Guide Overview
- What Is a Dental Filling and Why Do You Need One?
- The Step-by-Step: What Happens During a Filling Procedure
- Choosing Your Cavity Filling Material: A Detailed Comparison
- How Much Does a Cavity Filling Cost? Breaking Down the Numbers
- After the Cavity Dental Filling: Recovery and Care
- Common Questions and Concerns About Dental Fillings
Let's talk about something most of us have faced or will face: a cavity. That little spot of decay your dentist finds during a check-up. It's not exactly news anyone wants to hear. I remember my first one – a mix of "oh no" and a sudden worry about drills, costs, and what exactly they were going to put in my tooth. The term "cavity dental filling" gets thrown around, but what does it really mean from start to finish?
This guide is here to walk you through the whole thing, no scare tactics, just clear info. We'll break down why you might need one, what actually happens in the chair (it's way less scary than you think these days), the different materials you can choose from, what it might cost, and how to take care of things afterward. Consider this your one-stop shop for making an informed decision about your dental health.
What Is a Dental Filling and Why Do You Need One?
Simply put, a filling is a material used to fill a cavity left after your dentist removes the decayed part of your tooth. It's like a biocompatible patch. But the "why" is more important.
Tooth decay doesn't heal itself. Once bacteria have created a cavity, the process will continue, eating through the enamel into the softer dentin, and eventually reaching the nerve (the pulp). That's when you go from needing a simple filling to possibly a root canal and a crown – a much more involved and costly treatment.
A filling stops that progression.
How do you know you need one? Sometimes there are zero symptoms early on. That's why regular check-ups are crucial. Other times, you might notice:
- A toothache or spontaneous pain.
- New sensitivity to hot, cold, or sweet things.
- A visible hole or dark spot on a tooth.
- Food getting stuck constantly in one particular spot.
- Floss that keeps shredding or catching between two teeth.

The Step-by-Step: What Happens During a Filling Procedure
Okay, so you've booked the appointment. Here’s a play-by-play of what typically happens during a cavity dental filling procedure. Knowing the steps can really take the edge off the anxiety.
1. Numbing the Area (Usually)
For most fillings, especially if the decay is beyond the very surface, your dentist will use a local anesthetic. They'll likely apply a topical gel first to numb the gum, so you barely feel the tiny pinch of the injection. This part is honestly the worst for most people, and it's over in seconds. The feeling of numbness is strange, but it means you won't feel pain during the procedure.
2. Removing the Decay
Once you're numb, your dentist will use a drill (a high-speed handpiece) or sometimes a laser to remove all the decayed tooth structure. The sound is the most off-putting part for many. It's a high-pitched whirring. The sensation is vibration and pressure, but no sharp pain if you're properly numb. The key here is that the dentist removes all the decay. Leaving any behind is a recipe for failure under the new filling.
3. Preparing the Space
After the decay is gone, the dentist shapes the clean cavity to best hold the filling material. They'll also thoroughly clean the area to remove any debris or bacteria.
A little dry mouth.
You'll have various tools in your mouth – a suction device, maybe little cotton rolls, and a rubber dam (a thin sheet of rubber that isolates the tooth to keep it clean and dry). This part is all about setting the stage for a strong, long-lasting bond.
4. Placing the Filling Material
This step varies wildly depending on the material chosen (we'll get to those next). For a common tooth-colored composite filling, the dentist will apply the material in layers, using a special blue light to harden (cure) each layer. For an amalgam (silver) filling, the material is mixed and packed into the cavity where it hardens on its own.
5. Shaping and Polishing
Once the material is set, the dentist will trim off any excess, check your bite using that carbon paper you chomp down on, and adjust the shape so it feels perfectly natural against your opposing teeth. Finally, they polish it to a smooth finish. And that's it! The whole cavity dental filling process for a single, straightforward cavity often takes 20 to 45 minutes.
