In This Guide
- First Things First: Don't Panic, But Do Pay Attention
- Common Causes of a Painless Lump in the Mouth
- Less Common but Important Causes
- The Critical "Red Flag" Checklist: When to See a Doctor Immediately
- What to Expect at the Doctor's Office: The Diagnosis Process
- Treatment: What Happens After Diagnosis?
- Your Questions, Answered (The FAQ Section)
- Prevention and Self-Examination
- Final Thoughts: Listen to Your Body (and Your Gut)
You're brushing your teeth, running your tongue along your gums or the roof of your mouth, and there it is. A bump. A lump. Something that definitely wasn't there before—or maybe it was, but you're only now really noticing it. The first thing you do? You press on it. No pain. You wiggle it with your tongue. Still nothing. A painless lump in the mouth can be one of the most confusing things to discover. It doesn't hurt, so it can't be that bad, right? But it's also a change in your body, and your brain immediately jumps to the worst-case scenario. I remember a friend who panicked over a small bump on his inner cheek for weeks before finally seeing a dentist, only to find out it was utterly harmless. The anxiety, he told me, was far worse than the lump itself. This guide is here to cut through that anxiety. We're going to walk through every possible reason you might find a painless lump in the mouth, from the incredibly common and benign to the rare and serious. My goal isn't to scare you, but to inform you. Knowledge is the best way to replace fear. We'll talk about what these lumps look and feel like, the crucial signs that mean you should see a doctor pronto, and what the whole process of diagnosis and treatment looks like. Let's get started.
First Things First: Don't Panic, But Do Pay Attention
The mouth is a dynamic environment. It's full of salivary glands, mucous membranes, blood vessels, and connective tissue. Lots of things can cause a little hiccup in that system that presents as a bump. The vast majority of the time, a painless mouth lump is not a sign of something life-threatening. However, and this is a big however, the mouth is also a site where serious conditions like oral cancer can begin, often without pain in the early stages. That's the tricky part. The absence of pain is not a “all clear” signal. It actually means you need to be more observant. So take a deep breath. The fact that you're researching is the right first step. The next step is understanding what you might be dealing with.
Common Causes of a Painless Lump in the Mouth
Let's break down the usual suspects. These are the conditions dentists and oral surgeons see all the time.
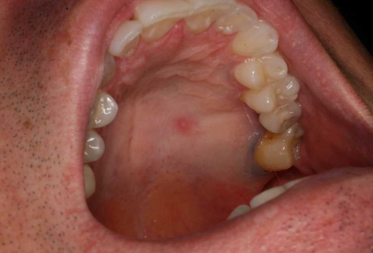
Mucocele (Mucous Cyst)
This is probably the champion of painless oral bumps. A mucocele is a tiny, fluid-filled sac that forms when a small salivary gland duct gets blocked or damaged (often from accidentally biting your cheek or lip). It's like a little blister of saliva trapped under the surface. What it feels/looks like: It's usually soft, smooth, and bluish or translucent. It can appear to change size, sometimes shrinking and then filling up again. You'll commonly find it on the inner lip, the floor of the mouth (where it's called a ranula if it's larger), or the inner cheek. It's completely painless but can be annoying.
Fibroma
This is the body's overzealous response to chronic irritation. If you have a habit of chewing on your cheek, a rough tooth, or an ill-fitting denture rubbing in the same spot, your body might lay down extra fibrous tissue as a “callus.” The result is a fibroma. What it feels/looks like: A firm, smooth, pink lump. It's like a little dome-shaped knot of scar tissue. It's anchored down and doesn't move much when you push it. Completely benign and very, very common.
Papilloma
Caused by the human papillomavirus (HPV), a papilloma has a very distinctive look. It's important to note that the strains of HPV that cause these oral bumps are usually low-risk and different from the high-risk strains linked to cancer. What it feels/looks like: It often looks like a tiny cauliflower or a sea anemone. It's a bump with a rough, wart-like surface. It's typically small and painless.
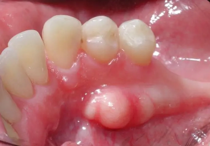
Lipoma
Yes, you can get a lipoma (a benign fatty tumor) in your mouth, though it's less common than on the neck or back. It's just a slow-growing collection of fat cells. What it feels/looks like: It's soft, doughy, and you can usually move it slightly under the skin or mucosa. It's yellowish in color. Completely harmless from a health perspective, though it might be removed if it gets in the way.
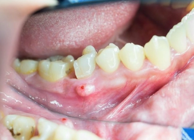
Salivary Stone (Sialolith)
Sometimes, a painless lump under the tongue or in the cheek near the back teeth is actually a stone blocking a salivary gland duct. It's made of calcium deposits. While stones often cause painful swelling when you eat, a small, lodged stone might just present as a firm, palpable lump without other symptoms.
