Let's talk about a specific kind of toothache. It's not a little twinge. It's a deep, throbbing pain that seems to come from your jawbone itself, maybe getting worse when you lie down. You bite down on something and a sharp jolt makes you see stars. Or maybe there's a weird little bump on your gum near that tooth. If you're feeling this in one of your back teeth, chances are you've typed "rct molar teeth" into a search bar with a mix of dread and hope.
You're in the right place. I've been there, not as a patient in this case, but talking countless people through this exact situation. The information online is a mess—scary stories, overly technical jargon, and sales pitches. This guide is different. We're going to walk through everything about getting a root canal on a molar, step by step, without the fluff. My goal is to replace your anxiety with understanding, so you can have a real conversation with your dentist or endodontist.
The bottom line upfront: A root canal treatment (RCT) on a molar is a routine, highly successful procedure to save a badly infected or damaged tooth. It's not the medieval torture session pop culture makes it out to be. Modern dentistry has made it manageable, and saving your natural molar is almost always the best long-term option for your oral health and wallet.
What Exactly Is an RCT on a Molar? (And Why Molars Are Special)
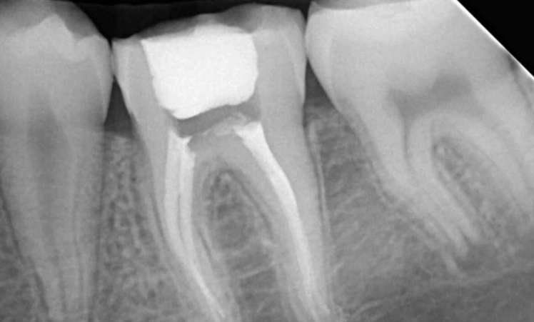
First, let's demystify the term. "RCT" stands for Root Canal Treatment. The "canal" part refers to the tiny, hollow space inside the root of your tooth that houses the pulp—the living tissue containing nerves, blood vessels, and connective tissue. When that pulp gets infected or inflamed due to deep decay, a crack, or repeated dental procedures, it needs to be removed to save the tooth from extraction.
Now, molar teeth are the heavy lifters in the back of your mouth. You have premolars (bicuspids) and molars, and they're crucial for chewing. Here's why an RCT molar teeth procedure is more complex than on a front tooth:
- More Roots and Canals: Front teeth might have one root. A molar can have two, three, or even four roots, each with one or more canals. Finding and cleaning all of them is a precise task.
- Complex Anatomy: The canals inside molar roots can be curved, narrow, or branch out in unexpected ways. It's like cleaning a intricate, microscopic cave system.
- Access and Visibility: They're at the back of your mouth. This can make the procedure technically more challenging for the dentist.
So, when we talk about root canal on molar teeth, we're talking about a more involved version of the standard procedure. It often requires more time, expertise, and almost always a crown afterward. Which brings us to the next point...
The Step-by-Step Journey of a Molar Root Canal
Fear often comes from the unknown. So let's map out exactly what happens from the moment you sit in the chair. Think of it as a rescue mission for your tooth.
The Molar RCT Rescue Mission: Diagnosis → Anesthesia → Access & Cleaning → Filling → Sealing → Restoration (The Crown).
Step 1: Diagnosis and the Numbing Shot (This is the key!)
This is the most important part for your comfort. You'll get local anesthesia injected to numb the tooth and the surrounding area. For a lower molar, they might also numb the main nerve trunk that serves that side of your jaw (an inferior alveolar block). Yes, you feel the pinch of the needle, but it's quick. The modern anesthetics are incredibly effective. A good dentist or endodontist will wait and test to ensure you are completely numb before starting. If you're still anxious, talk to them about sedation options—nitrous oxide ("laughing gas") is common and really takes the edge off.
Step 2: The Work Begins – Access and Cleaning
Once you're numb, the dentist places a rubber dam around the tooth. It's a small sheet of latex or non-latex material that isolates the tooth, keeping it clean, dry, and preventing you from swallowing any tiny instruments. Then, they drill a small opening in the top (crown) of your tooth to access the pulp chamber.
Using very fine instruments called files, they carefully remove the infected pulp tissue from each canal. This is the "cleaning" phase. They'll also flush the canals with antibacterial solutions (like sodium hypochlorite—basically a mild bleach solution) to disinfect and flush out debris. This part can take time, especially for a multi-rooted molar.
Here's a personal observation: The sound and vibration can be weird, but there should be no sharp pain. If you feel anything more than pressure or mild discomfort, you should be able to signal your dentist, and they will give you more anesthetic. You are in control.
Step 3: Filling and Sealing the Canals
After the canals are cleaned, shaped, and dried, they need to be filled to prevent re-infection. A biocompatible material, usually a rubber-like substance called gutta-percha, is used to fill the space. It's sealed in place with a dental adhesive cement. The goal is to hermetically seal the root canal system.
Step 4: The Temporary Filling and The Essential Crown
The access hole in the top of your tooth is closed with a temporary filling. Now, here's the critical part almost everyone misses: The RCT is only half the battle for a molar.
A molar that has had a root canal is more brittle and prone to fracture because it's no longer alive and hydrated from the inside. Given the immense chewing forces it withstands, leaving it without a crown is like driving a car without a bumper—it might work until the first real impact.
So, the final, non-negotiable step is placing a crown (a "cap") on the tooth. This usually happens in a second appointment, once any initial tenderness has subsided. The crown protects the tooth and restores its full function. The American Dental Association's MouthHealthy site strongly reinforces the need for a crown after a molar RCT to prevent fracture. You can read more about the importance of crowns on their official page here.
Remember: The root canal procedure itself addresses the infection inside the tooth. Any pain you felt from the infection should be gone once the inflamed pulp is removed. The tenderness you might feel for a few days after is from the procedure itself—like a bruise—and is normal.
