Quick Guide
- The #1 Pathway: How Bacteria Invade Your Tooth
- Meet the Bacteria: Who's Actually in There?
- Risk Factors: What Makes You More Likely to Get One?
- What Does a Tooth Abscess Feel and Look Like? The Red Flags
- How is a Tooth Abscess Diagnosed and Treated?
- Prevention: How to Stop an Abscess Before It Starts
- Common Questions People Ask (and Straight Answers)
Alright, let's talk about tooth abscesses. If you've ever had one, or know someone who has, you don't need me to tell you how miserable they are. That throbbing, unrelenting pain that feels like it's taken over your entire jaw. The swelling that makes your face look like you've been in a fight. The sheer panic of not knowing what's happening inside your mouth.
I remember a friend describing his abscess as a "tiny, angry volcano" under his tooth. Not a bad description, actually.
So, what is the main cause of tooth abscess? If I had to give you the one-sentence, bottom-line answer, it's this: A tooth abscess is primarily caused by a bacterial infection that has worked its way deep into the center of a tooth or the surrounding gum and bone. The bacteria set up shop, multiply, and your body's immune response to fight them creates a pocket of pus—the abscess.
But that's just the headline. The real story is how those bacteria get there in the first place. It's rarely a single, dramatic event. It's usually a slow, sneaky process of neglect, minor damage, or a problem that was ignored for too long. Let's peel back the layers and see what's really going on.
Think of it this way: Your tooth isn't a solid rock. It has layers. The hard, white enamel on the outside, a softer layer of dentin underneath, and right in the very core, a soft tissue called the pulp. The pulp houses the tooth's nerve and blood vessels. It's the tooth's lifeline. When bacteria breach the outer defenses and reach the pulp, that's when the real trouble—an abscess—often begins.
The #1 Pathway: How Bacteria Invade Your Tooth
You're probably wondering, "How do bacteria even get inside a tooth? It's supposed to be sealed, right?" Good question. A healthy tooth is well-protected. But life (and our habits) create openings. Here are the main gateways for the bacterial invasion that leads to an abscess.
The Usual Suspect: Untreated Tooth Decay (Cavities)
This is, hands down, the most common answer to what is the main cause of tooth abscess. It's a slow-motion disaster.
It starts with plaque—that sticky film of bacteria on your teeth. When you eat sugar or carbs, these bacteria produce acid. The acid eats away at your enamel, creating a tiny hole (a cavity). If you don't get that cavity filled, the hole gets bigger and deeper. It tunnels through the enamel, into the dentin, and finally, into the pulp chamber.
Once bacteria hit the pulp, it's game on. The pulp gets inflamed (that's pulpitis, which causes toothache). If still untreated, the bacteria kill the pulp tissue. The infection doesn't stop there. It travels through the tiny opening at the tip of the tooth root (the apex) and into the jawbone. Your body walls off the infection with immune cells and pus, forming an abscess at the root tip. Dentists call this a periapical abscess.
This process can take months or even years. It's why regular checkups are so crucial—they catch the decay before it becomes an abscess.
A personal observation: I've seen people ignore a cavity because it "doesn't hurt." But here's the scary part—once decay reaches the pulp and kills the nerve, the sharp pain might temporarily stop. You might think the problem fixed itself. It didn't. The infection is now silently spreading into the bone, and the next pain you feel will be the abscess forming. That's a much bigger, more urgent problem.
The Sneaky Culprit: Gum Disease (Periodontitis)
While decay attacks from the top down, gum disease attacks from the bottom up. This is the second major pathway.
Gingivitis (inflamed, bleeding gums) can progress to periodontitis. In periodontitis, the bacteria in plaque cause your gums to pull away from the teeth, forming deep pockets. These pockets get infected. Over time, the infection destroys the bone and ligament that hold your tooth in place.
An abscess can form in these deep gum pockets and the surrounding bone, right next to the tooth root. This is called a periodontal abscess. It's often associated with a loose tooth. Interestingly, with this type, the tooth's pulp might still be alive and healthy, because the infection came from the outside, not through the tooth itself.
