Let's cut to the chase. A dental abscess isn't just a bad toothache. It's a pocket of pus caused by a bacterial infection, and the pain can be absolutely debilitating. You feel a deep, throbbing ache in your jaw, maybe a swollen face, and a general sense that something is very wrong. I've seen patients in tears from the pressure. So, what's the engine behind this misery? It almost always boils down to one thing: bacteria finding a way into places they don't belong inside your tooth or gums.
Think of your tooth as a fortress. The hard enamel is the outer wall. Inside is the dentin, and at the core is the pulp chamber—the soft tissue housing nerves and blood vessels. Once bacteria breach the walls and reach the pulp, infection sets in. Your body sends white blood cells to fight, and the resulting battle debris (pus) builds up, creating pressure and intense pain. That's your abscess.
What You'll Learn in This Guide
The 3 Main Pathways for Bacterial Invasion
Bacteria don't just appear in the center of your tooth. They need a road in. Here are the three most common routes, ranked by how often I see them in my practice.
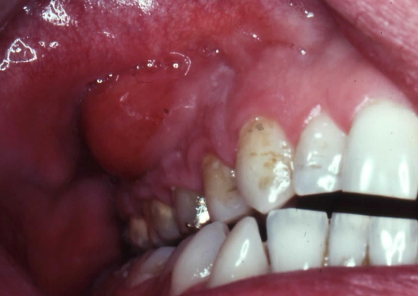
1. The Cavity Highway (Periapical Abscess)
This is the classic scenario. A small cavity (tooth decay) is ignored. The bacteria in plaque produce acid, which drills through the enamel, then the dentin. Once they reach the soft pulp tissue, it's game over. The infection kills the nerve and blood supply, then travels out the tip of the tooth root into the jawbone. The pressure builds in the bone, causing that unmistakable deep, throbbing pain that seems to come from the tooth's root.
Why this happens: It's not just about sugar. It's about frequency. Sipping a soda over three hours is far more damaging than eating a candy bar in five minutes because your mouth stays acidic longer. Sticky foods like dried fruit or crackers are also sneaky culprits.
2. The Gum Disease Backdoor (Periodontal Abscess)
This one starts outside the tooth. Advanced gum disease (periodontitis) causes the gums to pull away from the teeth, forming deep pockets. Food and plaque get packed down there, creating a perfect breeding ground for bacteria. The infection builds in the gum and supporting bone next to the tooth root, not inside the tooth pulp itself.
3. The Trauma Tunnel
A less common but serious cause. A significant blow to a tooth—from a sports injury, a fall, or even years of chronic teeth grinding (bruxism)—can crack the tooth or damage the pulp. Even if the crack is microscopic, it's an open door for bacteria. The pulp becomes inflamed and dies, leading to an infection at the root. This can happen months or even years after the initial trauma, which makes it tricky to diagnose.
Silent Risk Factors You Might Be Overlooking
While cavities and gum disease are the primary actors, certain conditions set the stage for an abscess. These are the co-conspirators.
- A Compromised Immune System: Conditions like diabetes, cancer treatments, or autoimmune diseases make it harder for your body to fight off any infection, including a dental one. What might be a manageable cavity for someone else can spiral into an abscess faster.
- Dry Mouth (Xerostomia): Saliva is your mouth's natural cleanser and acid neutralizer. Medications (for allergies, depression, high blood pressure), certain diseases, or simply aging can reduce saliva flow. A dry mouth is a vulnerable mouth.
- Previous Dental Work: This is a subtle one. A large filling or a crown can sometimes get close to the pulp. Over years, bacteria can seep through microscopic gaps at the margins of old restorations. I've seen abscesses form under crowns that looked perfectly fine on the surface.
- Poor Oral Hygiene: It's obvious but worth stating. Not brushing and flossing allows plaque—a sticky biofilm of bacteria—to thrive, accelerating both decay and gum disease.
From Dull Ache to Emergency: Symptoms & Stages
An abscess doesn't announce itself with a bang. It creeps up. Recognizing the stages can mean the difference between a root canal and losing the tooth.
| Stage | What You Feel & See | What's Happening Inside |
|---|---|---|
| Early Stage | Intermittent tooth sensitivity to hot, cold, or sweets. A dull ache when biting. | Bacteria are irritating the pulp (pulpitis). It's inflamed but potentially salvageable. |
| Established Infection | Constant, throbbing pain that may radiate to your jaw, neck, or ear. Pain worsens when lying down. Visible red or white pimple on the gum ("gum boil"). | The pulp is dying or dead. Pus has formed at the root tip, creating intense pressure. |
| Spreading Infection | Swelling in your cheek, jaw, or under the tongue. Fever, general malaise, difficulty swallowing or opening your mouth. | The infection is breaking out of the local bone and into the soft tissues of your face and neck. This is a medical emergency. |

Your Treatment Options, From Drainage to Extraction
Ignoring an abscess won't make it go away. The infection needs a way out, and your dentist has to provide it. The goal is to eliminate the infection and preserve the tooth if possible.
Step 1 is always drainage. The dentist will numb the area and make a small incision in the gum to let the pus drain. The relief is almost instantaneous. You might also be prescribed antibiotics, but they are an adjunct, not a cure. They reduce the spreading infection but can't remove the source trapped inside the tooth or deep pocket.
Definitive treatment depends on the cause:
- For a Periapical Abscess (from a cavity/trauma): Root Canal Therapy. The dentist removes the infected pulp, cleans and disinfects the inside of the tooth's roots, then fills and seals the space. Later, the tooth is usually crowned for protection. This saves the tooth.
- For a Periodontal Abscess (from gum disease): The deep gum pocket is cleaned out (scaling and root planing). Sometimes a procedure called periodontal flap surgery is needed to access and clean the root surface thoroughly.
- Tooth Extraction: This is the last resort. If the tooth is too damaged, has a vertical crack reaching the root, or the bone loss is too severe, removing the tooth may be the only way to clear the infection. The abscess site is then cleaned out.
A Realistic Prevention Strategy That Works
Preventing an abscess is simpler and far less painful than treating one. It's about consistent, smart habits.
Master the Basics, But Do Them Right:
- Brush twice daily with fluoride toothpaste. Angle the bristles toward the gum line.
- Floss daily. Not just between teeth, but curve the flist against one tooth and slide it slightly under the gum line, then do the same for the adjacent tooth. That's where the trouble starts.
- Use an antiseptic or fluoride mouthwash as a supplement, not a replacement for brushing and flossing.
Don't Skip the Checkups: Those twice-yearly cleanings and exams are your early warning system. A dentist can spot a tiny cavity or the beginnings of gum disease long before you feel pain. X-rays reveal problems brewing between teeth or under old fillings.
Address Dry Mouth: If you have it, talk to your doctor or dentist. Sugar-free gum, staying hydrated, and possibly using artificial saliva can help.
Protect Your Teeth: Wear a mouthguard during contact sports. If you grind your teeth at night (you might wake with a sore jaw), ask about a night guard.
Your Urgent Questions Answered

Leave a Reply