In This Guide
- What Exactly Is a Teeth Gum Abscess? Breaking Down the Jargon
- Signs You Might Be Dealing with an Abscess (It's Not Always Obvious)
- What You Can (And Absolutely Should Not) Do Before Seeing the Dentist
- How a Dentist Diagnoses and Treats a Teeth Gum Abscess
- The Scary Part: What Happens If You Leave a Teeth Gum Abscess Untreated?
- Prevention: How to Stop an Abscess Before It Starts
- Your Questions, Answered (The Stuff You're Actually Searching For)
- Wrapping It Up: Your Action Plan
Let's be honest, there are few things more distracting than a throbbing pain in your mouth. You're trying to work, or sleep, or just enjoy a meal, and there it is—this persistent, pounding reminder that something is very wrong. If you've found your way here, you're probably past the point of hoping it'll just go away. You might be feeling a tender bump on your gums, maybe even a nasty taste in your mouth, and you're searching for real answers. Is it a gum abscess? A tooth abscess? What's the difference, and more importantly, what do you do about it?
I get it. I've been there myself, pacing the floor at 3 AM before a dentist appointment. It's scary, and the information online can be all over the place. This guide is here to cut through the noise. We'll walk through everything from what exactly is happening inside your jaw to the steps you can take right now, and what your dentist will likely do. We'll cover the why, the how bad can it get, and the how to fix it—permanently.
What Exactly Is a Teeth Gum Abscess? Breaking Down the Jargon
At its core, an abscess is a pocket of pus caused by a bacterial infection. Think of it as your body's last-ditch effort to wall off an infection that it can't beat on its own. In your mouth, this usually happens in one of two places, which is where the confusing names come from.
Periapical Abscess (The Tooth Abscess)
This one starts inside the tooth. It's what most people picture. The infection begins in the soft pulp of the tooth—the part with the nerves and blood vessels. How does bacteria get in there? Usually through a cavity that's been ignored for too long. A crack or chip in the tooth can also be the entry point. Once the bacteria invade the pulp, it dies (that's the intense toothache you feel), and the infection works its way down to the very tip of the tooth root, forming a painful abscess in the bone.
Key sign: The tooth itself will likely be exquisitely sensitive to hot and cold, and hurt when you bite down. The pain might even feel like it's coming from several teeth at once.
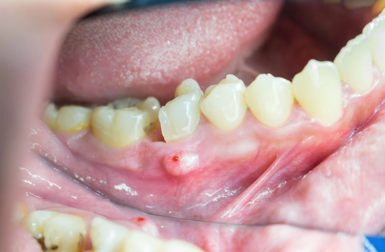
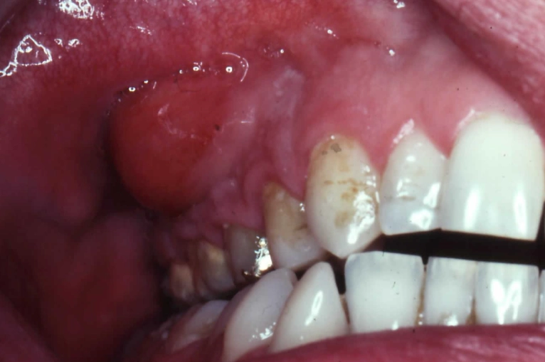
Periodontal Abscess (The Gum Abscess)
This one starts outside the tooth, in the gums and the supporting structures (the "periodontium"). It's often linked to advanced gum disease (periodontitis), where deep pockets have formed between the tooth and gum. Food and plaque get trapped in these pockets, bacteria flourish, and an abscess forms in the gum tissue itself. Sometimes it can even start from a piece of popcorn hull or a sharp piece of food getting forced deep into the gum.
Key sign: You'll often see a visible, red, shiny bump or boil on the gum, near the tooth root. It might ooze pus if you press on it (sorry for the graphic image, but it's important). The tooth might feel loose or "elevated" in its socket.
Why does this happen? Your mouth is full of bacteria. It's normal. But when that bacteria gets into places it shouldn't be—through a breach in the tooth's armor or deep under the gumline—and your immune system can't contain it, an abscess forms. Simple as that, and brutally effective at getting your attention.
Signs You Might Be Dealing with an Abscess (It's Not Always Obvious)
That sharp, throbbing pain is the classic hallmark. It might be constant, or it might come in waves that take your breath away. But an abscess can sometimes be a bit sneaky, especially in the early stages or if you have a higher pain tolerance. Here's a full list of what to watch for:
- Throbbing, gnawing, or shooting pain in a specific tooth or general area of the jaw. This pain often gets worse when you lie down.