According to the National Institute of Dental and Craniofacial Research (NIDCR), periodontitis is a major public health issue. It doesn't just threaten your teeth; it's linked to broader health problems. Letting gum disease fester is a direct ticket to potential abscess territory.
The Sudden Trauma: Cracked, Chipped, or Injured Teeth
This one can be fast. A hard blow to the mouth, biting down on something unexpectedly hard (an olive pit, a popcorn kernel, you name it), or even years of clenching and grinding (bruxism) can crack a tooth.
A crack can create a direct highway for bacteria from your mouth straight into the pulp. Sometimes the crack is so small you can't even see it, but bacteria are microscopic—they find their way in. The infection process then follows the same path as a deep cavity.
I once chipped a tooth on a beer bottle (not my finest moment). I thought, "It's just a small chip, it's fine." A few months later, a dull ache started. The dentist showed me on the X-ray how a nearly invisible hairline fracture from the chip had allowed bacteria to travel in and infect the pulp. Lesson painfully learned.
The Hidden Risk: Failed Dental Work
This is a tough one to talk about, but it's real. Sometimes, a previously filled tooth or a tooth with a crown can develop an abscess. How?
- A filling or crown can develop a tiny gap or leak over time, letting bacteria seep underneath.
- During a deep filling, the pulp might have been irritated or exposed without the dentist realizing it at the time.
- In a very small number of cases, a root canal treatment might not fully remove all the infected tissue or might not seal the tooth perfectly, allowing bacteria to persist.
It's not common, but it's a reminder that dental work needs monitoring and that even treated teeth aren't invincible.
Meet the Bacteria: Who's Actually in There?
It's not just one type of bacteria. It's usually a mixed bag of oral microbes that seize the opportunity. Common ones include:
| Bacteria Type | Why It's a Problem | Common Source |
|---|---|---|
| Streptococcus species | Often the initial colonizers; they start the decay process by producing acid. | Plaque on teeth surfaces. |
| Prevotella and Porphyromonas | Anaerobic bacteria (thrive without oxygen) that are major players in advanced gum disease and abscesses. | Deep gum pockets in periodontitis. |
| Fusobacterium | Another anaerobic bacteria commonly found in dental infections; they help other bacteria stick around. | Oral biofilm, infected root canals. |
| Enterococcus faecalis | Notorious for being tough to eliminate and often associated with failed root canals. | Can sometimes enter through leaks or during dental procedures. |
These bacteria don't just sit there. They form a complex community (a biofilm) that's highly resistant to both your immune system and antibiotics. This is why draining the abscess and physically removing the source of infection (like with a root canal or extraction) is often necessary—antibiotics alone usually can't clean it up.
Risk Factors: What Makes You More Likely to Get One?
Knowing the cause is one thing. Understanding what puts you at higher risk helps you take action. It's not just about bad luck.
- Poor Oral Hygiene: This is the big one. Not brushing and flossing regularly lets plaque build up, which is the starting gun for both decay and gum disease.
- High-Sugar Diet: Frequent snacking on sugary foods or drinks provides a constant fuel supply for acid-producing bacteria.
- Dry Mouth (Xerostomia): Saliva is your mouth's natural cleaner and neutralizer. Conditions like Sjögren's syndrome, certain medications (antidepressants, antihistamines, diuretics), or cancer treatments can reduce saliva, dramatically increasing decay risk. The American Dental Association (ADA) has extensive resources on managing dry mouth.
- Previous Dental Work or Trauma: As mentioned, older fillings, crowns, or cracks are potential weak spots.
- Weakened Immune System: Conditions like diabetes, HIV/AIDS, or undergoing chemotherapy make it harder for your body to fight off any infection, including a dental one. Diabetics, in particular, need to be vigilant, as high blood sugar can worsen gum disease and impair healing.
- Smoking/Tobacco Use: Smokers have a much higher rate of gum disease, which is a direct path to periodontal abscesses. It also impairs blood flow, slowing healing.
See a pattern? Most of these factors are within your control to some degree. That's the good news.
What Does a Tooth Abscess Feel and Look Like? The Red Flags
You might be reading this because you're worried you have one. Here's what to look for. The symptoms can range from obvious to subtle, but they tend to get worse over time.
