Quick Navigation
- What Exactly Is a Dental Abscess, Anyway?
- Spotting the Enemy: Symptoms You Can't Miss
- The Professional Playbook: How Dentists Get Rid of a Dental Abscess
- Comparing Your Treatment Options
- The Home Care Zone: What You Can Do While Waiting for the Dentist
- The "Do Not Try This at Home" List
- Prevention: How to Avoid This Nightmare in the First Place
- Your Questions, Answered
- Wrapping It Up: Your Action Plan
Let's be honest, a tooth abscess is one of those things you don't think about until it's screaming for attention. You're going about your day, and then bam – a throbbing, relentless pain in your jaw that feels like it has its own heartbeat. I've been there, and it's miserable. It's not just a simple toothache; it's an infection that's set up camp deep in your tooth or gums, and it's not leaving without a fight. So, if you're sitting there searching "how do you get rid of a dental abscess," you've come to the right place. We're going to walk through this step-by-step, from recognizing the beast to the professional treatments that actually work, and what you can (and absolutely should not) do at home.
The Bottom Line Up Front: The only definitive way to get rid of a dental abscess is to see a dentist. They need to remove the source of the infection, which usually means a root canal, a drainage procedure, or an extraction. Home remedies are for temporary pain relief only, not a cure. Ignoring it is dangerous.
What Exactly Is a Dental Abscess, Anyway?
Before we dive into how to get rid of it, let's understand what we're dealing with. A dental abscess is a pocket of pus caused by a bacterial infection. Think of it as a small, painful balloon of infection. It can form in different spots:
- Periapical Abscess: This one forms at the very tip of the tooth's root. It usually happens when a cavity is left untreated for too long, and the bacteria drill their way down through the enamel and dentin, finally infecting the soft pulp inside. That's the nerve and blood vessel center of the tooth.
- Periodontal Abscess: This type starts in the gums and the bone next to the tooth root, often from advanced gum disease (periodontitis). It's more common if you have deep pockets between your teeth and gums where bacteria thrive.
- Gingival Abscess: This is confined to the gum tissue itself, not involving the tooth or bone. Sometimes it's caused by something like a popcorn hull or a sharp piece of food getting stuck in the gum.
The body's immune system sends white blood cells to fight the bacteria, and the resulting mixture of dead cells, tissue, and bacteria is pus. That pus needs an exit, but trapped inside the jaw, it builds up pressure. And that pressure? That's where the infamous, can't-ignore-it, throbbing pain comes from.
A quick note from someone who's been through this: I once tried to "wait out" a dull ache in my back molar. Big mistake. It escalated over a weekend into a pain so severe I couldn't sleep or think straight. The relief I felt after the dentist drained it was immediate and profound. Don't be like me. Don't wait.
Spotting the Enemy: Symptoms You Can't Miss
Knowing the symptoms is half the battle. Sometimes an abscess can be sneaky, but usually, it makes its presence known loud and clear.
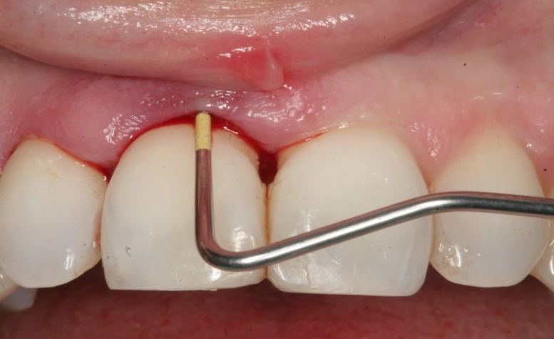
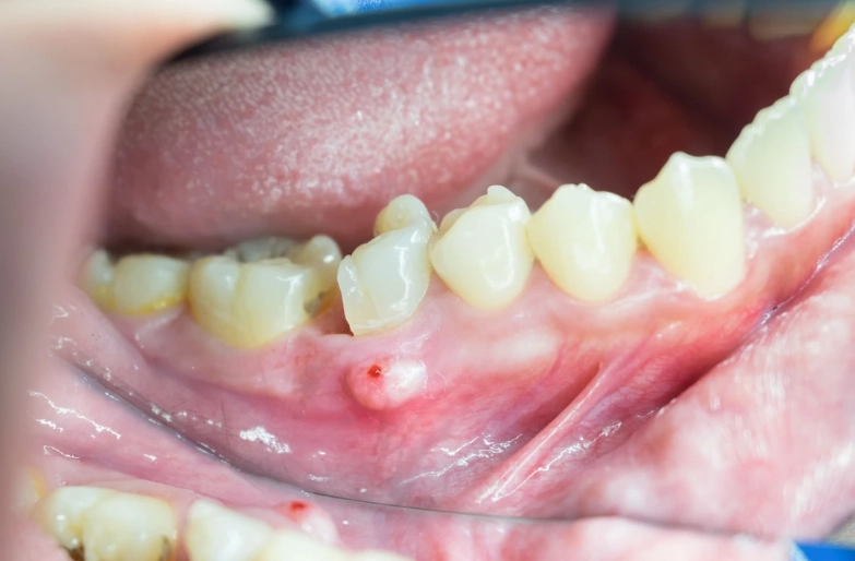
The classic, unmistakable sign is a severe, persistent, throbbing toothache. The pain might radiate to your jawbone, neck, or ear. It often gets worse when you lie down, because of the increased blood pressure to your head. You might have sudden, sharp pain when you bite down or apply any pressure to the tooth. The area around the tooth and your face might become visibly swollen. I'm talking about a swollen cheek or jaw that looks like you're storing a golf ball in there. The gums around the tooth will often be red, swollen, and tender to the touch. Sometimes they'll have a shiny, stretched look.
