sensitivity Siren: This is the most common early sign. A brief, sharp flash of pain when you eat or drink something hot, cold, or sweet. The pain disappears once the stimulus is gone. People often blame "sensitive teeth" and switch toothpaste, which might help a tiny bit but ignores the real problem.
- The Lingering Ache: Pain that sticks around for several seconds or even minutes after the hot coffee or ice cream is gone. This suggests the decay is getting deeper, closer to the nerve.
- The Spontaneous Throb: Pain that comes out of nowhere, for no apparent reason. You're just sitting there, and your tooth starts pounding. This often gets worse when you lie down at night because increased blood pressure in the head puts more pressure on the inflamed pulp. This type of cavity pain is a major red flag.
- The Biting Pain: Pain when you chew or put pressure on the tooth. This can mean the decay is extensive, or the tooth structure is weakened and flexing, or the infection has spread to the ligaments and bone around the root tip.
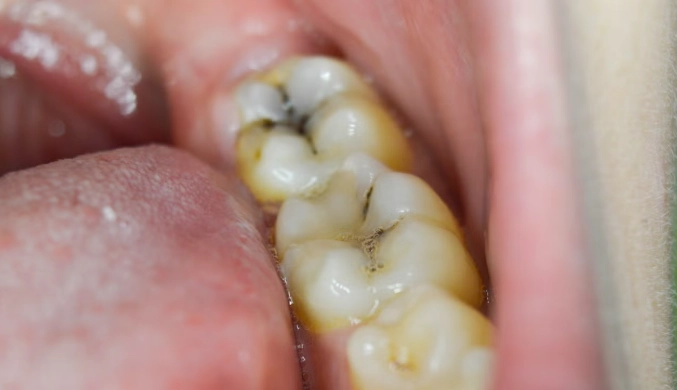
- The Visible Evidence: Sometimes you can see it—a visible hole, pit, or dark spot (brown, black, or white) on the tooth. Food might start getting stuck in one particular spot all the time.
I made the mistake of ignoring the sensitivity phase. I just started drinking my iced water on the other side of my mouth. Genius, right? All I did was buy time for the cavity to get worse.
What to Do RIGHT NOW for Tooth Cavity Pain Relief
Okay, you're in pain. You can't get to a dentist immediately (maybe it's the weekend, or you need to schedule an appointment). What can you actually do that helps? Let's separate the useful from the useless old wives' tales.
First Line of Defense: Over-the-Counter Help. An ibuprofen (Advil, Motrin) or naproxen (Aleve) is usually more effective for dental pain than acetaminophen (Tylenol). Why? These drugs (NSAIDs) reduce the inflammation that's causing the pressure pain. Acetaminophen just blocks pain signals. Always follow the package directions and don't take them on an empty stomach. If you can't take NSAIDs, acetaminophen is your next best bet.
Smart, Safe Home Remedies (That Actually Work)
- Salt Water Rinse: This is the gold standard for a reason. Mix half a teaspoon of salt in a glass of warm (not hot) water. Swish it around the painful area for 30 seconds and spit. Do this a few times a day. The warm salt water helps draw out fluid from inflamed tissues (reducing swelling), loosens debris, and is mildly antiseptic. It's simple, cheap, and effective.
- Cold Compress: Hold an ice pack or a bag of frozen peas wrapped in a thin towel against your cheek, over the painful area. Do this for 15 minutes on, 15 minutes off. The cold constricts blood vessels, which can reduce inflammation and numb the area slightly. Don't apply ice directly to the tooth or gum.
- Clove Oil (Use with CAUTION): Clove oil contains eugenol, a natural anesthetic and antiseptic. The key is dilution. Put one or two drops of clove oil in a teaspoon of a carrier oil (like olive or coconut oil). Dip a cotton ball in the mixture, wring it out so it's just damp, and gently place it against the painful tooth (not on the gum) for a few minutes. It can provide temporary numbness. Warning: Pure clove oil is very strong and can burn your gums or soft tissues. Never use it undiluted.
- Elevate Your Head: If the pain is worse at night, try propping yourself up with an extra pillow. Keeping your head above your heart can reduce the throbbing pressure caused by increased blood flow to the area when you lie flat.

What NOT to Do (The "Helpful" Tips That Make It Worse)
You'll hear all sorts of advice. Some of it is terrible.