The Unmistakable Signs:
- Severe, Throbbing Toothache: This pain can radiate to your jawbone, neck, or ear. It's often persistent and may worsen when you lie down.
- Pain When Chewing or Pressing on the Tooth: Even slight pressure can cause sharp pain.
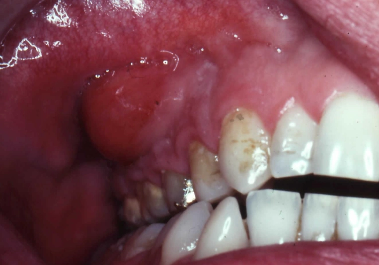
- Swelling: In your face, cheek, or under your jaw. The gum around the tooth may be red, swollen, and shiny.
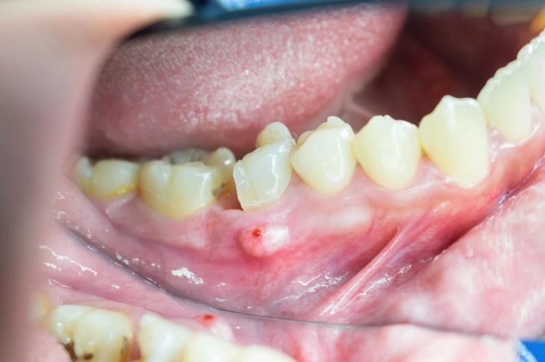
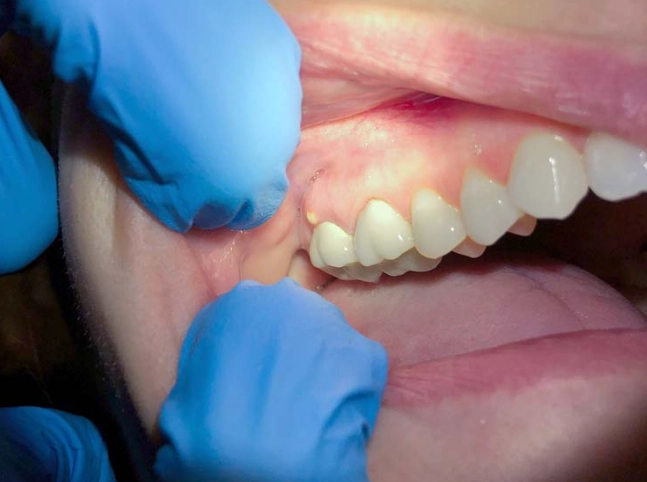
- A Pimple on the Gums: A small, painful bump (a "gumboil" or parulis) on the gum near the tooth root. It might ooze pus, which can taste salty or bitter and temporarily relieve pain.
- Tooth Sensitivity: Extreme sensitivity to hot or cold temperatures, even after the stimulus is removed.
- Fever: Your body's systemic response to the infection.
- Swollen Lymph Nodes: Under your jaw or in your neck.
But here's a critical warning.
If the swelling spreads to your floor of mouth, under your tongue, or into your neck, or if you have trouble breathing or swallowing, this is a medical emergency called Ludwig's Angina. Go to an emergency room immediately. The infection can block your airway. This is rare, but it's the reason dentists take abscesses so seriously.
Also, if the pain suddenly stops, don't assume you're healed. It might mean the pulp has died. The infection is still active in the bone and can flare up worse than ever.
How is a Tooth Abscess Diagnosed and Treated?
You can't wish this away. You need a dentist. Here's what will likely happen.
Diagnosis: It's More Than Just a Look
The dentist will ask about your symptoms and examine your mouth, likely tapping on your teeth (a tender tooth is a clue). The real key is an X-ray. It can show the dark shadow of bone loss around the tip of an infected root, revealing the abscess that you can't see. For gum-related abscesses, they may use a periodontal probe to measure pocket depths.
Treatment: Getting Rid of the Infection
The goal is to drain the pus and eliminate the source of the bacteria. The treatment depends on the type and severity of the abscess.
- Drainage: The dentist may make a small incision in the gum to let the pus drain, which gives immediate pain relief.