Here's a less pleasant one: you might notice a pimple-like bump on your gums near the painful tooth. This is called a "gum boil" or parulis. If you press it gently (and I mean gently), you might see pus ooze out. That's a surefire sign of an abscess draining on its own, but it doesn't mean the infection is gone. The tooth itself might become sensitive to hot and cold temperatures, though sometimes as the nerve dies, this sensitivity goes away, which is not a good sign. You could develop a fever, feel generally unwell, and have a persistent bad taste in your mouth or foul-smelling breath from the draining pus.
Red Alert Symptoms – Go to an Emergency Room or Dentist Immediately: If you have a fever, difficulty swallowing or breathing, rapid heart rate, confusion, or swelling that is spreading rapidly down your neck or under your jaw (Ludwig's Angina), this is a medical emergency. The infection can spread to your bloodstream (sepsis) or to other areas like your brain or heart. This is rare, but it's deadly serious. Don't gamble with this.
The Professional Playbook: How Dentists Get Rid of a Dental Abscess
Alright, this is the core of it. How do you get rid of a dental abscess for good? You get professional dental treatment. The goal is always the same: drain the pus and eliminate the source of the infection. Here’s how they do it.
Incision and Drainage (I&D)
This is often the first step, especially if there's significant swelling and a visible collection of pus. The dentist will numb the area (thank goodness for local anesthesia) and make a small cut in the abscess to let the pus drain out. The relief from pressure is almost instant. They'll then flush the area with a saline solution to clean it out. Sometimes they'll place a small rubber drain for a day or two to keep the pathway open so any remaining pus can continue to drain.
Root Canal Treatment
This is the gold standard treatment for saving a tooth with a periapical abscess (the one at the root tip). The idea is to remove the infected pulp tissue from inside the tooth, clean and disinfect the entire root canal system, and then seal it up. Contrary to its scary reputation, a modern root canal is no more uncomfortable than getting a large filling. Here’s the basic rundown:
- The dentist numbs the area completely.
- They create a small opening in the top of the tooth to access the pulp chamber.
- Using tiny files, they remove the infected or dead pulp, clean, and shape the root canals.
- The canals are disinfected and then filled with a biocompatible material called gutta-percha.
- The opening is sealed with a temporary or permanent filling. Often, a crown is recommended later to protect the now-weakened tooth.
A root canal directly addresses the source of the infection inside the tooth. It's how you get rid of a dental abscess while keeping your natural tooth. The American Association of Endodontists (the root canal specialists) has a great, patient-friendly resource on this process that explains it in detail. You can find it on their official website, aae.org.
Tooth Extraction
Sometimes, the tooth is too damaged, broken, or decayed to be saved. If that's the case, the dentist will recommend pulling the tooth. This removes the entire source of the infection in one go. After the extraction, the pus can drain from the socket, and the infection will clear with proper aftercare (and usually antibiotics). While losing a tooth isn't ideal, it's sometimes the most straightforward and cost-effective way to eliminate the problem and prevent it from coming back in that spot.