Quick Reference: Common Benign Lumps
Here's a table to help you visualize the differences. Remember, this is for information only—a professional diagnosis is essential.
Here's a table to help you visualize the differences. Remember, this is for information only—a professional diagnosis is essential.
| Type of Lump | Common Location | Typical Feel & Appearance | Key Characteristic |
|---|---|---|---|
| Mucocele | Inner lip, inner cheek, floor of mouth | Soft, smooth, bluish/translucent, fluctuant | Can change size; caused by blocked saliva. |
| Fibroma | Inner cheek, tongue, gums (sites of friction) | Firm, smooth, pink, dome-shaped | Reaction to chronic irritation; feels like a scar. |
| Papilloma | Tongue, roof of mouth, gums | Rough, cauliflower-like surface | Caused by HPV virus; distinct appearance. |
| Lipoma | Inner cheek, floor of mouth | Very soft, doughy, movable, yellowish | Benign fatty growth. |
| Salivary Stone | Floor of mouth (under tongue), cheek | Hard, gritty, fixed | May cause intermittent swelling/pain during meals. |
Less Common but Important Causes
Now we move into territory that requires more immediate attention. While these are statistically less likely, they are the reason why you should never ignore a persistent painless lump in your mouth.
Salivary Gland Tumors
The salivary glands (major ones like the parotid, and hundreds of minor ones throughout the mouth) can develop growths. The majority of these (about 70-80%) are benign, like pleomorphic adenomas. They grow slowly and are painless. Malignant salivary gland tumors are rarer but do occur. Red Flags: A lump in the cheek that is firm and steadily growing, sometimes accompanied by weakness or numbness on that side of the face (if it affects a nerve).
Oral Cancer
This is what everyone fears, and for good reason. Oral cancers (including squamous cell carcinoma) can start as a painless lump, patch, or ulcer that doesn't heal. The key is that it persists and changes.
The Critical "Red Flag" Checklist: When to See a Doctor Immediately
This is the most important section in this article. If your painless mouth lump has any of the following features, you need to schedule an appointment with a dentist or doctor without delay. Don't wait to see if it goes away.
- It's getting bigger. Steady growth is a major warning sign.
- It's hard and fixed. If the lump feels rock-hard and you can't move it at all with your finger or tongue, that's concerning.
- It's ulcerated or bleeds easily. A lump that develops a crater in the middle or bleeds when you touch it (even gently) needs evaluation.
- You have numbness. Loss of sensation in your tongue, lip, or chin on the same side as the lump is a serious neurological sign.
- You have a persistent sore throat or hoarseness. Especially if combined with a lump, this needs checking.
- You have difficulty swallowing or moving your jaw.
- The lump is white, red, or a mixed red-and-white patch. (Leukoplakia or erythroplakia). These can be pre-cancerous changes.
- You are a tobacco user (smoking or chewing) and/or a heavy drinker. These are the primary risk factors for oral cancer, so any new lump demands prompt attention.
- It has been there for more than 2-3 weeks without any sign of shrinking. This is the general rule of thumb. Most traumatic bumps (like a mucocele from a bite) will resolve in that time. Persistence is a key indicator.
My personal take on this: I think the "wait 2 weeks" advice can be a double-edged sword. It stops people from rushing in for every tiny bump, but it can also cause dangerous delay if someone is too rigid about it. If the lump feels odd in any way—even if it's just a gut feeling—or if you have any of the risk factors, don't wait. Make the call. The peace of mind is worth it, and early detection of anything serious is absolutely critical.
What to Expect at the Doctor's Office: The Diagnosis Process
Okay, you've decided to get it checked out. What happens next? Knowing the process can ease a lot of anxiety.
Step 1: The Clinical Examination
The dentist or doctor will ask about your medical history, habits (smoking, alcohol), and how long the lump has been there. They'll then examine it thoroughly—looking at its color, size, texture, and location. They'll feel it to see if it's soft, firm, or hard, and if it's movable or fixed to deeper structures. They will also check your neck for any enlarged lymph nodes.
Step 2: The Possible Biopsy
If the lump is suspicious or its cause isn't obvious, the only way to know for sure what it is is to look at the cells under a microscope. This means a biopsy.
- Incisional Biopsy: Taking a small piece of the lump.
- Excisional Biopsy: Removing the entire lump. This is often the case for small, accessible lumps and serves as both diagnosis and treatment.
- Fine Needle Aspiration (FNA): Using a thin needle to draw out cells, often used for deeper lumps or to check salivary glands.
The biopsy sample goes to a pathologist, who will determine the exact type of cells present. This report gives the definitive diagnosis.