- Red, swollen gums that look puffy and feel tender to the touch.
- A visible pimple-like bump (gum boil) on the gums near a tooth. It might be white, yellow, or red.
- Sudden, intense sensitivity to hot and cold temperatures. A sip of coffee or ice water sends a jolt through you.
- Pain when chewing or biting down. It feels like the tooth is taller than the others.
- A bad taste in your mouth or persistently foul breath that doesn't go away with brushing. This is often from pus draining.
- Swelling in your face, cheek, or under your jawline. This is a major red flag that the infection is spreading.
- Fever and a general feeling of being unwell. Your body is fighting a systemic infection.
- In severe cases, difficulty opening your mouth (trismus) or swallowing.
What You Can (And Absolutely Should Not) Do Before Seeing the Dentist
Okay, you've identified the problem. The dentist appointment is booked, but it's tomorrow, or in two days. The pain is here now. Let's talk about managing the situation safely. I have to stress, these are temporary measures to help you cope. They do not cure the abscess.
| What TO DO (Safe Relief) | What NOT TO DO (Risky Moves) |
|---|---|
| Rinse with warm salt water. This is the gold standard home care. Dissolve half a teaspoon of salt in a cup of warm water. Swish gently for 30 seconds, spit, and repeat several times a day. It helps draw out some fluid, soothe the tissue, and is mildly antiseptic. | Put aspirin directly on the gum or tooth. This is an old wives' tale that can cause a serious chemical burn to your delicate gum tissue. Take pain relievers by mouth as directed. |
| Use over-the-counter pain relievers. Ibuprofen (Advil, Motrin) is often better for dental pain because it reduces inflammation. Acetaminophen (Tylenol) helps with pain and fever. Follow the label instructions carefully. | Try to pop or drain the abscess yourself. You can push the infection deeper, introduce new bacteria, and cause serious damage. Let a professional handle drainage. |
| Apply a cold compress to the outside of your cheek. Use an ice pack wrapped in a thin cloth for 15 minutes on, 15 minutes off. This helps reduce swelling and can numb the area slightly. | Use undiluted essential oils like clove oil directly. They are potent and can irritate or burn. If you use clove oil (eugenol), dilute it heavily with a carrier oil like olive oil and apply a tiny amount with a cotton swab only to the tooth (not gums). |
| Sleep with your head elevated. Use an extra pillow. This reduces blood pressure to the area, which can lessen the throbbing sensation at night. | Ignore signs of spreading infection. Swelling moving to your eye, neck, or causing breathing trouble means go to the ER, don't wait for the dentist. |
| Stick to soft, cool foods. Think yogurt, applesauce, smoothies (not too cold!), mashed potatoes. Avoid chewing on that side completely. | Smoke or use tobacco products. Smoking severely impairs blood flow and healing, making the infection worse and treatment less effective. |
How a Dentist Diagnoses and Treats a Teeth Gum Abscess
This is where you get real solutions. When you get to the dentist, they're not just going to guess. They have tools to see exactly what's going on. The goal of treatment is always the same: get rid of the infection, save the tooth if possible, and prevent it from coming back.
Step 1: The Diagnosis
They'll ask about your symptoms and medical history. Then comes the exam. They'll tap on your teeth (that lovely "percussion test")—the one that hurts is a big clue. They'll check for gum pockets with a tiny probe. But the real star is the dental X-ray. An X-ray can show the dark shadow of an abscess at the tip of a root (periapical) or the breakdown of bone from a gum infection (periodontal). It shows them the exact size and location, which dictates the treatment plan.
Step 2: Draining the Pus
This is often step one for immediate relief. The dentist will make a small incision in the gum over the abscess to let the pus drain out. The pressure release is almost instant, and the pain drops dramatically. It's not fun, but it's a huge relief. They'll then flush the area with a saline or antiseptic solution.
Step 3: The Core Treatment Options
Draining alone isn't a cure. The source of the infection must be addressed. Here are the main paths, depending on whether it's a tooth (periapical) or gum (periodontal) abscess.
Tooth Extraction: If the tooth is too damaged, cracked down the root, or the bone loss is too severe, removing the tooth might be the only option. The dentist will also clean out the socket to remove all infected tissue. This is a last resort, but sometimes it's necessary for your overall health.Step 4: Antibiotics – When Are They Needed?
This is a common point of confusion. Antibiotics don't cure the abscess on their own. You can't just take pills and make it go away. Why? The pus and dead tissue inside the abscess have poor blood supply, so antibiotics circulating in your blood can't reach the core of the infection effectively.
Dentists prescribe antibiotics in specific situations:
- If the infection has spread beyond the localized area (facial swelling, fever).