Antibiotics: The Supporting Actor, Not the Star
This is a crucial point that people often get wrong. Antibiotics alone cannot cure a dental abscess. Why? Because the source of the infection—the dead pulp tissue or the deep gum pocket—is a physical structure that the antibiotics can't effectively penetrate and clean out. The bacteria are walled off inside.
Dentists prescribe antibiotics in specific situations: if the infection has spread to surrounding tissues (cellulitis), if you have a fever or systemic symptoms, or if you have a weakened immune system. They are used to help contain the spread of infection while you are waiting for or recovering from the definitive treatment (drainage, root canal, or extraction). The Mayo Clinic's patient information pages are a reliable source for understanding the role of antibiotics in bacterial infections like this.
So, asking "how do you get rid of a dental abscess with just antibiotics?" is asking the wrong question. You need the physical treatment.
Comparing Your Treatment Options
It can be confusing. Here's a quick breakdown to make it clearer.
| Treatment | Best For | What It Does | Key Consideration |
|---|---|---|---|
| Incision & Drainage (I&D) | Immediate relief from a large, painful abscess with swelling. | Releases pus and pressure immediately. Often a first step before definitive treatment. | Provides temporary relief but does not fix the underlying cause. Further treatment is always needed. |
| Root Canal Therapy | A salvageable tooth with an infection in the pulp (periapical abscess). | Removes infected pulp, cleans the tooth's interior, seals it, and saves the natural tooth. | Preserves your natural tooth structure. Usually requires a crown afterward for long-term strength. |
| Tooth Extraction | A severely damaged, decayed, or loose tooth that cannot be saved. | Removes the entire tooth and the source of the infection. | Permanent solution for that tooth. Requires discussion about replacing the missing tooth (implant, bridge, etc.). |
| Periodontal Treatment | Abscesses caused by gum disease (periodontal abscess). | Deep cleaning (scaling and root planing) to remove tartar and bacteria from deep gum pockets. | Focuses on treating the underlying gum disease to prevent future abscesses. |
The Home Care Zone: What You Can Do While Waiting for the Dentist
Let's say you've called the dentist, but your appointment is in two days. The pain is real. What can you do to manage it? Remember, these are pain management and comfort measures only. They do not cure the abscess.
- Over-the-Counter Pain Relievers: Ibuprofen (Advil, Motrin) or naproxen (Aleve) are usually more effective for dental pain and swelling than acetaminophen (Tylenol) because they are anti-inflammatories. Always follow the label directions and check with your doctor if you have any conditions that prevent you from taking them.
- Salt Water Rinse: This is my personal go-to. Dissolve half a teaspoon of table salt in a cup of warm water. Swish it gently around the affected area for 30 seconds and spit. Do this several times a day. It helps soothe the gums, draws out some fluid, and keeps the area clean. It's simple, cheap, and surprisingly effective for temporary relief.
- Cold Compress: Hold a cold pack or a bag of frozen peas wrapped in a thin towel against the outside of your cheek, over the painful area. Do this for 15 minutes on, 15 minutes off. It helps numb the area and reduce swelling.
- Elevate Your Head: When sleeping or resting, use an extra pillow. Keeping your head elevated reduces blood pressure to the area, which can lessen that intense throbbing.
- Avoid Trigger Foods: Stay away from extremely hot, cold, sweet, or hard foods and drinks. Stick to lukewarm, soft foods like yogurt, applesauce, or mashed potatoes. Chew on the opposite side of your mouth.
I remember mixing salt water rinses with timed ibuprofen to get through a long night before an emergency dental visit. It took the edge off just enough to let me doze for a few hours. It's not a solution, but it's a lifeline.
The "Do Not Try This at Home" List
Some internet advice is downright dangerous. Let's clear this up.
Do not, under any circumstances, try to pop or lance the abscess yourself with a needle, pin, or any sharp object.
You are not sterile. You will introduce more bacteria, likely make the infection worse, and could cause serious damage. You could also push the infection deeper into your tissues. Just don't.
Do not place aspirin or any other painkiller directly on the gum or tooth.
This is an old wives' tale that can cause a chemical burn on your sensitive gum tissue (aspirin burn). It doesn't help the pain inside the tooth.
Do not rely on essential oils, garlic, or other "natural cures" to eliminate the infection.