- Root Canal Treatment: This is the standard, tooth-saving treatment for a periapical abscess. The dentist removes the infected pulp from inside the tooth, cleans and disinfects the inner chambers, and then fills and seals them. A crown is usually placed later to protect the now-weaker tooth. The American Association of Endodontists (AAE) has excellent patient-friendly explanations of this process.
- Tooth Extraction: If the tooth is too badly damaged to save, or if you can't afford a root canal/crown, extraction removes the tooth and the source of infection. The abscess will drain through the socket.
- Periodontal Treatment: For a gum abscess, deep cleaning (scaling and root planing) below the gumline is needed. In severe cases, periodontal surgery might be required.
- Antibiotics: These are not a cure by themselves. They are used as a supporting tool if the infection has spread (fever, swelling), or if you have a weakened immune system. The dentist will choose an antibiotic effective against the mix of bacteria typically found in dental infections.
Let's be clear: a course of antibiotics might calm things down temporarily, but if you don't address the physical source of the bacteria (the dead pulp, the deep pocket, the crack), the abscess will come back. I've heard too many stories of people cycling through antibiotics without solving the real problem.
Prevention: How to Stop an Abscess Before It Starts
This is the most important part of all. Since we know what is the main cause of tooth abscess (bacterial invasion), prevention is about fortifying your defenses.
- Brushing & Flossing: It's boring, but it's non-negotiable. Brush twice daily with fluoride toothpaste and floss once a day to disrupt plaque.
- Regular Dental Visits: Get checkups and cleanings every six months, or as recommended. This catches tiny cavities and early gum disease long before they become abscesses.
- Mind Your Diet: Limit sugary and acidic drinks and snacks. Water is your best drink.
- Wear a Mouthguard: If you play sports or grind your teeth at night, protect your teeth from trauma.
- Don't Ignore Problems: A toothache, sensitivity, or bleeding gums is your body sending an SOS. See a dentist. A small filling is infinitely better than a root canal or extraction.
- Manage Dry Mouth: Talk to your doctor or dentist if you have dry mouth. Sugar-free gum, lozenges, and artificial saliva can help.
- Quit Smoking: It's terrible for your gums and overall health.
Common Questions People Ask (and Straight Answers)
No. The infection might temporarily wall itself off, and symptoms may fade, but the bacteria are still there. It will almost certainly flare up again, often worse. It's a ticking time bomb. You need professional dental treatment.
For a while, actually. If the nerve is dead, you might not feel classic toothache pain. You might only notice a bad taste, slight swelling, or just a feeling that the tooth is "different." A chronic, low-grade abscess can sit there for months, slowly eating away at your jawbone, only showing up on an X-ray. That's why checkups are key.
It's a dental emergency. You should see a dentist within a day or two. If you have significant swelling, fever, or trouble breathing/swallowing, it becomes a medical emergency—go to the ER.
You'll get a rush of foul-tasting pus in your mouth, and the pain will likely subside significantly as the pressure is released. This is not a cure. The infection is still present. You must still see a dentist to clean out the source. The opening may close up, and the abscess will re-form.
Not directly. Stress doesn't create the bacteria. However, high stress can weaken your immune system, making it harder to fight off an existing low-grade infection. Stress also often leads to teeth grinding (bruxism), which can crack teeth and create an entry point. So it's an indirect contributor.
The Final Takeaway:
So, what is the main cause of tooth abscess? It's a bacterial infection that finds a way into the vulnerable core of your tooth or its supporting structures. The journey usually starts with something preventable—like a cavity or gum disease. The pain is your body sounding the alarm loud and clear.
The best approach is a good defense: consistent, thorough oral care and a partnership with your dentist to catch small problems early. If you suspect you have one, don't wait, don't just rely on painkillers or hope it goes away. Get to a dentist. Dealing with it promptly is less painful, less expensive, and could save your tooth.
Your mouth is connected to the rest of you. An abscess isn't just a local problem; it's a sign of an active infection that your body is struggling to contain. Taking it seriously is one of the best things you can do for your overall health.
Leave a Reply