RCT vs. Extraction: The Real Cost Comparison (It's Not Just Money)
This is the big decision point. When facing a costly RCT molar teeth procedure plus a crown, it's tempting to think, "Just pull it out. It's cheaper and faster." Let's break down why that's usually short-sighted thinking.
| Factor | Root Canal Treatment + Crown | Tooth Extraction |
|---|---|---|
| Primary Goal | Preserve your natural tooth. | Remove the problem tooth. |
| Procedure Time | Longer (1-2 appointments). | Shorter (one appointment). |
| Upfront Cost | Higher (RCT + crown cost). | Lower. |
| Long-Term Cost & Health | Maintains jawbone, prevents shifting of other teeth. No need for replacement. | Bone loss in extraction site. Neighboring teeth can tilt, opposing tooth can over-erupt. Often requires a bridge, implant, or partial denture ($$$). |
| Function | Restores near-normal chewing function. | Loss of chewing efficiency. Strain on other teeth. |
| Look | Looks like a natural tooth with a crown. | Gap in smile (if visible). |
An extraction might seem like a quick fix, but it creates a new, permanent problem: a missing tooth. The space can cause your other teeth to shift, leading to bite problems, difficulty cleaning, and more dental work down the line. Replacing a missing molar with an implant and crown is almost always more expensive and invasive than the original root canal on molar and crown.
The American Association of Endodontists (AAE), the experts in root canal treatment, states clearly that saving your natural tooth is usually the best choice. You can find their patient resources on the value of saving teeth on their website here.
What Can Go Wrong? Understanding RCT Failure and Re-treatment
Let's be honest—no medical procedure has a 100% success rate. For a first-time RCT molar teeth procedure, success rates are high, often cited above 90%. But failures happen. It's important to know why, so you can spot the signs.
- Missed Canals: Remember those complex molar anatomy? Sometimes a tiny, extra canal is missed during cleaning and remains infected.
- Incomplete Cleaning: Severely curved or blocked canals might not be fully cleaned.
- New Decay or Fracture: If a new cavity forms under the crown, or if the tooth cracks (especially if it wasn't crowned), bacteria can re-enter.
- Poor Seal: If the filling material doesn't seal the tip of the root perfectly, bacteria can leak back in.
Signs of a failing root canal are similar to the original problem: pain, swelling, a recurring pimple on the gum (sinus tract), or sometimes it's only visible on a follow-up X-ray.
If a root canal fails, you have options. An endodontic re-treatment is the first line. This means reopening the tooth, removing the old filling material, finding and cleaning the missed area, and re-filling. It's more complex but can often save the tooth. Another option is an apicoectomy, a minor surgical procedure where the tip of the root is accessed through the gum and bone, the infected tip is removed, and a filling is placed to seal the end. In some cases, if the tooth is not salvageable, extraction becomes necessary.
Your Burning Questions About RCT Molar Teeth, Answered
How much does a root canal on a molar cost?
This is the big one. In the US, without insurance, a molar root canal performed by a general dentist can range from $1,000 to $1,500. If you see an endodontist (a root canal specialist), it might be $1,500 to $2,000 or more. Then you have the crown, which can cost another $1,000 to $2,500. So total, you're looking at $2,000 to $4,500 out-of-pocket. Dental insurance often covers 50-80% of the RCT and 50% of the crown, typically after a deductible. Always get a pre-treatment estimate!
Q: Is a root canal on a molar painful?
A: During the procedure, with modern anesthesia, it should not be painful. You'll feel pressure and vibration, but not sharp pain. Afterward, it's normal to have some tenderness or mild soreness in the area for a few days, which over-the-counter pain meds like ibuprofen can manage. The severe pain from the infection is usually gone immediately after the procedure.
Q: How long does a molar root canal take?
A: It depends on complexity. A straightforward molar RCT might take 60-90 minutes. A more complex one with multiple, curved canals could take 2 hours or more. Sometimes it's completed in one visit, sometimes spread over two.
Q: What is the success rate of a molar RCT?
A: Very high. Studies show success rates for first-time molar root canals are well over 90% when followed by a proper crown. The tooth can last a lifetime with good care.
Q: Can I avoid a root canal if my molar hurts?
A: It depends on the cause. If the pulp is only slightly inflamed (reversible pulpitis), a large filling or inlay might suffice. Once the pulp is infected or necrotic (irreversible pulpitis), the only ways to stop the pain and infection are a root canal or extraction. Antibiotics only temporarily reduce swelling; they don't fix the problem inside the tooth.
Q: How do I care for my tooth after an RCT?
A: Until you get the permanent crown, avoid chewing on that side. Practice good oral hygiene—brush and floss gently around the temporary filling. Once crowned, care for it like any other tooth: brush twice a day, floss daily (yes, you floss around a crown!), and see your dentist for regular check-ups. It's not immune to decay or gum disease.
Final Thoughts: Taking the Next Step
If you suspect you need an RCT molar teeth procedure, the worst thing you can do is wait. The infection won't go away on its own; it can spread, cause an abscess, and become a serious health issue. It also limits your options—a tooth that could have been saved with a timely root canal might become too damaged and require extraction.
Schedule an appointment with your dentist. Get a clear diagnosis and a treatment plan. Ask questions about the procedure, the cost, and the necessity of a crown. If your case is complex, ask for a referral to an endodontist. They have advanced training and equipment (like operating microscopes) specifically for procedures like root canal on molar teeth.
It's okay to be nervous. But don't let fear or misinformation cost you a tooth that could serve you well for decades to come. Investing in a molar root canal is an investment in your long-term oral health, your comfort, and your smile.
Leave a Reply