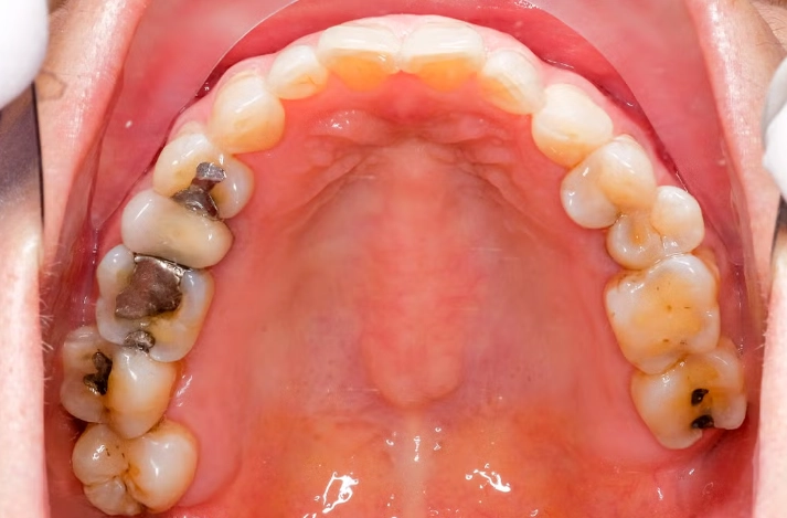
Choosing Your Cavity Filling Material: A Detailed Comparison
This is where you have choices. Your dentist will recommend the best option based on the cavity's size, location, and your personal needs (like aesthetics or budget), but it's good to know your options. The landscape has changed a lot from the days when it was just "silver or gold."
| Material | Common Names | Best For | Pros | Cons | Estimated Longevity |
|---|---|---|---|---|---|
| Composite Resin | Tooth-colored, white filling | Front teeth, small to medium cavities in visible areas | Matches tooth color, bonds directly to tooth (less drilling), repairs easily | Can stain over time, may not be as durable for large chewing surfaces, technique-sensitive | 5 to 10+ years |
| Dental Amalgam | Silver filling | Large cavities in back teeth (molars), areas not visible | Very durable, withstands chewing forces well, less expensive, less technique-sensitive | Not aesthetic, requires more tooth structure removal, contains mercury (though the ADA states it's safe) | 10 to 15+ years |
| Glass Ionomer | Glass fillings | Small cavities at the gumline, baby teeth, temporary fillings | Releases fluoride (helps prevent further decay), bonds well to tooth | Less durable, more prone to wear and fracture | 5 years or less |
| Gold Inlay/Onlay | Gold filling | Large cavities where strength is paramount, patients not concerned with aesthetics | Extremely durable, biocompatible, well-tolerated by gums | Very high cost, requires multiple visits, very noticeable | 15 to 30+ years |
| Ceramic/Porcelain | Ceramic inlay/onlay | Larger cavities in visible areas where strength and aesthetics are key | Excellent aesthetics, stain-resistant, very durable | High cost, can be brittle, requires multiple visits, may wear opposing teeth | 10 to 15+ years |
The American Dental Association (ADA) maintains a useful resource on dental amalgam safety and alternatives, which is worth a look if you're concerned about material choices.
So, which is the best? There's no single winner. For a small cavity on a front tooth, composite is the obvious choice. For a large cavity on a back molar that takes a pounding, amalgam or a ceramic/gold onlay might be the most durable long-term investment, even if the upfront cost is higher. It's a classic trade-off between aesthetics, durability, and cost.
How Much Does a Cavity Filling Cost? Breaking Down the Numbers
Let's talk money, because this is a major factor. The cost of a cavity dental filling isn't a fixed number. It's a sliding scale based on several things.
First, the material is the biggest driver. A one-surface composite resin filling will cost less than a multi-surface one. Amalgam is generally the least expensive permanent option. Glass ionomer is often cheaper but temporary. Ceramic and gold are premium, lab-fabricated options that cost several times more, sometimes approaching the price of a crown.
Second, the size and number of surfaces involved. A tiny pit cavity on the chewing surface is a one-surface filling. A cavity that wraps around between two teeth involves two surfaces. More surfaces = more material and time = higher cost.
Third, where you live and your dentist's fees. Urban areas and coastal cities typically have higher costs of living, which translates to higher dental fees.
Fourth, dental insurance. Most plans cover preventive care and basic procedures like fillings, but they often have a preference. Many plans will cover 80% of the cost for an amalgam filling but only 50% for a composite resin on a back tooth, considering it a "cosmetic" upgrade. You must check your plan's details.
To give you a very rough ballpark (without insurance, and prices vary wildly):
- Amalgam (Silver) Filling: $100 - $250 per filling.
- Composite (Tooth-Colored) Filling: $150 - $400 per filling.
- Ceramic/Gold Inlay/Onlay: $800 - $2,500+ per tooth.
Always get a pre-treatment estimate.
If you have insurance, ask your dentist's office to submit a pre-treatment estimate. This tells you exactly what your out-of-pocket cost will be. If you don't have insurance, ask about cash discounts or payment plans. Many offices offer them.
