I saw it again last week in my clinic. A worried mom brought in her 18-month-old, Liam. His front teeth looked chalky, with faint brown lines near the gums. "He just loves his bedtime bottle," she said. "I had no idea it could do this." Liam has what many call milk rot teeth, or more formally, early childhood caries. It's heartbreaking because it's almost entirely preventable. The problem isn't a lack of love—it's a lack of specific, actionable information mixed with some really common, well-intentioned habits.
Let's cut through the confusion. This isn't about scaring you. It's about giving you the clear, practical steps that go beyond the basic "don't put them to bed with a bottle" advice you've probably heard a hundred times.
What's Inside This Guide
Understanding Milk Rot Teeth: It's a Process, Not an Event
Calling it "milk rot" makes it sound like milk is a corrosive acid. It's not. Here's the simple chemistry that causes the problem.
Everyone's mouth has bacteria. Harmless ones, and others like *Streptococcus mutans* that love sugar. When your baby drinks milk (breastmilk or formula), the natural sugar in it—lactose—sticks to their teeth. The bacteria throw a party, consuming the sugar and producing acid as waste.
Normally, saliva is the hero. It washes away some sugar and neutralizes acid. But during sleep, saliva production plummets. Now imagine: your baby falls asleep nursing or with a bottle. Milk pools around the teeth. Bacteria feast. Acid sits there, unchallenged, for hours. This acid bath slowly dissolves the mineral structure of the tooth enamel. Do this night after night, and you get rapid decay, often starting on the upper front teeth because that's where the milk pools.
The Night Feeding Dilemma: Navigating Comfort and Health
This is where theory meets the messy reality of parenting. Your baby associates feeding with comfort and sleep. Breaking that link feels impossible, especially when you're exhausted.
I get it. But here's the perspective shift: you're not taking away comfort. You're changing the delivery method of comfort to protect their health. The goal is to separate eating from sleeping.
A Practical Bedtime Routine Reset
Don't try to go cold turkey. Shift the last feeding earlier. The routine should be: Bottle/Breast → Burp → Brush (if teeth are present) → Book/Song/Cuddles → Bed. The feeding is now the beginning of the wind-down, not the final act before sleep.
If they wake at night and won't settle without feeding, that's a tougher habit. For babies over 6-9 months who are nutritionally fine, try offering a sip of water from a cup or a pacifier instead. The first few nights might be rough. Consistency is everything.
One mom I worked with, Sarah, had success by gradually diluting the nighttime bottle with water over a week until it was just water. Her son lost interest in waking up for it.
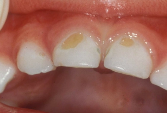
How to Spot Early Signs of Trouble
Catching this early is the difference between simple intervention and a filling. You need to know what to look for.
Lift your baby's lip in good light. Look at the teeth near the gumline, especially the upper front ones.
| What You See | What It Means | Action Required |
|---|---|---|
| Dull white spots or lines on the enamel | Demineralization. The enamel is weakened but not yet broken. This stage is potentially reversible. | Immediately improve hygiene, ensure fluoride exposure (tiny smear of toothpaste), and see a dentist for evaluation and possible fluoride varnish. |
| Yellowish or light brown staining | The decay is progressing. The enamel surface may be softening. | Dental visit needed within a week. The dentist can assess if it can be arrested or needs a filling. |
| Dark brown or black spots, visible holes (cavities) | Active decay. The tooth structure is compromised. | Schedule a dental appointment immediately. Waiting will lead to pain, infection, and more complex treatment. |
| Tooth looks worn down or broken | Advanced decay. The tooth may be infected. | This is a dental emergency. Infection can affect the developing permanent tooth below. |
Damage Control: Your Step-by-Step Action Plan
So you've seen a white spot or a stain. Don't panic. Here's what to do, in order.
Step 1: Audit the Habits. Write down your child's eating and drinking schedule for two days. Note every time they have milk or juice, especially close to nap or bedtime. Be honest with yourself. The data will show you the problem patterns.
Step 2: Implement the "No Bottle in Bed" Rule Tonight. Even if you have to sit with them to finish the bottle before brushing and bed. This is non-negotiable for stopping the progression.
Step 3: Supercharge Oral Hygiene. If you weren't brushing, start. Use a rice-grain-sized smear of fluoride toothpaste twice a day. Fluoride is crucial—it helps remineralize those early white spots. Wipe the teeth with a clean cloth after daytime feedings if you can't brush.
Step 4: Book a Dental Visit. Find a pediatric dentist (they're specialists in this). The American Academy of Pediatric Dentistry recommends the first visit by age one or when the first tooth appears. The dentist can apply a fluoride varnish to strengthen teeth and give you a personalized plan.
Your Real-World Prevention Plan (From First Tooth Onward)
Prevention is simpler than treatment. Build these habits early.
Before teeth erupt: Get them used to mouth cleaning. After feedings, wipe their gums with a soft, damp washcloth.
First tooth arrives: Get an infant toothbrush. Use that tiny smear of fluoride toothpaste. Brush gently twice a day. Make it fun—sing a song, let them hold a brush too.
Feeding strategy: Encourage drinking from a cup starting around 6 months. Try to wean off the bottle by 12-15 months. Avoid "sippy cups" with juice or milk for all-day grazing. They're just portable bottles for the teeth.
The 30-minute rule: If you can't brush after a feeding (like during the day on the go), try to offer a few sips of water to help rinse the mouth.
3 Common Myths That Put Baby Teeth at Risk
Let's bust these for good.
Myth 1: "Breastfeeding doesn't cause cavities." I wish this were true. While breastfeeding has many benefits, breast milk contains sugar (lactose). If a baby is nursing on-demand throughout the night as they get older and teeth are present, the risk for decay exists. The rules about not sleeping with pooled milk in the mouth apply to breastfeeding too.
Myth 2: "We don't have cavities in our family, so my baby is safe." Tooth decay is an infectious disease. The main cavity-causing bacteria (*S. mutans*) is often passed from parent to child through shared spoons, cleaning a pacifier with your mouth, or kisses. Your family history doesn't inoculate them against habits that create the perfect environment for decay.
Myth 3: "I use fluoride-free, natural toothpaste to be safe." This is a big one. When used correctly (a rice-grain amount for under 3s), fluoride toothpaste is safe and is the most effective way to strengthen tooth enamel against acid attacks. "Natural" toothpaste without fluoride removes plaque but does nothing to remineralize weakened enamel. It's like washing a car but not waxing it to protect the paint.

The bottom line is this: milk rot teeth is a preventable condition. It hinges on understanding the "why" behind the decay—the all-night acid bath—and having a practical plan to stop it. Start tonight. Move that last feeding, grab that rice-grain of fluoride toothpaste, and lift their lip to check. Those simple actions are more powerful than you think.
Leave a Reply