- Don't put aspirin directly on the tooth or gum. This is an old myth. Aspirin is acidic and will chemically burn your gum tissue, creating a painful ulcer on top of your existing toothache. Swallow it if you need to, don't topicalize it.
- Avoid extreme temperatures. Steer clear of very hot soups or ice-cold drinks. Stick to lukewarm or cool foods and beverages.
- Skip the sugar. Sugary foods and drinks feed the bacteria causing the decay and can trigger sensitivity pain. It's like pouring gasoline on a smoldering fire.
- Don't probe the area. No using toothpicks, pins, or other sharp objects to "explore" the cavity. You'll likely push bacteria deeper, damage the tooth further, or injure your gums.
Home remedies are a band-aid, not a cure. They buy you time to see a professional.
When Home Isn't Enough: Professional Treatments for Cavity Pain
This is where you get a real, lasting solution. The treatment depends entirely on how far the decay has gone. Let's walk through what the dentist might do, so it feels less intimidating.
The Standard Fix: The Dental Filling
If the decay is caught in the enamel or dentin but hasn't reached the pulp, a filling is the answer. The dentist will numb the area (thank you, modern anesthesia!), remove all the decayed material, and fill the cleaned space. The goal is to remove the source of the tooth cavity pain—the bacteria and softened tooth structure—and restore the tooth's shape and function.
Filling Material Choices: You'll usually have options. Here’s a quick breakdown of the common ones to discuss with your dentist.
| Material | Pros | Cons | Best For |
|---|---|---|---|
| Composite Resin (Tooth-colored) | Matches your tooth color perfectly. Bonds directly to the tooth, which can strengthen it. Requires less removal of healthy tooth structure. | Can be less durable than amalgam for large fillings in back teeth. May stain over time. Takes longer to place. | Front teeth, small to medium cavities in visible areas. |
| Amalgam (Silver) | Extremely durable and long-lasting. Less technique-sensitive to place. Often more affordable. | Metallic color is not aesthetic. Requires more removal of healthy tooth structure to lock it in. Contains mercury (bonded in a safe, stable alloy, but a concern for some). | Large cavities in back molars where strength is key and aesthetics less critical. |
| Glass Ionomer | Releases fluoride, which can help prevent further decay. Bonds well to tooth. | Weaker and less durable than composite or amalgam. More prone to wear and fracture. | Small fillings, especially in children, or temporary fillings. |
| Gold Inlay/Onlay | Biocompatible, incredibly durable, and precise fit. | Very expensive. Requires multiple visits. Very noticeable metallic color. | Large restorations where maximum longevity is desired, budget permitting. |
I went with composite for a recent filling. The procedure was longer than I expected—they have to work in layers and cure each one with a blue light—but the result is invisible. Worth the extra time in the chair, in my opinion.
When It's Too Deep: The Root Canal
If the decay or infection has reached the pulp (the nerve), a filling won't cut it. You'll likely need a root canal treatment. I know, the name alone makes people shudder. But let me tell you, the root canal is the hero that saves your tooth. The procedure is designed to stop the severe tooth cavity pain, not cause it.
Here's what happens: The dentist numbs you thoroughly. They create a small opening in the top of the tooth to access the pulp chamber. Then, using tiny instruments, they remove the infected or dead pulp tissue, clean and disinfect the entire inner canal system, and then fill and seal it with a rubber-like material. Finally, the tooth is sealed with a filling or, more commonly, a crown to protect it because it becomes more brittle after the procedure.
The pain you feel before a root canal is from the infection. The procedure itself relieves that pain. The National Institute of Dental and Craniofacial Research (NIDCR) confirms that modern root canal treatment is usually no more uncomfortable than getting a filling. The worst part for me was keeping my mouth open for a while.
The Last Resort: Tooth Extraction
If the tooth is too damaged to save—severely fractured, or the decay is so extensive there's not enough healthy tooth left to support a restoration—extraction may be the only option. Dentists view this as a last resort because losing a tooth can cause other teeth to shift, affect your bite, and lead to bone loss in the jaw. They'll always discuss replacement options like implants or bridges if an extraction is necessary.
Stopping the Pain Before It Starts: Prevention is Everything
Dealing with tooth cavity pain is awful. The real win is never feeling it in the first place. Prevention isn't just about brushing harder; it's a smart system.