After the Cavity Dental Filling: Recovery and Care
The procedure is done, the numbness is wearing off. Now what? Proper aftercare ensures your filling lasts and you stay comfortable.
Immediately After (The First Few Hours)
Your mouth will be numb for 1-3 hours. Be careful not to bite your cheek, lip, or tongue. Avoid hot drinks until sensation returns so you don't burn yourself. It's wise to eat only soft foods until the anesthetic fully wears off.
Potential Sensitivity
It's completely normal to have some sensitivity to hot, cold, or pressure for a few days to a couple of weeks after a cavity dental filling. The tooth has been through a trauma. Using a toothpaste for sensitive teeth can help a lot. If the sensitivity is severe or turns into a constant throbbing pain, call your dentist. It could mean the filling is too high (an easy adjustment) or, rarely, that the nerve was irritated and needs further evaluation.
Long-Term Care for Your Filling
A filling isn't a "fix it and forget it" deal. It's a restoration that needs to be maintained.
- Oral Hygiene is Non-Negotiable: Brush twice daily with fluoride toothpaste and floss once a day. Decay can still form at the margins where the filling meets the tooth. This is called "recurrent decay" and is a common reason fillings fail.
- Mind Your Bite: If anything feels "off" when you bite down – a high spot, a sharp edge – go back and have your dentist adjust it. A high filling can cause pain and even crack your tooth over time.
- Avoid Extreme Forces: Don't use your teeth as tools (to open bottles, tear packages). Be mindful of habits like chewing ice, hard candies, or pens, which can crack both natural teeth and fillings.
- Regular Check-ups: Your dentist will check the integrity of your fillings at every cleaning and exam, looking for wear, cracks, or signs of new decay around them.
According to the Centers for Disease Control and Prevention (CDC), untreated tooth decay remains highly prevalent, making proper restoration and follow-up care a critical part of public health.
Common Questions and Concerns About Dental Fillings
With modern local anesthetics, the procedure itself should not be painful. You'll feel pressure and vibration, but not sharp pain. The most common "pain" is the initial pinch of the needle. Afterward, as the numbness wears off, some sensitivity is normal, as mentioned.
It depends heavily on the material, the size of the filling, your oral hygiene, and your habits (like grinding). Amalgam and gold are the longevity champions, often lasting 15 years or more. Composite fillings typically last 5-10 years with good care. They don't last forever and will eventually need replacement due to wear or new decay.
For very early, surface-level decay that hasn't yet cavitated (created an actual hole), a dentist might use a technique called resin infiltration or apply a high-concentration fluoride varnish to try and remineralize the area. But once there's a physical cavity, the decayed structure must be removed, and that requires a drill, laser, or air abrasion tool. There's no magical material that can just be painted over active decay to fix it.
Sometimes, especially with older composite techniques, you might see a faint white line around the edge of the filling. This can be due to dehydration of the tooth during the procedure or a slight mismatch in the material's optical properties. It often lessens over time. Newer materials and bonding techniques have made this much less common.
Don't panic, but don't ignore it. Call your dentist to schedule a repair as soon as possible. The tooth is now unprotected and vulnerable to new decay and fracture. Avoid chewing on that side, and try to keep the area clean. It's a temporary fix, but you can sometimes find dental cement or temporary filling material at a pharmacy to cover the hole until your appointment.
For small cavities, no, a filling is the standard. But if the decay is extensive and has compromised the structural integrity of the tooth, a filling might not be strong enough. In those cases, the alternatives are:
- Dental Crown (Cap): Covers the entire tooth. Used when too much of the natural tooth is gone.
- Inlay/Onlay: As discussed, these are indirect, lab-made restorations that fit into or onto the tooth. They are more conservative than a crown but stronger than a large filling for bigger cavities.
- Root Canal Therapy: Needed if the decay has reached the nerve, causing infection and irreversible pulp damage. This is followed by a crown.
Getting a cavity dental filling is a routine part of maintaining oral health for millions of people. The technology and materials are better than ever, making the process more comfortable and the results more natural-looking and long-lasting. The key is not to fear the treatment but to understand it. Ask your dentist questions. Discuss the material options and costs openly. Be proactive about your aftercare.
Your smile will thank you.
By addressing the cavity promptly with an appropriate filling, you're making a smart investment in your health, avoiding pain, and preserving your natural tooth for years to come. That's the real goal of any cavity dental filling procedure – to keep you smiling, comfortably, for a lifetime.
Leave a Reply