Step 3: Imaging (If Needed)
For deeper lumps or to assess the extent of a growth, the doctor might order an ultrasound, CT scan, or MRI. This is more common when dealing with salivary gland issues or planning surgery.
Treatment: What Happens After Diagnosis?
Treatment is 100% dependent on the diagnosis.
- For mucoceles, fibromas, papillomas: Often, simple surgical removal is recommended, especially if the lump is bothersome. It's a minor procedure, usually done under local anesthesia. The removed tissue is almost always sent for biopsy to confirm the benign diagnosis. Some mucoceles may go away on their own, but they often recur.
- For lipomas: If small and not growing, they may just be monitored. If they grow or are in an annoying spot, surgical removal is an option.
- For salivary stones: Small ones near the duct opening might be massaged out. Others may require a minor procedure to remove the stone or, rarely, removal of the affected gland.
- For benign salivary gland tumors: Surgical removal is standard to prevent future growth or rare transformation.
- For oral cancer or pre-cancerous lesions: Treatment becomes more complex and is managed by a team of specialists (oral surgeon, oncologist, etc.). It may involve surgery, radiation therapy, and/or chemotherapy. The treatment plan is highly individualized. The American Cancer Society provides comprehensive, trustworthy resources on treatment options and support, which you can find here on their Oral Cavity Cancer page.
A friend who had a fibroma removed said the worst part was the anticipation. The actual procedure was quick, and recovery was just a few days of soft foods. His main regret was spending months worrying about it before just getting it done.
Your Questions, Answered (The FAQ Section)
Q: Can a painless lump in the mouth go away on its own?
A: Absolutely. Mucoceles, especially, can burst and disappear, though they often come back. A lump caused by minor trauma or irritation might resolve once the source of irritation is removed (like fixing a sharp tooth). However, if a lump is truly persistent (lasting more than 2-3 weeks), it's less likely to vanish spontaneously and should be evaluated.
Q: How can I tell if a lump in my mouth is cancerous?
A: You can't definitively tell by looking or feeling. That's why a professional evaluation is key. However, the "red flags" listed earlier (hardness, growth, ulceration, bleeding, numbness) are the signs that increase the likelihood of a serious issue like cancer. The National Institute of Dental and Craniofacial Research (NIDCR), part of the U.S. National Institutes of Health, has clear information on oral cancer symptoms and diagnosis.
Q: Should I see a dentist or a doctor for a mouth lump?
A: Start with your dentist. Dentists are trained in oral pathology and examine the soft tissues of your mouth routinely. They are often the first to spot abnormalities. They can perform an initial assessment and a biopsy, or refer you to an oral surgeon or an ear, nose, and throat (ENT) specialist if needed.
Q: Is it normal to have lumps on the roof of your mouth?
A: The roof of the mouth (palate) has specific structures. A bony, hard lump in the midline could be a torus palatinus, a harmless bony growth. A soft lump could be a variety of things, from a minor salivary gland issue to something else. Any new, persistent lump on the palate should be checked by a dentist.
Q: I have a painless lump under my tongue. What could it be?
A: The floor of the mouth is a common spot for several things: a large mucocele (ranula), a blocked salivary gland duct/stone from the sublingual gland, or a salivary gland tumor. Because of the anatomy and the potential for obstruction, a painless lump under the tongue really warrants a professional look.
Prevention and Self-Examination
While you can't prevent every cause, you can reduce risks and catch things early.
- Quit tobacco in all forms. This is the single biggest thing you can do to lower your oral cancer risk.
- Limit alcohol consumption. Heavy drinking is a major co-factor with tobacco.
- Get the HPV vaccine. It protects against the high-risk HPV strains linked to oropharyngeal cancers.
- See your dentist regularly. They see mouths all day and can spot changes you might miss.
- Do a monthly self-exam. In good light, look and feel your lips, gums, cheeks, roof of mouth, and under your tongue. Feel for any lumps, bumps, or rough spots. Look for color changes (white, red). It takes two minutes and could save your life. The Oral Cancer Foundation has a great guide to self-examination.
Final Thoughts: Listen to Your Body (and Your Gut)
Finding a painless lump in your mouth is a common experience. Most of the time, it's a minor, fixable issue. The fibroma, the mucocele—these are just part of having a body that sometimes overreacts to little injuries. But your mouth is also a window to your health. It's not a place to practice a “wait and see” approach for too long. If something feels off, if a lump has overstayed its welcome, or if any of those red flags are waving, trust that instinct. Make the appointment. The process from discovery to diagnosis might feel daunting, but it's a straightforward path walked by millions of people every year. Arm yourself with knowledge, be your own advocate, and partner with your healthcare providers. That's the best way to turn anxiety into action and ensure your oral health—and your overall health—is protected.
Leave a Reply