- If you have a weakened immune system.
- Sometimes as a preventive measure before starting treatment, especially if drainage is difficult.
They are an adjunct to the physical treatment (drainage, root canal, cleaning), not a replacement. Overprescription is a real concern, leading to antibiotic resistance, so a good dentist will use them judiciously. The American Dental Association provides guidelines on their appropriate use.
The Scary Part: What Happens If You Leave a Teeth Gum Abscess Untreated?
I don't want to scare you, but you need to understand the stakes. This isn't a minor issue that will resolve itself. The infection is walled off, but that wall can break.
The infection can spread into the surrounding bone (osteomyelitis), which is very difficult to treat. It can travel through the soft tissues of your face and neck in spaces called fascial planes, causing a massive, life-threatening infection called Ludwig's Angina that can block your airway. In rare but serious cases, the bacteria can enter your bloodstream (sepsis or bacteremia), which can lead to infections in your heart (endocarditis), brain, or other organs.
Prevention: How to Stop an Abscess Before It Starts
Okay, let's talk about the future. Once you've dealt with this nightmare, you never want to go through it again. The good news is, most dental abscesses are preventable. It boils down to keeping bacteria from getting where they shouldn't be.
- Brushing & Flossing, For Real: Brush twice daily with fluoride toothpaste, and floss once a day. Flossing is non-negotiable for preventing gum disease and the deep pockets that lead to periodontal abscesses.
- Regular Dental Check-ups and Cleanings: See your dentist every six months, or as often as they recommend. They catch tiny cavities and early gum disease long before they turn into a painful teeth gum abscess.
- Fix Problems Early: That small cavity? Get it filled. That minor chip? Get it checked. Don't wait for it to become a pathway for infection.
- Wear a Mouthguard: If you play sports or grind your teeth at night (bruxism), a custom mouthguard can prevent cracks and trauma.
- Mind Your Diet: Limit sugary and acidic foods and drinks that fuel cavity-causing bacteria. Stay hydrated to support healthy saliva flow, which is nature's mouthwash.
- Don't Smoke: I mentioned it before, but it's worth repeating. Smoking is one of the biggest risk factors for severe gum disease.
Your Questions, Answered (The Stuff You're Actually Searching For)
No. The infection might occasionally drain on its own through the gum, which will give you temporary relief from pain and pressure. But the source of the infection—the dead pulp inside the tooth or the deep gum pocket—is still there. It's like popping a pimple but not cleaning out the pore. The abscess will almost certainly come back, often worse. The infection is still simmering and can spread silently.
As soon as possible. Ideally, within 24-48 hours of noticing significant pain or swelling. This is classified as a "dental emergency" by most clinics. If you have swelling that is expanding or systemic symptoms like fever, you should seek care the same day, even if it means an emergency dental clinic or hospital ER.
The bacteria causing it are common oral bacteria, so you can't "catch" an abscess like a cold. However, the specific strains of bacteria that cause aggressive gum disease can be transmitted through prolonged, close contact like sharing utensils or kissing. The key is the other person's oral health and immune response.
As discussed, almost never. They can help contain a spreading infection, but they cannot eliminate the localized pocket of pus and necrotic tissue. Definitive treatment requires a physical procedure: drainage, root canal, or deep cleaning. Relying solely on antibiotics just delays proper care.
An abscess is an acute, painful infection filled with pus. A dental cyst is usually a slow-growing, fluid-filled sac that develops from tissue left over from tooth formation. It's often painless until it gets very large or infected. An infected cyst can become an abscess. Both need professional evaluation, usually via X-ray.
Wrapping It Up: Your Action Plan
So, here's the takeaway, plain and simple. If you suspect you have a teeth gum abscess, your path is clear.
- Don't panic, but act quickly. Assess your symptoms. Severe swelling or fever? Go to the ER.
- Call your dentist immediately. Explain your symptoms clearly. They will get you in for an emergency appointment.
- Use safe, temporary relief like warm salt water rinses, OTC pain meds, and cold compresses while you wait.
- Go to the appointment. Let them diagnose it with an X-ray. Listen to their treatment plan, whether it's a root canal, deep cleaning, or, in worst cases, an extraction.
- Follow through with the entire treatment. If you need a crown after a root canal, get it. If you need follow-up cleanings for gum disease, go to them. Half-measures lead to recurrence.
- Commit to prevention. Use this scary experience as motivation to never let your oral health slide again.
The pain of a dental abscess is awful, but it has a purpose—it forces you to address a serious problem. Modern dentistry has incredibly effective ways to treat it, relieve your pain, and save your smile. The most important step is the first one: picking up the phone and making that call.
Leave a Reply