The Non-Negotiable Daily Habits
- Brushing Twice, Fluoride Toothpaste: Brush for two minutes, twice a day, with a fluoride toothpaste. Fluoride is a mineral that helps rebuild weakened enamel and makes it more resistant to acid. Don't rinse with water immediately after brushing—just spit out the excess paste. Let the fluoride sit on your teeth a bit longer.
- Floss. Every. Day. I used to skip this all the time. Brushing only cleans about 60% of your tooth surfaces. Flossing gets the plaque and food from between teeth where cavities love to start. If you hate string floss, try a water flosser or floss picks. Just get something between those teeth.
- Watch Your Diet (Especially the Sipping): It's not just about candy. The frequency of sugar intake is a huge factor. Sipping on soda, juice, or sweet coffee all day constantly bathes your teeth in acid. It's better to have a treat with a meal and then clean your mouth than to graze on carbs and sugars all day. Cheese, nuts, and crunchy veggies are actually good for your teeth.
- Consider a Fluoride Mouthwash: An over-the-counter fluoride rinse used at a different time than brushing (e.g., after lunch) can give your enamel an extra boost.
The Professional Back-Up: Your Dentist and Hygienist
You can't do it all yourself.
- Regular Check-ups and Cleanings: Go every six months, or as often as your dentist recommends. They can spot a cavity in the enamel stage—when it's easy, cheap, and painless to fix—long before it causes any cavity pain.
- Dental Sealants: These are thin, protective coatings applied to the chewing surfaces of back teeth (molars). They block out food and bacteria from the deep grooves where cavities often begin. They're fantastic for kids and teenagers but can be helpful for adults too.
- Professional Fluoride Treatments: These are stronger than what's in toothpaste and can be especially helpful if you're at high risk for cavities (dry mouth, history of frequent cavities, etc.).
The Dry Mouth Problem: Saliva is your mouth's natural defense. It washes away food, neutralizes acid, and contains minerals to repair enamel. If you have dry mouth (from medication, medical conditions, or simply aging), you're at much higher risk for cavities. Talk to your dentist about solutions like specific rinses, lozenges, or saliva substitutes.
Your Tooth Cavity Pain Questions, Answered
Why does my tooth hurt more at night?
It's not your imagination. When you lie down, more blood flows to your head, increasing pressure in the blood vessels around the already-inflamed pulp inside your tooth. That increased pressure on the nerve makes the throbbing more intense. Also, there are fewer distractions at night, so you focus on the pain more.
Can a cavity heal on its own?
Enamel can remineralize (heal itself) in the very early, pre-cavity stage if the conditions are right—lots of fluoride, good saliva flow, and excellent plaque removal. But once there's an actual hole or defect in the enamel, the structure is physically gone. Your body cannot regenerate lost enamel or dentin. At that point, you need a dentist to remove the decay and restore the tooth.
How long can I wait before seeing a dentist for cavity pain?
This is the million-dollar question. For mild sensitivity, you can schedule a routine appointment. For spontaneous, throbbing pain (especially if it lasts more than 30 seconds after a stimulus is removed), you should call a dentist within a day or two. For severe, constant pain, swelling, fever, or a bad taste in your mouth, you need to be seen as an emergency, ideally that same day. Waiting on an infection can allow it to spread, becoming more dangerous and more expensive to treat.
Is the pain always in the tooth with the cavity?
Not always. Pain can be "referred." A problem in a lower molar might make you feel pain in your ear or your other lower teeth. An upper tooth problem can sometimes feel like a sinus headache. A dentist will test individual teeth to pinpoint the exact source.
What if I'm terrified of the dentist?
You are so not alone. Dental anxiety is incredibly common. The key is communication. Tell your dentist and their staff you're anxious. Many offices specialize in treating anxious patients. They can explain every single step, use more numbing gel before the shot, agree on a hand signal to stop if you need a break, or even discuss sedation options (from nitrous oxide "laughing gas" to oral sedation). Letting the pain continue because of fear only leads to a bigger, more complex problem—and a more involved dental visit—down the road.
The bottom line? Tooth cavity pain is a message. A loud, unpleasant message from your body that something is wrong. Listen to it early.
Ignoring it, hoping it will just go away, only gives the problem time to grow from a simple filling to a root canal, or worse. Understanding why it hurts, knowing how to manage it temporarily, and most importantly, taking the step to get professional care is the only way to get true, lasting relief and protect your smile for the long haul. Start with the salt water rinse, take an ibuprofen if you need to, and pick up the phone to make that appointment. Your future self will thank you.