They might have mild antibacterial properties, but they cannot penetrate and clean out the sealed-off infection in an abscess. Using them as a substitute for professional care is a recipe for disaster.
Do not ignore it because the pain suddenly stops.
If the throbbing stops, it might mean the nerve inside the tooth has died or the abscess has found a drainage path. The infection is still there, silently destroying bone. It will come back, often worse.
Prevention: How to Avoid This Nightmare in the First Place
Once you've been through it, you never want to go through it again. Here’s how to stack the odds in your favor.
This is non-negotiable. Brush twice a day with fluoride toothpaste and floss daily. It removes the plaque film where bacteria live. See your dentist for cleanings and check-ups at least twice a year. They can catch a small cavity long before it turns into an abscess. If you have a cavity, get it filled promptly. A small filling is cheaper, easier, and infinitely less painful than a root canal or extraction later. If you have gum disease, follow your dentist's or periodontist's treatment plan. Managing gum health prevents periodontal abscesses. If you grind or clench your teeth (bruxism), talk to your dentist about a night guard. The stress on teeth can sometimes lead to cracks and subsequent infection.
Honestly, I became a flossing fanatic after my ordeal. The few minutes a day is nothing compared to the pain and expense of an abscess.
Your Questions, Answered
Can a dental abscess go away on its own?
No. The infection might temporarily drain on its own through the gum (that gum boil), which can relieve pressure and pain. But the source of the infection—whether it's dead pulp inside the tooth or deep tartar under the gums—remains. It's like having a splinter. The redness might go down a bit, but the splinter is still in there, and the infection will flare up again. You must get professional treatment to remove the source.
How long does it take to get rid of a dental abscess with treatment?
The pain relief is often immediate after drainage or a root canal starts. The infection itself starts resolving within 24-48 hours of the source being removed, especially if you're on a prescribed course of antibiotics. The swelling takes a few days to go down completely. The tooth or extraction site will take weeks to heal fully.
Is it safe to wait a few days if the pain is mild?
This is a gamble I don't recommend. A "mild" dental abscess is often a progressing infection. It can worsen rapidly. What seems manageable on a Tuesday can become a swollen-face emergency by Thursday. Earlier treatment is almost always simpler, cheaper, and more successful. Call your dentist at the first sign of persistent pain or swelling.
What happens if a dental abscess bursts in your mouth?
You'll taste a sudden rush of foul, salty fluid (pus). The pain may decrease significantly because the pressure is released. This is not a cure. Rinse your mouth gently with warm salt water. You still must see a dentist as soon as possible to treat the underlying cause. The burst opening can sometimes close up, trapping the infection inside again.
How much does it cost to get rid of a dental abscess?
Costs vary wildly based on location, the procedure needed, and your insurance. An extraction is usually the least expensive option. A root canal followed by a crown is a significant investment but saves the tooth. An incision and drainage is a separate procedure with its own cost. The key point: treating it early (a simple filling) costs a fraction of treating an advanced abscess (root canal + crown). Delaying always costs more, both in money and health.
Wrapping It Up: Your Action Plan
So, let's bring it all home. If you suspect you have a dental abscess, here is your step-by-step action plan for how to get rid of a dental abscess effectively and safely.
- Call Your Dentist Immediately. This is step one. Don't email, don't think about it. Call and explain your symptoms. Most dental offices have protocols for handling painful emergencies and will get you in quickly.
- Manage Pain at Home While You Wait. Use OTC ibuprofen as directed, do warm salt water rinses, and use a cold compress on your cheek. Stick to soft foods.
- Go to Your Appointment. Let the dentist examine and take an X-ray. They will diagnose the type and extent of the abscess.
- Discuss and Agree on a Treatment Plan. Listen to their recommendation (root canal vs. extraction, etc.). Ask questions about the process, cost, and long-term outlook.
- Undergo the Definitive Treatment. Whether it's drainage, a root canal, or an extraction, this is the procedure that will actually solve the problem.
- Follow Aftercare Instructions to the Letter. Take any prescribed medications as directed. Keep the area clean. Attend any follow-up appointments.
- Commit to Prevention. Learn from the experience. Ramp up your oral hygiene and keep up with regular dental visits to prevent a repeat performance.
Getting rid of a dental abscess isn't fun, but it's straightforward with professional help. The pain is temporary. The relief is real. And the peace of mind knowing the infection is gone is priceless. Take care of your teeth—they're the only set you get.
Leave a Reply